验证数据展示
经过测试的应用
| Positive WB detected in | mouse small intestine tissue, COLO 320 cells |
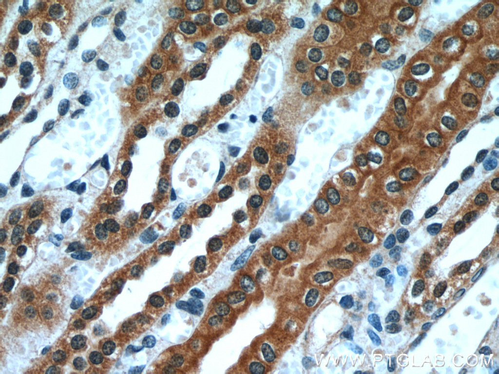
| Positive IHC detected in | human colon cancer tissue, human kidney tissue Note: suggested antigen retrieval with TE buffer pH 9.0; (*) Alternatively, antigen retrieval may be performed with citrate buffer pH 6.0 |
推荐稀释比
| 应用 | 推荐稀释比 |
|---|---|
| Western Blot (WB) | WB : 1:500-1:2400 |
| Immunohistochemistry (IHC) | IHC : 1:150-1:600 |
| It is recommended that this reagent should be titrated in each testing system to obtain optimal results. | |
| Sample-dependent, Check data in validation data gallery. | |
发表文章中的应用
| KD/KO | See 1 publications below |
| WB | See 1 publications below |
| IHC | See 1 publications below |
产品信息
55212-1-AP targets PLS1 in WB, IHC, ELISA applications and shows reactivity with human, mouse, rat samples.
| 经测试应用 | WB, IHC, ELISA Application Description |
| 文献引用应用 | WB, IHC |
| 经测试反应性 | human, mouse, rat |
| 文献引用反应性 | human |
| 免疫原 |
Peptide 种属同源性预测 |
| 宿主/亚型 | Rabbit / IgG |
| 抗体类别 | Polyclonal |
| 产品类型 | Antibody |
| 全称 | plastin 1 (I isoform) |
| 别名 | Plastin-1, Plastin 1, I-plastin, Intestine-specific plastin, I plastin |
| 计算分子量 | 70 kDa |
| 观测分子量 | 70 kDa |
| GenBank蛋白编号 | NM_002670 |
| 基因名称 | PLS1 |
| Gene ID (NCBI) | 5357 |
| RRID | AB_10859080 |
| 偶联类型 | Unconjugated |
| 形式 | Liquid |
| 纯化方式 | Antigen affinity purification |
| UNIPROT ID | Q14651 |
| 储存缓冲液 | PBS with 0.02% sodium azide and 50% glycerol, pH 7.3. |
| 储存条件 | Store at -20°C. Stable for one year after shipment. Aliquoting is unnecessary for -20oC storage. |
背景介绍
PLS1, also named as I-plastin and Plastin-1, is an actin-bundling protein in the absence of calcium. It is intestine-specific plastin. This antibody is specific to PLS1. This antibody is specific to PLS1. It has no cross reaction to PLS3.
实验方案
| Product Specific Protocols | |
|---|---|
| IHC protocol for PLS1 antibody 55212-1-AP | Download protocol |
| WB protocol for PLS1 antibody 55212-1-AP | Download protocol |
| Standard Protocols | |
|---|---|
| Click here to view our Standard Protocols |









