验证数据展示
经过测试的应用
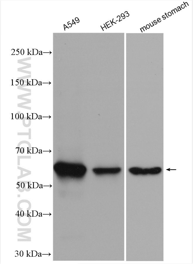
| Positive WB detected in | A549 cells, 293 cell, C6 cells, HEK-293 cells, HeLa cells, N/A, Recombinant protein, HEK-293T cells, MCF-7 cells, mouse stomach tissue |
| Positive IP detected in | A549 cells, MCF-7 cells |
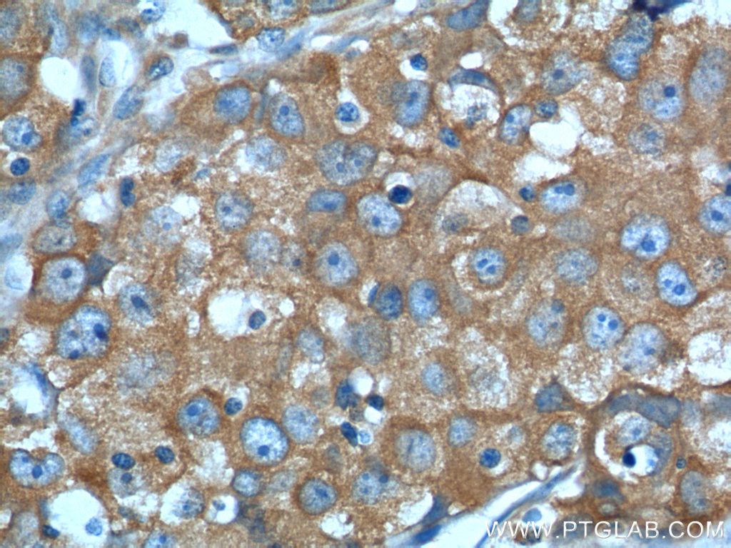
| Positive IHC detected in | human lung cancer tissue, human colon cancer tissue Note: suggested antigen retrieval with TE buffer pH 9.0; (*) Alternatively, antigen retrieval may be performed with citrate buffer pH 6.0 |
| Positive IF/ICC detected in | HeLa cells, MCF-7 cells |
推荐稀释比
| 应用 | 推荐稀释比 |
|---|---|
| Western Blot (WB) | WB : 1:2000-1:12000 |
| Immunoprecipitation (IP) | IP : 0.5-4.0 ug for 1.0-3.0 mg of total protein lysate |
| Immunohistochemistry (IHC) | IHC : 1:100-1:400 |
| Immunofluorescence (IF)/ICC | IF/ICC : 1:50-1:500 |
| It is recommended that this reagent should be titrated in each testing system to obtain optimal results. | |
| Sample-dependent, Check data in validation data gallery. | |
产品信息
15822-1-AP targets PKM2-specific in WB, IHC, IF/ICC, IP, CoIP, ChIP, ELISA applications and shows reactivity with human, mouse, rat samples.
| 经测试应用 | WB, IHC, IF/ICC, IP, ELISA Application Description |
| 文献引用应用 | WB, IHC, IF, IP, CoIP, ChIP |
| 经测试反应性 | human, mouse, rat |
| 文献引用反应性 | human, mouse, rat, chicken, bovine |
| 免疫原 |
Peptide 种属同源性预测 |
| 宿主/亚型 | Rabbit / IgG |
| 抗体类别 | Polyclonal |
| 产品类型 | Antibody |
| 全称 | PKM pyruvate kinase, muscle |
| 别名 | PKM2, PK-M2, PKM2 pyruvate kinase, muscle, PKM, Pyruvate kinase PKM |
| 计算分子量 | 58 kDa |
| 观测分子量 | 58 kDa |
| GenBank蛋白编号 | NM_002654 |
| 基因名称 | PKM |
| Gene ID (NCBI) | 5315 |
| RRID | AB_1851537 |
| 偶联类型 | Unconjugated |
| 形式 | Liquid |
| 纯化方式 | Antigen affinity purification |
| UNIPROT ID | P14618 |
| 储存缓冲液 | PBS with 0.02% sodium azide and 50% glycerol, pH 7.3. |
| 储存条件 | Store at -20°C. Stable for one year after shipment. Aliquoting is unnecessary for -20oC storage. |
背景介绍
PKM, also named as OIP3, PK2, PK3, PKM, p58, THBP1, CTHBP and Tumor M2-PK, belongs to the pyruvate kinase family. It is glycolytic enzyme that catalyzes the transfer of a phosphoryl group from phosphoenolpyruvate (PEP) to ADP, generating ATP. It stimulates POU5F1-mediated transcriptional activation. PKM plays a general role in caspase independent cell death of tumor cells. PKM has 2 isoforms named as PKM1/M2. The activity of the M2 isoform (but not the M1 isoform) can be inhibited by tyrosine kinase signalling in tumourcells. The primary pyruvate kinase isoform before tumour development is PK-M1; however, the primary isoform from four independent tumours is PK-M2 (PMID:18337823). The immunogen of this antibody is M2 isoform and this antibody is specific to PKM2 isoform. This antibody can detect PKM2 monomer, dimer and tetramer (PMID: 36196894).
实验方案
| Product Specific Protocols | |
|---|---|
| IF protocol for PKM2-specific antibody 15822-1-AP | Download protocol |
| IHC protocol for PKM2-specific antibody 15822-1-AP | Download protocol |
| IP protocol for PKM2-specific antibody 15822-1-AP | Download protocol |
| WB protocol for PKM2-specific antibody 15822-1-AP | Download protocol |
| Standard Protocols | |
|---|---|
| Click here to view our Standard Protocols |
发表文章
| Species | Application | Title |
|---|---|---|
Nature The M2 splice isoform of pyruvate kinase is important for cancer metabolism and tumour growth.
| ||
Cell Metab Acetate enables metabolic fitness and cognitive performance during sleep disruption | ||
Mol Cell p53 induces circFRMD4A to suppress cancer development through glycolytic reprogramming and cuproptosis | ||
Mol Cell The long noncoding RNA glycoLINC assembles a lower glycolytic metabolon to promote glycolysis. | ||
Biomaterials PKM2 allosteric converter: A self-assembly peptide for suppressing renal cell carcinoma and sensitizing chemotherapy |





















