验证数据展示
经过测试的应用
| Positive WB detected in | L02 cells, U2OS cells |
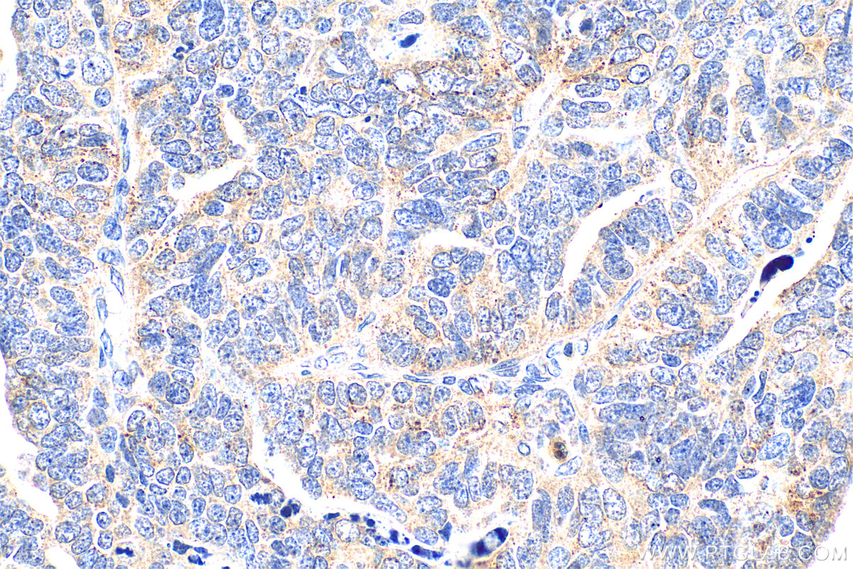
| Positive IHC detected in | human ovary tumor tissue Note: suggested antigen retrieval with TE buffer pH 9.0; (*) Alternatively, antigen retrieval may be performed with citrate buffer pH 6.0 |
推荐稀释比
| 应用 | 推荐稀释比 |
|---|---|
| Western Blot (WB) | WB : 1:500-1:2000 |
| Immunohistochemistry (IHC) | IHC : 1:200-1:800 |
| It is recommended that this reagent should be titrated in each testing system to obtain optimal results. | |
| Sample-dependent, Check data in validation data gallery. | |
产品信息
16521-1-AP targets PMEPA1 in WB, IHC, IF, ELISA applications and shows reactivity with human, mouse, rat samples.
| 经测试应用 | WB, IHC, ELISA Application Description |
| 文献引用应用 | WB, IHC, IF |
| 经测试反应性 | human, mouse, rat |
| 文献引用反应性 | human, mouse |
| 免疫原 |
CatNo: Ag9744 Product name: Recombinant human PMEPA1 protein Source: e coli.-derived, PGEX-4T Tag: GST Domain: 57-280 aa of BC015918 Sequence: HYKLSARSFISRHSQGRRREDALSSEGCLWPSESTVSGNGIPEPQVYAPPRPTDRLAVPPFAQRERFHRFQPTYPYLQHEIDLPPTISLSDGEEPPPYQGPCTLQLRDPEQQLELNRESVRAPPNRTIFDSDLMDSARLGGPCPPSSNSGISATCYGSGGRMEGPPPTYSEVIGHYPGSSFQHQQSSGPPSLLEGTRLHHTHIAPLESAAIWSKEKDKQKGHPL 种属同源性预测 |
| 宿主/亚型 | Rabbit / IgG |
| 抗体类别 | Polyclonal |
| 产品类型 | Antibody |
| 全称 | prostate transmembrane protein, androgen induced 1 |
| 别名 | Transmembrane prostate androgen-induced protein, TMEPAI, STAG1, Solid tumor-associated 1 protein, Protein TMEPAI |
| 计算分子量 | 287 aa, 32 kDa |
| 观测分子量 | 32-36 kDa |
| GenBank蛋白编号 | BC015918 |
| 基因名称 | PMEPA1 |
| Gene ID (NCBI) | 56937 |
| RRID | AB_2284052 |
| 偶联类型 | Unconjugated |
| 形式 | Liquid |
| 纯化方式 | Antigen affinity purification |
| UNIPROT ID | Q969W9 |
| 储存缓冲液 | PBS with 0.02% sodium azide and 50% glycerol, pH 7.3. |
| 储存条件 | Store at -20°C. Stable for one year after shipment. Aliquoting is unnecessary for -20oC storage. |
背景介绍
PMEPA1, also known as TMEPAI, was first discovered as androgen inducible gene in hormone responsive LNCaP cells. PMEPA1 is highly expressed in various solid tumors and is known to play important roles in the transforming growth factor-β(TGF-β) signaling pathway (PMID: 27697531).
实验方案
| Product Specific Protocols | |
|---|---|
| IHC protocol for PMEPA1 antibody 16521-1-AP | Download protocol |
| WB protocol for PMEPA1 antibody 16521-1-AP | Download protocol |
| Standard Protocols | |
|---|---|
| Click here to view our Standard Protocols |
发表文章
| Species | Application | Title |
|---|---|---|
EMBO Mol Med An autocrine ActivinB mechanism drives TGFβ/Activin signaling in Group 3 medulloblastoma. | ||
Int J Biol Sci METTL16 suppressed the proliferation and cisplatin-chemoresistance of bladder cancer by degrading PMEPA1 mRNA in a m6A manner through autophagy pathway | ||
Front Immunol PMEPA1 Is a Prognostic Biomarker That Correlates With Cell Malignancy and the Tumor Microenvironment in Bladder Cancer
| ||
FASEB J PMEPA1 and NEDD4 control the proton production of osteoclasts by regulating vesicular trafficking.
| ||
J Virol NF-κB-Interacting Long Noncoding RNA Regulates HIV-1 Replication and Latency by Repressing NF-κB Signaling. | ||
Biochem Biophys Res Commun PMEPA1, a TGF-β- and hypoxia-inducible gene that participates in hypoxic gene expression networks in solid tumors.
|


