验证数据展示
经过测试的应用
| Positive WB detected in | HeLa cells, HepG2 cells, Jurkat cells, SH-SY5Y cells, PC-12 cells, rat brain tissue |
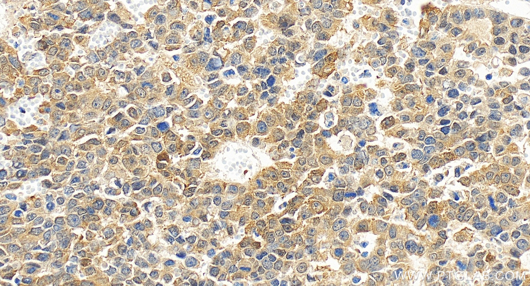
| Positive IHC detected in | human liver cancer tissue Note: suggested antigen retrieval with TE buffer pH 9.0; (*) Alternatively, antigen retrieval may be performed with citrate buffer pH 6.0 |
推荐稀释比
| 应用 | 推荐稀释比 |
|---|---|
| Western Blot (WB) | WB : 1:5000-1:50000 |
| Immunohistochemistry (IHC) | IHC : 1:250-1:1000 |
| It is recommended that this reagent should be titrated in each testing system to obtain optimal results. | |
| Sample-dependent, Check data in validation data gallery. | |
产品信息
85356-1-RR targets PIP4K2C in WB, IHC, ELISA applications and shows reactivity with human, rat samples.
| 经测试应用 | WB, IHC, ELISA Application Description |
| 经测试反应性 | human, rat |
| 免疫原 |
CatNo: Ag11198 Product name: Recombinant human PIP4K2C protein Source: e coli.-derived, PET28a Tag: 6*His Domain: 1-421 aa of BC028596 Sequence: MASSSVPPATVSAATAGPGPGFGFASKTKKKHFVQQKVKVFRAADPLVGVFLWGVAHSINELSQVPPPVMLLPDDFKASSKIKVNNHLFHRENLPSHFKFKEYCPQVFRNLRDRFGIDDQDYLVSLTRNPPSESEGSDGRFLISYDRTLVIKEVSSEDIADMHSNLSNYHQYIVKCHGNTLLPQFLGMYRVSVDNEDSYMLVMRNMFSHRLPVHRKYDLKGSLVSREASDKEKVKELPTLRDMDFLNKNQKVYIGEEEKKIFLEKLKRDVEFLVQLKIMDYSLLLGIHDIIRGSEPEEEAPVREDESEVDGDCSLTGPPALVGSYGTSPEGIGGYIHSHRPLGPGEFESFIDVYAIRSAEGAPQKEVYFMGLIDILTQYDAKKKAAHAAKTVKHGAGAEISTVHPEQYAKRFLDFITNIFA 种属同源性预测 |
| 宿主/亚型 | Rabbit / IgG |
| 抗体类别 | Recombinant |
| 产品类型 | Antibody |
| 全称 | phosphatidylinositol-5-phosphate 4-kinase, type II, gamma |
| 别名 | 242520H2, EC:2.7.1.149, Phosphatidylinositol 5-phosphate 4-kinase type II gamma, Phosphatidylinositol 5-phosphate 4-kinase type-2 gamma, PI(5)P 4-kinase type II gamma |
| 计算分子量 | 421 aa, 47 kDa |
| 观测分子量 | 47 kDa |
| GenBank蛋白编号 | BC028596 |
| 基因名称 | PIP4K2C |
| Gene ID (NCBI) | 79837 |
| 偶联类型 | Unconjugated |
| 形式 | Liquid |
| 纯化方式 | Protein A purification |
| UNIPROT ID | Q8TBX8 |
| 储存缓冲液 | PBS with 0.02% sodium azide and 50% glycerol, pH 7.3. |
| 储存条件 | Store at -20°C. Stable for one year after shipment. Aliquoting is unnecessary for -20oC storage. |
背景介绍
PIP4K2C is involved in several processes, including 1-phosphatidyl-1D-myo-inositol 4,5-bisphosphate biosynthetic process; negative regulation of 1-phosphatidylinositol-4-phosphate 5-kinase activity; and positive regulation of autophagosome assembly. PIP4Ks negatively regulate insulin signaling through a catalytic-independent mechanism.
实验方案
| Product Specific Protocols | |
|---|---|
| IHC protocol for PIP4K2C antibody 85356-1-RR | Download protocol |
| WB protocol for PIP4K2C antibody 85356-1-RR | Download protocol |
| Standard Protocols | |
|---|---|
| Click here to view our Standard Protocols |

