验证数据展示
经过测试的应用
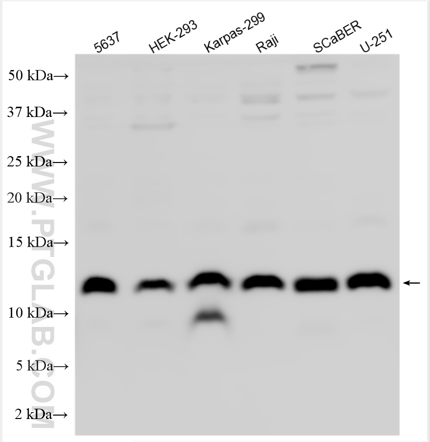
| Positive WB detected in | 5637 cells, HEK-293 cells, Karpas-299 cells, Raji cells, SCaBER cells, U-251 cells |
推荐稀释比
| 应用 | 推荐稀释比 |
|---|---|
| Western Blot (WB) | WB : 1:500-1:1000 |
| It is recommended that this reagent should be titrated in each testing system to obtain optimal results. | |
| Sample-dependent, Check data in validation data gallery. | |
发表文章中的应用
| WB | See 3 publications below |
产品信息
17418-1-AP targets Noxa in WB, ELISA applications and shows reactivity with human samples.
| 经测试应用 | WB, ELISA Application Description |
| 文献引用应用 | WB |
| 经测试反应性 | human |
| 文献引用反应性 | human |
| 免疫原 |
CatNo: Ag11387 Product name: Recombinant human NOXA protein Source: e coli.-derived, PGEX-4T Tag: GST Domain: 1-136 aa of BC032663 Sequence: MPGKKARKNAQPSPARAPAGPAGTAGTARDQAGFAIGMQLRFTRGKKLLSSSLSSSPLALPRGHEEQVQVAGSRVCYSTQEIWRQTELPAETSESDIQTLLLRNLTASKTCMRGLLQKSFLRRCTFHQFEERLHCN 种属同源性预测 |
| 宿主/亚型 | Rabbit / IgG |
| 抗体类别 | Polyclonal |
| 产品类型 | Antibody |
| 全称 | phorbol-12-myristate-13-acetate-induced protein 1 |
| 别名 | PMAIP1, PMA-induced protein 1, PMA induced protein 1, Phorbol-12-myristate-13-acetate-induced protein 1, Immediate-early-response protein APR |
| 计算分子量 | 136 aa, 15 kDa |
| 观测分子量 | 6-15 kDa |
| GenBank蛋白编号 | BC032663 |
| 基因名称 | NOXA |
| Gene ID (NCBI) | 5366 |
| RRID | AB_3669271 |
| 偶联类型 | Unconjugated |
| 形式 | Liquid |
| 纯化方式 | Antigen affinity purification |
| UNIPROT ID | Q13794 |
| 储存缓冲液 | PBS with 0.02% sodium azide and 50% glycerol, pH 7.3. |
| 储存条件 | Store at -20°C. Stable for one year after shipment. Aliquoting is unnecessary for -20oC storage. |
实验方案
| Product Specific Protocols | |
|---|---|
| WB protocol for Noxa antibody 17418-1-AP | Download protocol |
| Standard Protocols | |
|---|---|
| Click here to view our Standard Protocols |
发表文章
| Species | Application | Title |
|---|---|---|
Cancer Med In vitro additive antitumor effects of dimethoxycurcumin and 5-fluorouracil in colon cancer cells. | ||
Target Oncol Venetoclax Synergistically Enhances the Anti-leukemic Activity of Vosaroxin Against Acute Myeloid Leukemia Cells Ex Vivo. | ||
Int J Mol Sci Deferasirox Targets TAOK1 to Induce p53-Mediated Apoptosis in Esophageal Squamous Cell Carcinoma |
