验证数据展示
经过测试的应用
| Positive WB detected in | mouse testis tissue |
| Positive IP detected in | mouse testis tissue |
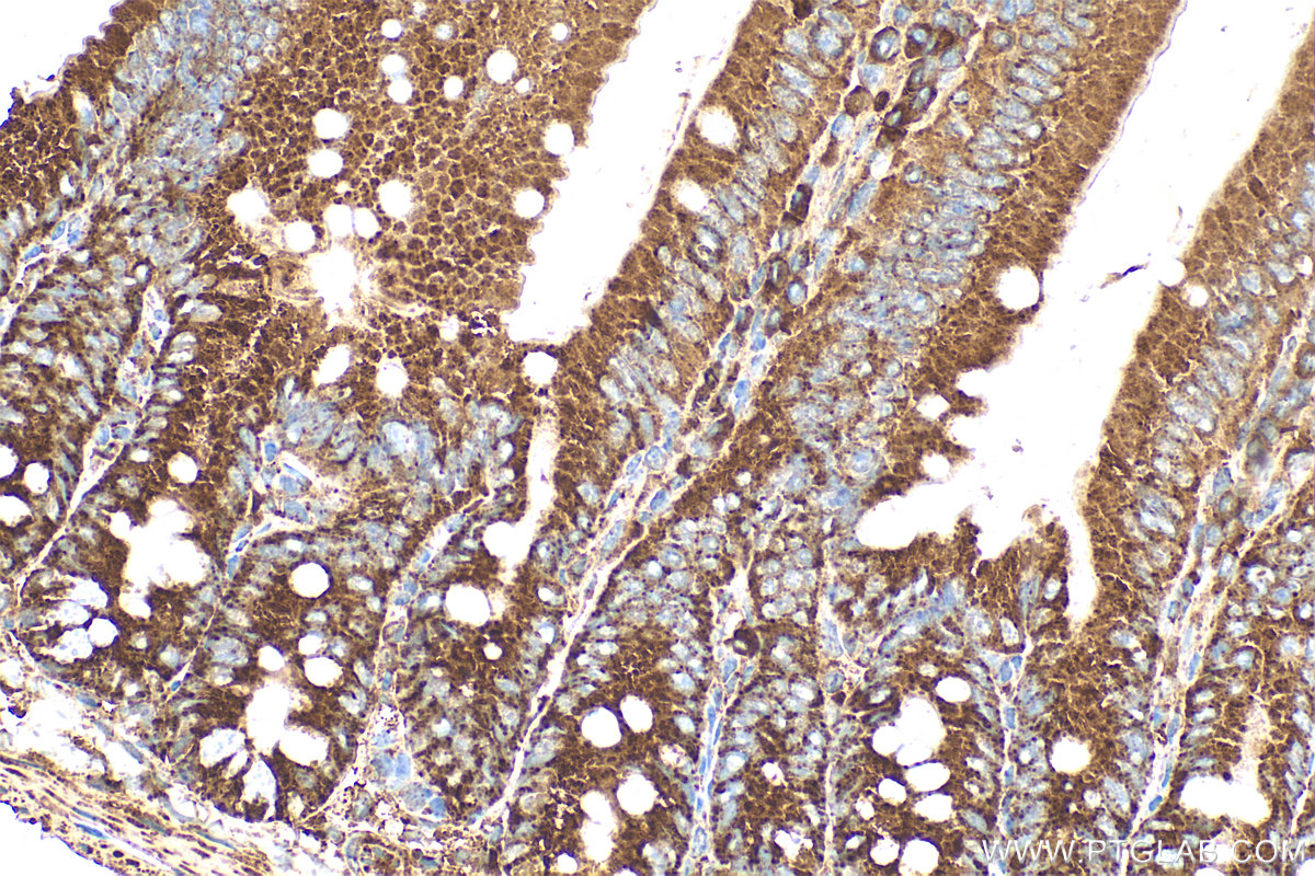
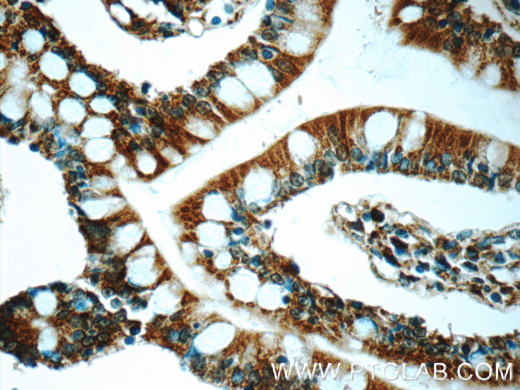
| Positive IHC detected in | mouse small intestine tissue, human brain tissue, human small intestine tissue Note: suggested antigen retrieval with TE buffer pH 9.0; (*) Alternatively, antigen retrieval may be performed with citrate buffer pH 6.0 |
推荐稀释比
| 应用 | 推荐稀释比 |
|---|---|
| Western Blot (WB) | WB : 1:500-1:2000 |
| Immunoprecipitation (IP) | IP : 0.5-4.0 ug for 1.0-3.0 mg of total protein lysate |
| Immunohistochemistry (IHC) | IHC : 1:50-1:500 |
| It is recommended that this reagent should be titrated in each testing system to obtain optimal results. | |
| Sample-dependent, Check data in validation data gallery. | |
产品信息
22030-1-AP targets iPLA2 in WB, IHC, IF, IP, ELISA applications and shows reactivity with human, mouse samples.
| 经测试应用 | WB, IHC, IP, ELISA Application Description |
| 文献引用应用 | WB, IHC, IF |
| 经测试反应性 | human, mouse |
| 文献引用反应性 | human, mouse, rat |
| 免疫原 |
CatNo: Ag16896 Product name: Recombinant human PLA2G6 protein Source: e coli.-derived, PET28a Tag: 6*His Domain: 1-343 aa of BC036742 Sequence: MQFFGRLVNTFSGVTNLFSNPFRVKEVAVADYTSSDRVREEGQLILFQNTPNRTWDCVLVNPRNSQSGFRLFQLELEADALVNFHQYSSQLLPFYESSPQVLHTEVLQHLTDLIRNHPSWSVAHLAVELGIRECFHHSRIISCANCAENEEGCTPLHLACRKGDGEILVELVQYCHTQMDVTDYKGETVFHYAVQGDNSQVLQLLGRNAVAGLNQVNNQGLTPLHLACQLGKQEMVRVLLLCNARCNIMGPNGYPIHSAMKFSQKGCAEMIISMDSSQIHSKDPRYGASPLHWAKNAEMARMLLKRGCNVNSTSSAGNTALHVAVMRNRFDCAIVLLTHGANA 种属同源性预测 |
| 宿主/亚型 | Rabbit / IgG |
| 抗体类别 | Polyclonal |
| 产品类型 | Antibody |
| 全称 | phospholipase A2, group VI (cytosolic, calcium-independent) |
| 别名 | PLA2G6, 2-lysophosphatidylcholine acylhydrolase, 85/88 kDa calcium-independent phospholipase A2, CaI PLA2, CaI-PLA2 |
| 计算分子量 | 90 kDa |
| 观测分子量 | 80-90 kDa |
| GenBank蛋白编号 | BC036742 |
| 基因名称 | PLA2G6 |
| Gene ID (NCBI) | 8398 |
| RRID | AB_2878976 |
| 偶联类型 | Unconjugated |
| 形式 | Liquid |
| 纯化方式 | Antigen affinity purification |
| UNIPROT ID | O60733 |
| 储存缓冲液 | PBS with 0.02% sodium azide and 50% glycerol, pH 7.3. |
| 储存条件 | Store at -20°C. Stable for one year after shipment. Aliquoting is unnecessary for -20oC storage. |
背景介绍
PLA2G6, also named as PLPLA9, is involved in the remodeling of membranes allowing arachidonic acid to be placed in the proper position in phospholipids for stimulated release. It has been implicated in normal phospholipid remodeling, nitric oxide-induced or vasopressin-induced arachidonic acid release and in leukotriene and prostaglandin production. This protein has 4 isoforms produced by alternative splicing.
实验方案
| Product Specific Protocols | |
|---|---|
| IHC protocol for iPLA2 antibody 22030-1-AP | Download protocol |
| IP protocol for iPLA2 antibody 22030-1-AP | Download protocol |
| WB protocol for iPLA2 antibody 22030-1-AP | Download protocol |
| Standard Protocols | |
|---|---|
| Click here to view our Standard Protocols |
发表文章
| Species | Application | Title |
|---|---|---|
Adv Sci (Weinh) Role of SLC16A10 in Psoriasis Through the Regulation of Arachidonic Acid Metabolism in Keratinocytes | ||
Cell Rep Alpha synuclein determines ferroptosis sensitivity in dopaminergic neurons via modulation of ether-phospholipid membrane composition | ||
J Agric Food Chem Inhibitory Effects of Peroxidase from Foxtail Millet Bran on Colitis-Associated Colorectal Carcinogenesis by the Blockage of Glycerophospholipid Metabolism. | ||
Neurol Res Calcium-independent phospholipase A2 inhibitor produces an analgesic effect in a rat model of neuropathic pain by reducing central sensitization in the dorsal horn. | ||
Zhongguo Dang Dai Er Ke Za Zhi [Clinical features of infantile neuroaxonal dystrophy and PLA2G6 gene testing]. | ||
Theranostics Ferritin light chain promotes the reprogramming of glioma immune microenvironment and facilitates glioma progression |







