验证数据展示
经过测试的应用
| Positive WB detected in | mouse brain tissue, rat brain tissue |
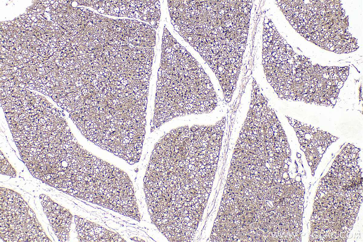
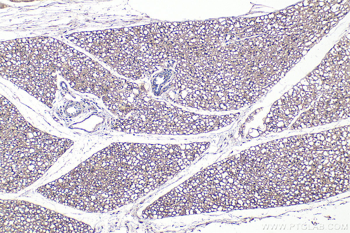
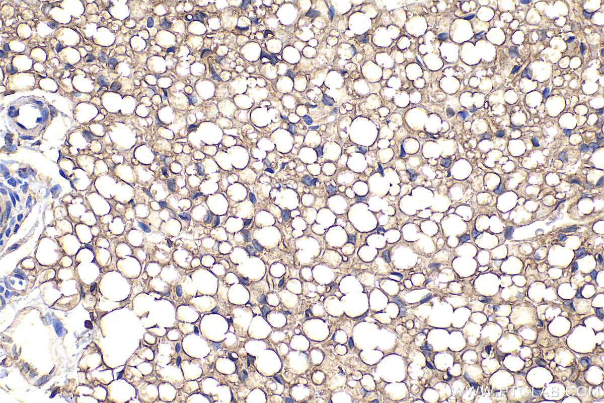
| Positive IHC detected in | rat brown adipose tissue, mouse brown adipose tissue Note: suggested antigen retrieval with TE buffer pH 9.0; (*) Alternatively, antigen retrieval may be performed with citrate buffer pH 6.0 |
| Positive IF-P detected in | mouse brown adipose tissue |
推荐稀释比
| 应用 | 推荐稀释比 |
|---|---|
| Western Blot (WB) | WB : 1:500-1:3000 |
| Immunohistochemistry (IHC) | IHC : 1:150-1:600 |
| Immunofluorescence (IF)-P | IF-P : 1:200-1:800 |
| It is recommended that this reagent should be titrated in each testing system to obtain optimal results. | |
| Sample-dependent, Check data in validation data gallery. | |
发表文章中的应用
| WB | See 1 publications below |
产品信息
25424-1-AP targets PLEKHF2 in WB, IHC, IF-P, ELISA applications and shows reactivity with human, mouse, rat samples.
| 经测试应用 | WB, IHC, IF-P, ELISA Application Description |
| 文献引用应用 | WB |
| 经测试反应性 | human, mouse, rat |
| 文献引用反应性 | human |
| 免疫原 |
CatNo: Ag22285 Product name: Recombinant human PLEKHF2 protein Source: e coli.-derived, PGEX-4T Tag: GST Domain: 186-249 aa of BC011806 Sequence: CSEKRFLLPSQSSKPVRICDFCYDLLSAGDMATCQPARSDSYSQSLKSPLNDMSDDDDDDDSSD 种属同源性预测 |
| 宿主/亚型 | Rabbit / IgG |
| 抗体类别 | Polyclonal |
| 产品类型 | Antibody |
| 全称 | pleckstrin homology domain containing, family F (with FYVE domain) member 2 |
| 别名 | Phafin 2, PHAFIN2, ZFYVE18 |
| 计算分子量 | 249 aa, 28 kDa |
| 观测分子量 | 22-27 kDa |
| GenBank蛋白编号 | BC011806 |
| 基因名称 | PLEKHF2 |
| Gene ID (NCBI) | 79666 |
| RRID | AB_3669474 |
| 偶联类型 | Unconjugated |
| 形式 | Liquid |
| 纯化方式 | Antigen affinity purification |
| UNIPROT ID | Q9H8W4 |
| 储存缓冲液 | PBS with 0.02% sodium azide and 50% glycerol, pH 7.3. |
| 储存条件 | Store at -20°C. Stable for one year after shipment. Aliquoting is unnecessary for -20oC storage. |
背景介绍
Phafin2 is a lysosomal protein consisting of 249 amino acids with a unique structure containing both an N-terminal PH (pleckstrin homology) domain and C terminal FYVE (Fab 1, YOTB, Vac 1, and EEA1) domain.
实验方案
| Product Specific Protocols | |
|---|---|
| IF protocol for PLEKHF2 antibody 25424-1-AP | Download protocol |
| IHC protocol for PLEKHF2 antibody 25424-1-AP | Download protocol |
| WB protocol for PLEKHF2 antibody 25424-1-AP | Download protocol |
| Standard Protocols | |
|---|---|
| Click here to view our Standard Protocols |





