验证数据展示
经过测试的应用
| Positive WB detected in | HepG2 cells, 293 cell, HEK-293 cells, HeLa cells, HepG2.MCF7 cells, human kidney tissue, human liver tissue, MCF-7 cells, mouse heart tissue, mouse muscle/liver tissue, mouse skeletal muscle tissue, multi-cells/tissue, Raji cells | 
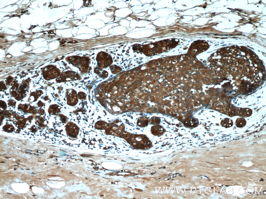
| Positive IHC detected in | human lung cancer tissue, human breast cancer tissue Note: suggested antigen retrieval with TE buffer pH 9.0; (*) Alternatively, antigen retrieval may be performed with citrate buffer pH 6.0 | 
推荐稀释比
| 应用 | 推荐稀释比 | 
|---|---|
| Western Blot (WB) | WB : 1:500-1:3000 | 
| Immunohistochemistry (IHC) | IHC : 1:50-1:500 | 
| It is recommended that this reagent should be titrated in each testing system to obtain optimal results. | |
| Sample-dependent, Check data in validation data gallery. | |
产品信息
22456-1-AP targets PKLR in WB, IHC, IF, CoIP, ELISA applications and shows reactivity with human, mouse, rat samples.
| 经测试应用 | WB, IHC, ELISA Application Description | 
| 文献引用应用 | WB, IHC, IF, CoIP | 
| 经测试反应性 | human, mouse, rat | 
| 文献引用反应性 | human, mouse, rat | 
| 免疫原 | CatNo: Ag17933 Product name: Recombinant human PKLR protein Source: e coli.-derived, PGEX-4T Tag: GST Domain: 446-556 aa of BC025737 Sequence: PLSRDPTEVTAIGAVEAAFKCCAAAIIVLTTTGRSAQLLSRYRPRAAVIAVTRSAQAARQVHLCRGVFPLLYREPPEAIWADDVDRRVQFGIESGKLRGFLRVGDLVIVVT种属同源性预测 | 
| 宿主/亚型 | Rabbit / IgG | 
| 抗体类别 | Polyclonal | 
| 产品类型 | Antibody | 
| 全称 | pyruvate kinase, liver and RBC | 
| 别名 | EC:2.7.1.40, PK1, PKL, Pyruvate kinase isozymes L/R, Pyruvate kinase PKLR | 
| 计算分子量 | 574 aa, 62 kDa | 
| 观测分子量 | 58-62 kDa | 
| GenBank蛋白编号 | BC025737 | 
| 基因名称 | PKLR | 
| Gene ID (NCBI) | 5313 | 
| RRID | AB_10918271 | 
| 偶联类型 | Unconjugated | 
| 形式 | Liquid | 
| 纯化方式 | Antigen affinity purification | 
| UNIPROT ID | P30613 | 
| 储存缓冲液 | PBS with 0.02% sodium azide and 50% glycerol, pH 7.3. | 
| 储存条件 | Store at -20°C. Stable for one year after shipment. Aliquoting is unnecessary for -20oC storage. | 
背景介绍
PKLR(Pyruvate kinase isozymes R/L) is also named as PK1,PKL,which is a glycolytic enzyme that catalyzes the transphosphorylation from phosphoenolpyruvate (PEP) to ADP, yielding pyruvate and ATP. It is the last step of the glycolytic pathway and is essentially irreversible.It belongs to the pyruvate kinase family and There are 4 isozymes of pyruvate kinase in mammals: L, R, M1 and M2. L type is major isozyme in the liver, R is found in red cells, M1 is the main form in muscle, heart and brain, and M2 is found in early fetal tissues.Defects in PKLR are the cause of pyruvate kinase hyperactivity (PKHYP) and pyruvate kinase deficiency of red cells (PKRD).It can form a homotetramer(PMID:11960989).
实验方案
| Product Specific Protocols | |
|---|---|
| IHC protocol for PKLR antibody 22456-1-AP | Download protocol | 
| WB protocol for PKLR antibody 22456-1-AP | Download protocol | 
| Standard Protocols | |
|---|---|
| Click here to view our Standard Protocols | 
发表文章
| Species | Application | Title | 
|---|---|---|
| Nat Med Pyruvate kinase M2 activation may protect against the progression of diabetic glomerular pathology and mitochondrial dysfunction. | ||
| Cell Metab Multi-Tissue Acceleration of the Mitochondrial Phosphoenolpyruvate Cycle Improves Whole-Body Metabolic Health. | ||
| Mol Ther Extracellular vesicle-mediated communication between hepatocytes and natural killer cells promotes hepatocellular tumorigenesis. | ||
| Int J Mol Sci Loss of miR-23b/27b/24-1 Cluster Impairs Glucose Tolerance via Glycolysis Pathway in Mice. | ||
| Sci Rep Up-regulation of PKM2 promote malignancy and related to adverse prognostic risk factor in human gallbladder cancer. | 

















