验证数据展示
经过测试的应用
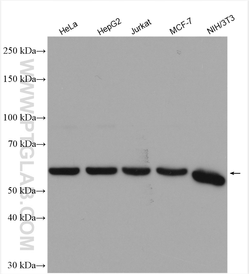
| Positive WB detected in | HeLa cells, multi-cells/tissue, Raji cells, SH-SY5Y cells, Jurkat cells, MCF-7 cells, SKOV-3 cells, NIH/3T3 cells, HepG2 cells, HEK-293 cells, rat skeletal muscle tissue, mouse brain tissue, mouse muscle tissue, mouse heart tissue |
| Positive IHC detected in | human colon cancer tissue Note: suggested antigen retrieval with TE buffer pH 9.0; (*) Alternatively, antigen retrieval may be performed with citrate buffer pH 6.0 |
| Positive IF/ICC detected in | HeLa cells |
| Positive FC (Intra) detected in | HepG2 cells |
推荐稀释比
| 应用 | 推荐稀释比 |
|---|---|
| Western Blot (WB) | WB : 1:1000-1:4000 |
| Immunohistochemistry (IHC) | IHC : 1:250-1:1000 |
| Immunofluorescence (IF)/ICC | IF/ICC : 1:200-1:800 |
| Flow Cytometry (FC) (INTRA) | FC (INTRA) : 0.40 ug per 10^6 cells in a 100 µl suspension |
| It is recommended that this reagent should be titrated in each testing system to obtain optimal results. | |
| Sample-dependent, Check data in validation data gallery. | |
产品信息
10078-2-AP targets PKM in WB, IHC, IF/ICC, FC (Intra), IP, ELISA applications and shows reactivity with human, mouse, rat samples.
| 经测试应用 | WB, IHC, IF/ICC, FC (Intra), ELISA Application Description |
| 文献引用应用 | WB, IHC, IF, IP |
| 经测试反应性 | human, mouse, rat |
| 文献引用反应性 | human, mouse, rat, pig |
| 免疫原 |
CatNo: Ag0110 Product name: Recombinant human PKM protein Source: e coli.-derived, PGEX-4T Tag: GST Domain: 11-221 aa of BC000481 Sequence: AFIQTQQLHAAMADTFLEHMCRLDIDSPPITARNTGIICTIGPASRSVETLKEMIKSGMNVARLNFSHGTHEYHAETIKNVRTATESFASDPILYRPVAVALDTKGPEIRTGLIKGSGTAEVELKKGATLKITLDNAYMEKCDENILWLDYKNICKVVEVGSKIYVDDGLISLQVKQKGADFLVTEVENGGSLGSKKGVNLPGAAVDLPAV 种属同源性预测 |
| 宿主/亚型 | Rabbit / IgG |
| 抗体类别 | Polyclonal |
| 产品类型 | Antibody |
| 全称 | PKM pyruvate kinase, muscle |
| 别名 | PKM1, PK-M1, PKM1 pyruvate kinase, muscle, PKM2, PK-M2 |
| 计算分子量 | 58 kDa |
| 观测分子量 | 58 kDa |
| GenBank蛋白编号 | BC000481 |
| 基因名称 | PKM |
| Gene ID (NCBI) | 5315 |
| RRID | AB_2283775 |
| 偶联类型 | Unconjugated |
| 形式 | Liquid |
| 纯化方式 | Antigen affinity purification |
| UNIPROT ID | P14618 |
| 储存缓冲液 | PBS with 0.02% sodium azide and 50% glycerol, pH 7.3. |
| 储存条件 | Store at -20°C. Stable for one year after shipment. Aliquoting is unnecessary for -20oC storage. |
背景介绍
PKM, also named as OIP3, PK2, PK3, PKM1/2, p58, THBP1, CTHBP and Tumor M2-PK, belongs to the pyruvate kinase family. It is glycolytic enzyme that catalyzes the transfer of a phosphoryl group from phosphoenolpyruvate (PEP) to ADP, generating ATP. It stimulates POU5F1-mediated transcriptional activation. PKM plays a general role in caspase independent cell death of tumor cells. PKM has 2 isoforms named as PKM1/M2. The activity of the M2 isoform can be inhibited by tyrosine kinase signalling in tumourcells. The primary pyruvate kinase isoform before tumour development is PKM1; however, the primary isoform from four independent tumours is PKM2.(PMID:18337823). This antibody can recognize both PKM1 and PKM2.
实验方案
| Product Specific Protocols | |
|---|---|
| FC protocol for PKM antibody 10078-2-AP | Download protocol |
| IF protocol for PKM antibody 10078-2-AP | Download protocol |
| IHC protocol for PKM antibody 10078-2-AP | Download protocol |
| WB protocol for PKM antibody 10078-2-AP | Download protocol |
| Standard Protocols | |
|---|---|
| Click here to view our Standard Protocols |
发表文章
| Species | Application | Title |
|---|---|---|
Sci Adv CGG repeat RNA G-quadruplexes interact with FMRpolyG to cause neuronal dysfunction in fragile X-related tremor/ataxia syndrome. | ||
Cancer Sci Identification of TPI1 As a potential therapeutic target in pancreatic cancer with dependency of TP53 mutation using multi-omics analysis | ||
J Cell Mol Med METTL14/miR-29c-3p axis drives aerobic glycolysis to promote triple-negative breast cancer progression though TRIM9-mediated PKM2 ubiquitination | ||
Sci Rep Proteomic analysis indicates that mitochondrial energy metabolism in skeletal muscle tissue is negatively correlated with feed efficiency in pigs. |





















