验证数据展示
经过测试的应用
| Positive WB detected in | MCF-7 cells, A431 cells, COLO 320 cells, HEK-293T cells, NIH/3T3 cells | 
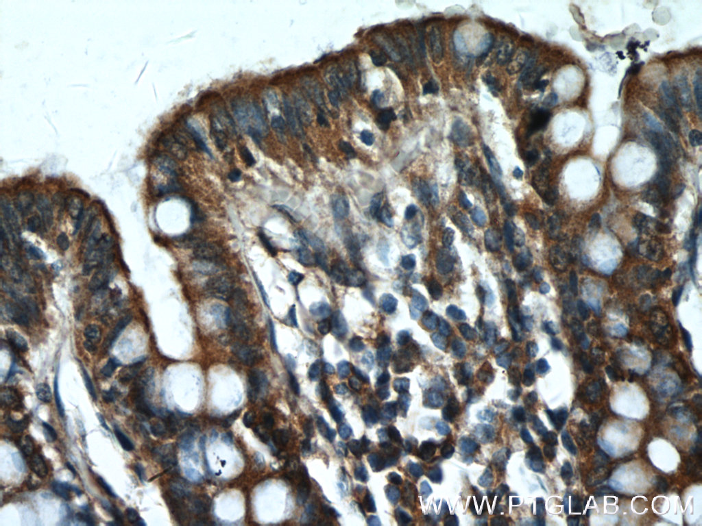
| Positive IHC detected in | human colon tissue Note: suggested antigen retrieval with TE buffer pH 9.0; (*) Alternatively, antigen retrieval may be performed with citrate buffer pH 6.0  | 
推荐稀释比
| 应用 | 推荐稀释比 | 
|---|---|
| Western Blot (WB) | WB : 1:500-1:1000 | 
| Immunohistochemistry (IHC) | IHC : 1:50-1:500 | 
| It is recommended that this reagent should be titrated in each testing system to obtain optimal results. | |
| Sample-dependent, Check data in validation data gallery. | |
产品信息
21370-1-AP targets PLCB3 in WB, IHC, ELISA applications and shows reactivity with human, mouse samples.
| 经测试应用 | WB, IHC, ELISA Application Description | 
| 经测试反应性 | human, mouse | 
| 免疫原 | 
                                             CatNo: Ag15845 Product name: Recombinant human PLCB3 protein Source: e coli.-derived, PGEX-4T Tag: GST Domain: 885-1234 aa of BC142681 Sequence: AQAGQETCQDTQSQQLGSQPSSNPTPSPLDASPRRPPGPTTSPASTSLSSPGQRDDLIASILSEVAPTPLDELRGHKALVKLRSRQERDLRELRKKHQRKAVTLTRRLLDGLAQAQAEGRCRLRPGALGGAADVEDTKEGEDEAKRYQEFQNRQVQSLLELREAQVDAEAQRRLEHLRQALQRLREVVLDANTTQFKRLKEMNEREKKELQKILDRKRHNSISEAKMRDKHKKEAELTEINRRHITESVNSIRRLEEAQKQRHDRLVAGQQQVLQQLAEEEPKLLAQLAQECQEQRARLPQEIRRSLLGEMPEGLGDGPLVACASNGHAPGSSGHLSGADSESQEENTQL 种属同源性预测 | 
                                    
| 宿主/亚型 | Rabbit / IgG | 
| 抗体类别 | Polyclonal | 
| 产品类型 | Antibody | 
| 全称 | phospholipase C, beta 3 (phosphatidylinositol-specific) | 
| 别名 | 1-phosphatidylinositol 4,5-bisphosphate phosphodiesterase beta-3, EC:3.1.4.11, Phosphoinositide phospholipase C-beta-3, Phospholipase C beta 3, Phospholipase C-beta-3 | 
| 计算分子量 | 1234 aa, 139 kDa | 
| 观测分子量 | 150 kDa | 
| GenBank蛋白编号 | BC142681 | 
| 基因名称 | PLCB3 | 
| Gene ID (NCBI) | 5331 | 
| RRID | AB_2878848 | 
| 偶联类型 | Unconjugated | 
| 形式 | Liquid | 
| 纯化方式 | Antigen affinity purification | 
| UNIPROT ID | Q01970 | 
| 储存缓冲液 | PBS with 0.02% sodium azide and 50% glycerol, pH 7.3. | 
| 储存条件 | Store at -20°C. Stable for one year after shipment. Aliquoting is unnecessary for -20oC storage. | 
背景介绍
PLCB3 is a member of the phosphoinositide phospholipase C beta enzyme family that catalyze the production of the secondary messengers diacylglycerol and inositol 1,4,5-triphosphate from phosphatidylinositol in G-protein-linked receptor-mediated signal transduction. Six subfamilies of PLCs (B, G, D, E, Z and H) constitute part of ubiquitous signaling cascades that translate hormonal signals into intracellular events, leading to alternations in cell function. PLCB isoforms 1-4 are stimulated by G-protein activation (Gαq/11 and/or Gβγ). Independent of its enzymatic activity, PLCB3 inhibits the proliferation of hematopoietic stem cells (HSCs) and myeloid cells.
实验方案
| Product Specific Protocols | |
|---|---|
| IHC protocol for PLCB3 antibody 21370-1-AP | Download protocol | 
| WB protocol for PLCB3 antibody 21370-1-AP | Download protocol | 
| Standard Protocols | |
|---|---|
| Click here to view our Standard Protocols | 






