验证数据展示
经过测试的应用
| Positive WB detected in | Caco-2 cells, rabbit testis tissue, COLO 320 cells, HepG2 cells, MOLT-4 cells, Ramos cells, HL-60 cells |
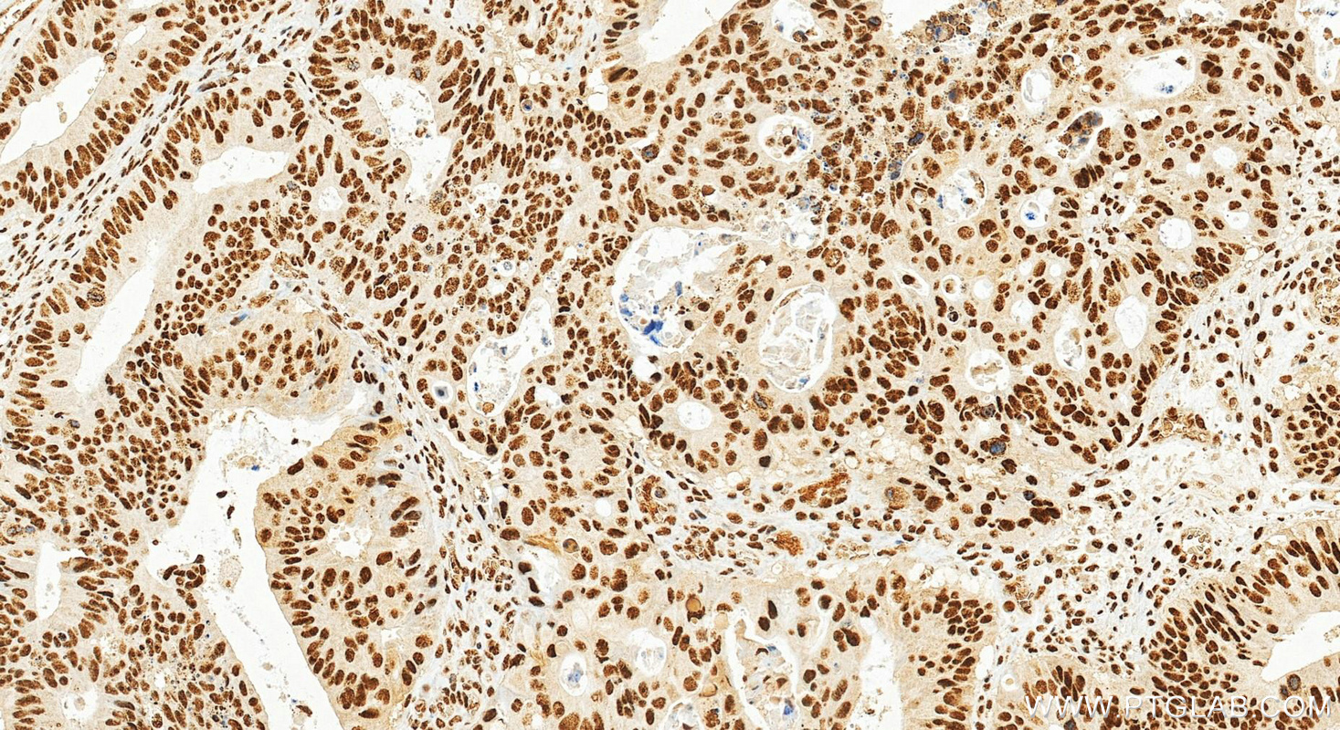
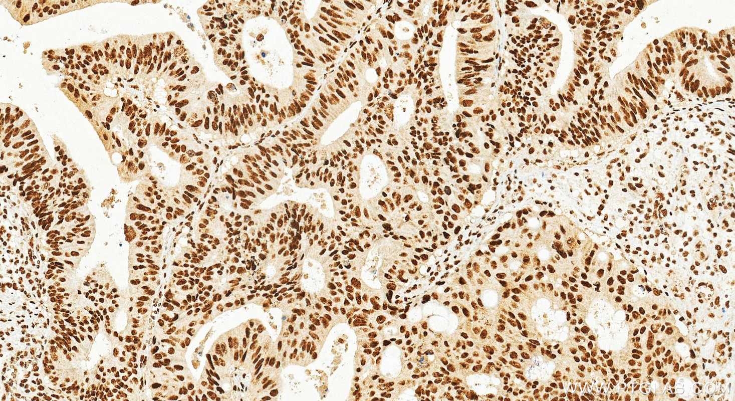
| Positive IHC detected in | human colon cancer tissue Note: suggested antigen retrieval with TE buffer pH 9.0; (*) Alternatively, antigen retrieval may be performed with citrate buffer pH 6.0 |
| Positive FC (Intra) detected in | HepG2 cells |
推荐稀释比
| 应用 | 推荐稀释比 |
|---|---|
| Western Blot (WB) | WB : 1:2000-1:10000 |
| Immunohistochemistry (IHC) | IHC : 1:250-1:1000 |
| Flow Cytometry (FC) (INTRA) | FC (INTRA) : 0.25 ug per 10^6 cells in a 100 µl suspension |
| It is recommended that this reagent should be titrated in each testing system to obtain optimal results. | |
| Sample-dependent, Check data in validation data gallery. | |
产品信息
68606-1-Ig targets PLAGL2 in WB, IHC, ELISA applications and shows reactivity with human, rabbit samples.
| 经测试应用 | WB, IHC, ELISA Application Description |
| 经测试反应性 | human, rabbit |
| 免疫原 |
CatNo: Ag30227 Product name: Recombinant human PLAGL2 protein Source: e coli.-derived, PET28a Tag: 6*His Domain: 194-496 aa of BC023655 Sequence: DHCDRRFYTRKDVRRHLVVHTGRKDFLCQYCAQRFGRKDHLTRHVKKSHSQELLKIKTEPVDMLGLLSCSSTVSVKEELSPVLCMASRDVMGTKAFPGMLPMGMYGAHIPTMPSTGVPHSLVHNTLPMGMSYPLESSPISSPAQLPPKYQLGSTSYLPDKLPKVEVDSFLAELPGSLSLSSAEPQPASPQPAAAAALLDEALLAKSPANLSEALCAANVDFSHLLGFLPLNLPPCNPPGATGGLVMGYSQAEAQPLLTTLQAQPQDSPGAGGPLNFGPLHSLPPVFTSGLSSTTLPRFHQAFQ 种属同源性预测 |
| 宿主/亚型 | Mouse / IgG1 |
| 抗体类别 | Monoclonal |
| 产品类型 | Antibody |
| 全称 | pleiomorphic adenoma gene-like 2 |
| 别名 | 3C2E5, KIAA0198, Pleiomorphic adenoma-like protein 2, ZNF900 |
| 计算分子量 | 496 aa, 55 kDa |
| 观测分子量 | 50-55 kDa |
| GenBank蛋白编号 | BC023655 |
| 基因名称 | PLAGL2 |
| Gene ID (NCBI) | 5326 |
| RRID | AB_3085301 |
| 偶联类型 | Unconjugated |
| 形式 | Liquid |
| 纯化方式 | Protein G purification |
| UNIPROT ID | Q9UPG8 |
| 储存缓冲液 | PBS with 0.02% sodium azide and 50% glycerol, pH 7.3. |
| 储存条件 | Store at -20°C. Stable for one year after shipment. Aliquoting is unnecessary for -20oC storage. |
背景介绍
PLAGL2, also named KIAA0198, belongs to the krueppel C2H2-type zinc-finger protein family. It shows weak transcriptional activatory activity. PLAGL2, a proto-oncogene, is implicated in a variety of cancers including acute myeloid leukemia (AML), malignant glioma, colon cancer, and lung adenocarcinoma. PLAGL2 can function as a tumor suppressor by initiating cell cycle arrest and apoptosis. The calculated molecular weight of PLAGL2 is 55 kDa, but the SUMO1-modifIed form is 68 kDa (PMID: 30535429).
实验方案
| Product Specific Protocols | |
|---|---|
| FC protocol for PLAGL2 antibody 68606-1-Ig | Download protocol |
| IHC protocol for PLAGL2 antibody 68606-1-Ig | Download protocol |
| WB protocol for PLAGL2 antibody 68606-1-Ig | Download protocol |
| Standard Protocols | |
|---|---|
| Click here to view our Standard Protocols |




