验证数据展示
经过测试的应用
| Positive WB detected in | HeLa cells, HepG2 cells, PC-12 cells |
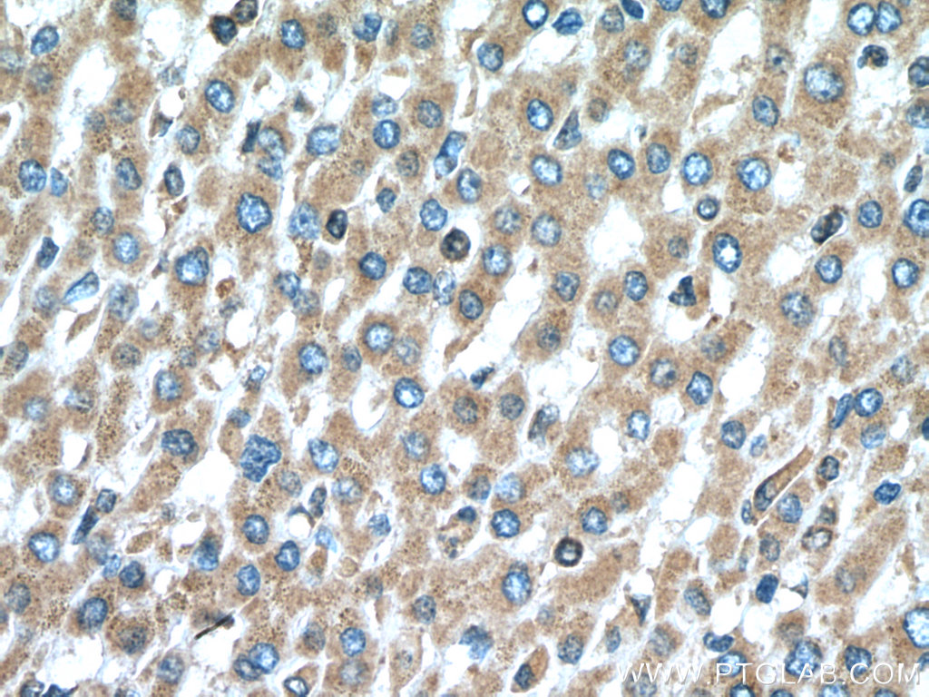
| Positive IHC detected in | human liver cancer tissue Note: suggested antigen retrieval with TE buffer pH 9.0; (*) Alternatively, antigen retrieval may be performed with citrate buffer pH 6.0 |
推荐稀释比
| 应用 | 推荐稀释比 |
|---|---|
| Western Blot (WB) | WB : 1:1000-1:4000 |
| Immunohistochemistry (IHC) | IHC : 1:50-1:500 |
| It is recommended that this reagent should be titrated in each testing system to obtain optimal results. | |
| Sample-dependent, Check data in validation data gallery. | |
产品信息
17077-1-AP targets PIP4K2C in WB, IHC, IF, ELISA applications and shows reactivity with human, mouse, rat samples.
| 经测试应用 | WB, IHC, ELISA Application Description |
| 文献引用应用 | WB, IHC, IF |
| 经测试反应性 | human, mouse, rat |
| 文献引用反应性 | human |
| 免疫原 |
CatNo: Ag10989 Product name: Recombinant human PIP4K2C protein Source: e coli.-derived, PGEX-4T Tag: GST Domain: 1-421 aa of BC028596 Sequence: MASSSVPPATVSAATAGPGPGFGFASKTKKKHFVQQKVKVFRAADPLVGVFLWGVAHSINELSQVPPPVMLLPDDFKASSKIKVNNHLFHRENLPSHFKFKEYCPQVFRNLRDRFGIDDQDYLVSLTRNPPSESEGSDGRFLISYDRTLVIKEVSSEDIADMHSNLSNYHQYIVKCHGNTLLPQFLGMYRVSVDNEDSYMLVMRNMFSHRLPVHRKYDLKGSLVSREASDKEKVKELPTLRDMDFLNKNQKVYIGEEEKKIFLEKLKRDVEFLVQLKIMDYSLLLGIHDIIRGSEPEEEAPVREDESEVDGDCSLTGPPALVGSYGTSPEGIGGYIHSHRPLGPGEFESFIDVYAIRSAEGAPQKEVYFMGLIDILTQYDAKKKAAHAAKTVKHGAGAEISTVHPEQYAKRFLDFITNIFA 种属同源性预测 |
| 宿主/亚型 | Rabbit / IgG |
| 抗体类别 | Polyclonal |
| 产品类型 | Antibody |
| 全称 | phosphatidylinositol-5-phosphate 4-kinase, type II, gamma |
| 别名 | EC:2.7.1.149, Phosphatidylinositol 5-phosphate 4-kinase type II gamma, Phosphatidylinositol 5-phosphate 4-kinase type-2 gamma, PI(5)P 4-kinase type II gamma, PIP4KII gamma |
| 计算分子量 | 421 aa, 47 kDa |
| 观测分子量 | 47 kDa |
| GenBank蛋白编号 | BC028596 |
| 基因名称 | PIP4K2C |
| Gene ID (NCBI) | 79837 |
| RRID | AB_2715526 |
| 偶联类型 | Unconjugated |
| 形式 | Liquid |
| 纯化方式 | Antigen affinity purification |
| UNIPROT ID | Q8TBX8 |
| 储存缓冲液 | PBS with 0.02% sodium azide and 50% glycerol, pH 7.3. |
| 储存条件 | Store at -20°C. Stable for one year after shipment. Aliquoting is unnecessary for -20oC storage. |
背景介绍
PIP4K2C is involved in several processes, including 1-phosphatidyl-1D-myo-inositol 4,5-bisphosphate biosynthetic process; negative regulation of 1-phosphatidylinositol-4-phosphate 5-kinase activity; and positive regulation of autophagosome assembly. PIP4Ks negatively regulate insulin signaling through a catalytic-independent mechanism.
实验方案
| Product Specific Protocols | |
|---|---|
| IHC protocol for PIP4K2C antibody 17077-1-AP | Download protocol |
| WB protocol for PIP4K2C antibody 17077-1-AP | Download protocol |
| Standard Protocols | |
|---|---|
| Click here to view our Standard Protocols |
发表文章
| Species | Application | Title |
|---|---|---|
Elife Inhibition of PIP4Kγ ameliorates the pathological effects of mutant huntingtin protein.
| ||
Cell Rep PIP4Ks Suppress Insulin Signaling through a Catalytic-Independent Mechanism.
| ||
Autophagy Rep Upregulation of the ESCRT pathway and multivesicular bodies accelerates degradation of proteins associated with neurodegeneration | ||
Phytomedicine Traditional wisdom meets modern science: The protective role of sanhuang shu'ai decoction in ulcerative colitis models | ||
Transl Oncol Downregulation of PIP4K2C inhibits the breast cancer cell proliferation, migration and invasion | ||
J Adv Res Orthosteric-allosteric dual inhibitors of PI5P4Kγ with potent antitumor activity in non-small cell lung cancer |






