验证数据展示
经过测试的应用
| Positive WB detected in | K-562 cells, A549 cells, HeLa cells, MCF-7 cells |
| Positive IP detected in | A549 cells |
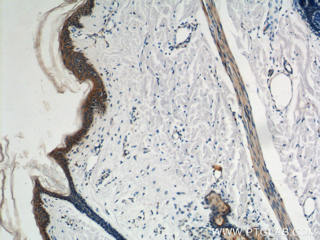
| Positive IHC detected in | human skin tissue, human bowen disease, human colon tissue, mouse skin tissue Note: suggested antigen retrieval with TE buffer pH 9.0; (*) Alternatively, antigen retrieval may be performed with citrate buffer pH 6.0 |
推荐稀释比
| 应用 | 推荐稀释比 |
|---|---|
| Western Blot (WB) | WB : 1:500-1:3000 |
| Immunoprecipitation (IP) | IP : 0.5-4.0 ug for 1.0-3.0 mg of total protein lysate |
| Immunohistochemistry (IHC) | IHC : 1:20-1:200 |
| It is recommended that this reagent should be titrated in each testing system to obtain optimal results. | |
| Sample-dependent, Check data in validation data gallery. | |
发表文章中的应用
| WB | See 1 publications below |
| IHC | See 3 publications below |
产品信息
18338-1-AP targets Plakophilin 3 in WB, IHC, IP, ELISA applications and shows reactivity with human, mouse, rat samples.
| 经测试应用 | WB, IHC, IP, ELISA Application Description |
| 文献引用应用 | WB, IHC |
| 经测试反应性 | human, mouse, rat |
| 文献引用反应性 | human, rat |
| 免疫原 |
CatNo: Ag13062 Product name: Recombinant human PKP3 protein Source: e coli.-derived, PET28a Tag: 6*His Domain: 170-400 aa of BC000081 Sequence: VGSRADYDTLSLRSLRLGPGGLDDRYSLVSEQLEPAATSTYRAFAYERQASSSSSRAGGLDWPEATEVSPSRTIRAPAVRTLQRFQSSHRSRGVGGAVPGAVLEPVARAPSVRSLSLSLADSGHLPDVHGFNSYGSHRTLQRLSSGFDDIDLPSAVKYLMASDPNLQVLGAAYIQHKCYSDAAAKKQARSLQAVPRLVKLFNHANQEVQRHATGAMRNLIYDNADNKLALV 种属同源性预测 |
| 宿主/亚型 | Rabbit / IgG |
| 抗体类别 | Polyclonal |
| 产品类型 | Antibody |
| 全称 | plakophilin 3 |
| 别名 | PKP3, Plakophilin-3 |
| 计算分子量 | 87 kDa |
| 观测分子量 | 87 kDa |
| GenBank蛋白编号 | BC000081 |
| 基因名称 | Plakophilin 3 |
| Gene ID (NCBI) | 11187 |
| RRID | AB_2164281 |
| 偶联类型 | Unconjugated |
| 形式 | Liquid |
| 纯化方式 | Antigen affinity purification |
| UNIPROT ID | Q9Y446 |
| 储存缓冲液 | PBS with 0.02% sodium azide and 50% glycerol, pH 7.3. |
| 储存条件 | Store at -20°C. Stable for one year after shipment. Aliquoting is unnecessary for -20oC storage. |
实验方案
| Product Specific Protocols | |
|---|---|
| IHC protocol for Plakophilin 3 antibody 18338-1-AP | Download protocol |
| IP protocol for Plakophilin 3 antibody 18338-1-AP | Download protocol |
| WB protocol for Plakophilin 3 antibody 18338-1-AP | Download protocol |
| Standard Protocols | |
|---|---|
| Click here to view our Standard Protocols |
发表文章
| Species | Application | Title |
|---|---|---|
J Ovarian Res Cangfu Daotan Wan alleviates polycystic ovary syndrome with phlegm-dampness syndrome via disruption of the PKP3/ERCC1/MAPK axis | ||
Biomedicines Comprehensive Analysis Identifies PKP3 Overexpression in Pancreatic Cancer Related to Unfavorable Prognosis | ||
Med Oncol Data-independent acquisition (DIA) mass spectrometry reveals related proteins involved in the occurrence of early intestinal-type gastric cancer |











