验证数据展示
经过测试的应用
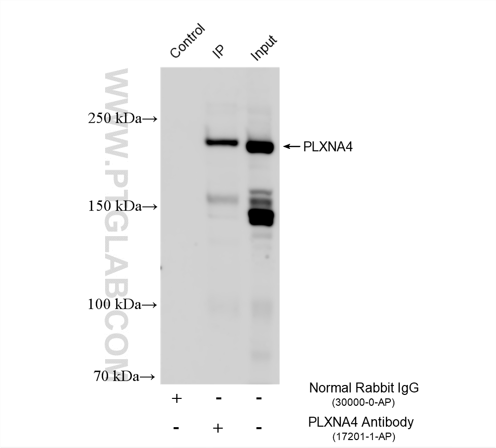
| Positive WB detected in | mouse brain tissue, rat brain tissue |
| Positive IP detected in | mouse brain tissue |
推荐稀释比
| 应用 | 推荐稀释比 |
|---|---|
| Western Blot (WB) | WB : 1:1000-1:8000 |
| Immunoprecipitation (IP) | IP : 0.5-4.0 ug for 1.0-3.0 mg of total protein lysate |
| It is recommended that this reagent should be titrated in each testing system to obtain optimal results. | |
| Sample-dependent, Check data in validation data gallery. | |
产品信息
17201-1-AP targets PLXNA4 in WB, IP, ELISA applications and shows reactivity with human, mouse, rat samples.
| 经测试应用 | WB, IP, ELISA Application Description |
| 经测试反应性 | human, mouse, rat |
| 免疫原 |
CatNo: Ag10978 Product name: Recombinant human PLXNA4 protein Source: e coli.-derived, PGEX-4T Tag: GST Domain: 1-358 aa of BC028744 Sequence: MKAMPWNWTCLLSHLLMVGMGSSTLLTRQPAPLSQKQRSFVTFRGEPAEGFNHLVVDERTGHIYLGAVNRIYKLSSDLKVLVTHETGPDEDNPKCYPPRIVQTCNEPLTTTNNVNKMLLIDYKENRLIACGSLYQGICKLLRLEDLFKLGEPYHKKEHYLSGVNESGSVFGVIVSYSNLDDKLFIATAVDGKPEYFPTISSRKLTKNSEADGMFAYVFHDEFVASMIKIPSDTFTIIPDFDIYYVYGFSSGNFVYFLTLQPEMVSPPGSTTKEQVYTSKLVRLCKEDTAFNSYVEVPIGCERSGVEYRLLQAAYLSKAGAVLGRTLGVHPDDDLLFTVFSKGQKRKMKSLDESALCIF 种属同源性预测 |
| 宿主/亚型 | Rabbit / IgG |
| 抗体类别 | Polyclonal |
| 产品类型 | Antibody |
| 全称 | plexin A4 |
| 别名 | FAYV2820, KIAA1550, PLEXA4, plexin A4, Plexin-A4 |
| 计算分子量 | 522aa,58 kDa; 1894aa,212 kDa |
| 观测分子量 | 212 kDa |
| GenBank蛋白编号 | BC028744 |
| 基因名称 | PLXNA4 |
| Gene ID (NCBI) | 91584 |
| RRID | AB_3741910 |
| 偶联类型 | Unconjugated |
| 形式 | Liquid |
| 纯化方式 | Antigen affinity purification |
| UNIPROT ID | Q9HCM2 |
| 储存缓冲液 | PBS with 0.02% sodium azide and 50% glycerol, pH 7.3. |
| 储存条件 | Store at -20°C. Stable for one year after shipment. Aliquoting is unnecessary for -20oC storage. |
背景介绍
PLXNA4 is a plexin family receptor that transduces semaphorin signals to regulate axon guidance, vascular development, and immune cell migration. It functions as a plasma membrane receptor with intracellular GTPase-regulatory activity, linking extracellular cues to cytoskeletal remodeling. Dysregulation of PLXNA4 has been associated with neurological disease (including Alzheimer's), cancer progression, and vascular/immune dysfunction, making it a multifunctional receptor of significant biomedical interest. (PMID: 27127761)
实验方案
| Product Specific Protocols | |
|---|---|
| IP protocol for PLXNA4 antibody 17201-1-AP | Download protocol |
| WB protocol for PLXNA4 antibody 17201-1-AP | Download protocol |
| Standard Protocols | |
|---|---|
| Click here to view our Standard Protocols |

