验证数据展示
经过测试的应用
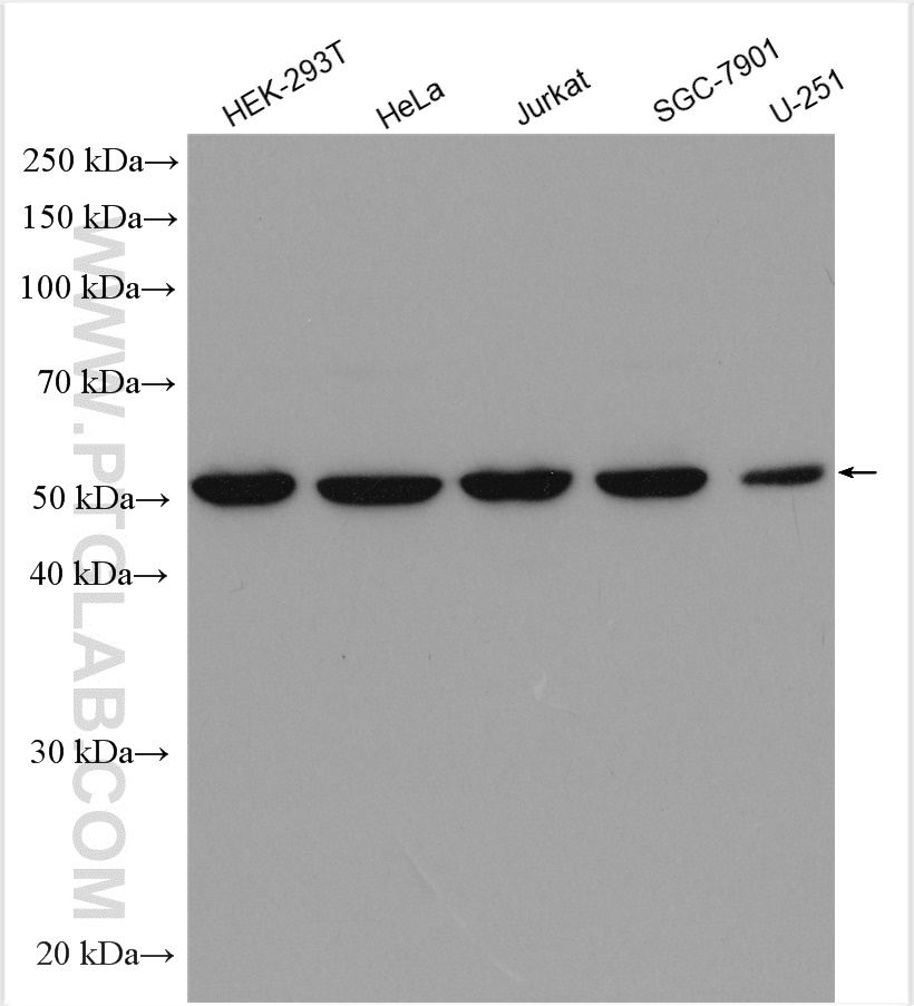
| Positive WB detected in | HEK-293T cells, NIH/3T3 cells, HeLa cells, Jurkat cells, SGC-7901 cells, U-251 cells, mouse colon tissue, mouse pancreas tissue, rat colon tissue |
| Positive IHC detected in | human colon tissue, human lung cancer tissue Note: suggested antigen retrieval with TE buffer pH 9.0; (*) Alternatively, antigen retrieval may be performed with citrate buffer pH 6.0 |
| Positive IF/ICC detected in | HeLa cells |
推荐稀释比
| 应用 | 推荐稀释比 |
|---|---|
| Western Blot (WB) | WB : 1:1000-1:5000 |
| Immunohistochemistry (IHC) | IHC : 1:200-1:800 |
| Immunofluorescence (IF)/ICC | IF/ICC : 1:500-1:2000 |
| It is recommended that this reagent should be titrated in each testing system to obtain optimal results. | |
| Sample-dependent, Check data in validation data gallery. | |
发表文章中的应用
| WB | See 1 publications below |
产品信息
29765-1-AP targets POLD2 in WB, IHC, IF/ICC, ELISA applications and shows reactivity with human, mouse, rat samples.
| 经测试应用 | WB, IHC, IF/ICC, ELISA Application Description |
| 文献引用应用 | WB |
| 经测试反应性 | human, mouse, rat |
| 文献引用反应性 | human |
| 免疫原 |
CatNo: Ag31521 Product name: Recombinant human POLD2 protein Source: e coli.-derived, PET28a Tag: 6*His Domain: 40-195 aa of BC000459 Sequence: RLGERSFSRQYAHIYATRLIQMRPFLENRAQQHWGSGVGVKKLCELQPEEKCCVVGTLFKAMPLQPSILREVSEEHNLLPQPPRSKYIHPDDELVLEDELQRIKLKGTIDVSKLVTGTVLAVFGSVRDDGKFLVEDYCFADLAPQKPAPPLDTDRF 种属同源性预测 |
| 宿主/亚型 | Rabbit / IgG |
| 抗体类别 | Polyclonal |
| 产品类型 | Antibody |
| 全称 | polymerase (DNA directed), delta 2, regulatory subunit 50kDa |
| 别名 | DNA polymerase delta subunit 2 |
| 计算分子量 | 51 kDa |
| 观测分子量 | 48-51 kDa |
| GenBank蛋白编号 | BC000459 |
| 基因名称 | POLD2 |
| Gene ID (NCBI) | 5425 |
| RRID | AB_2918344 |
| 偶联类型 | Unconjugated |
| 形式 | Liquid |
| 纯化方式 | Antigen affinity purification |
| UNIPROT ID | P49005 |
| 储存缓冲液 | PBS with 0.02% sodium azide and 50% glycerol, pH 7.3. |
| 储存条件 | Store at -20°C. Stable for one year after shipment. Aliquoting is unnecessary for -20oC storage. |
背景介绍
POLD2, also named as DNA polymerase delta subunit 2, is a 469 amino acid protein, which belongs to the DNA polymerase delta/II small subunit family. The function of the small subunit is not yet clear. POLD2 has an essential function for the small subunit in the heterodimeric core enzyme.
实验方案
| Product Specific Protocols | |
|---|---|
| IF protocol for POLD2 antibody 29765-1-AP | Download protocol |
| IHC protocol for POLD2 antibody 29765-1-AP | Download protocol |
| WB protocol for POLD2 antibody 29765-1-AP | Download protocol |
| Standard Protocols | |
|---|---|
| Click here to view our Standard Protocols |







