验证数据展示
经过测试的应用
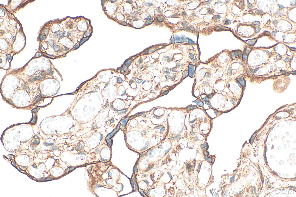
| Positive IHC detected in | human placenta tissue, mouse placenta tissue Note: suggested antigen retrieval with TE buffer pH 9.0; (*) Alternatively, antigen retrieval may be performed with citrate buffer pH 6.0 |
推荐稀释比
| 应用 | 推荐稀释比 |
|---|---|
| Immunohistochemistry (IHC) | IHC : 1:400-1:1600 |
| It is recommended that this reagent should be titrated in each testing system to obtain optimal results. | |
| Sample-dependent, Check data in validation data gallery. | |
产品信息
21169-1-AP targets PITPNM2/NIR3 in IHC, ELISA applications and shows reactivity with human, mouse samples.
| 经测试应用 | IHC, ELISA Application Description |
| 经测试反应性 | human, mouse |
| 免疫原 |
CatNo: Ag15385 Product name: Recombinant human PITPNM2 protein Source: e coli.-derived, PGEX-4T Tag: GST Domain: 233-328 aa of BC141813 Sequence: EWYGLSMENIRELEKEAQLMLSRKMAQFNEDGEEATELVKHEAVSDQTSGEPPEPSSSNGEPLVGRGLKKQWSTSSKSSRSSKRGASPSRHSISEW 种属同源性预测 |
| 宿主/亚型 | Rabbit / IgG |
| 抗体类别 | Polyclonal |
| 产品类型 | Antibody |
| 全称 | phosphatidylinositol transfer protein, membrane-associated 2 |
| 别名 | PITPNM2, KIAA1457, Membrane-associated phosphatidylinositol transfer protein 2, NIR3, NIR-3 |
| 计算分子量 | 1349 aa, 149 kDa |
| GenBank蛋白编号 | BC141813 |
| 基因名称 | PITPNM2 |
| Gene ID (NCBI) | 57605 |
| RRID | AB_3742019 |
| 偶联类型 | Unconjugated |
| 形式 | Liquid |
| 纯化方式 | Antigen affinity purification |
| UNIPROT ID | Q9BZ72 |
| 储存缓冲液 | PBS with 0.02% sodium azide and 50% glycerol, pH 7.3. |
| 储存条件 | Store at -20°C. Stable for one year after shipment. Aliquoting is unnecessary for -20oC storage. |
背景介绍
PITPNM2, also known as NIR3, belongs to a family of membrane-associated phosphatidylinositol transfer domain-containing proteins that share homology with the Drosophila retinal degeneration B (rdgB) protein(PMID: 15627748). PITPNM2/NIR3 promotes both TCRβ selection and positive selection in thymocytes. PITPNM2/NIR3 is required for PIP2 replenishment and TCR-induced calcium signaling in response to weak TCR stimulation(PMID: 36581712).
实验方案
| Product Specific Protocols | |
|---|---|
| IHC protocol for PITPNM2/NIR3 antibody 21169-1-AP | Download protocol |
| Standard Protocols | |
|---|---|
| Click here to view our Standard Protocols |

