验证数据展示
经过测试的应用
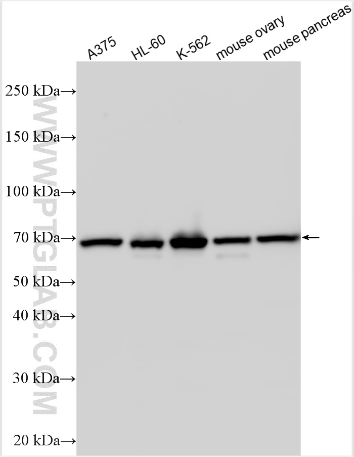
| Positive WB detected in | A375 cells, HL-60 cells, K-562 cells, mouse ovary tissue, mouse pancreas tissue |
推荐稀释比
| 应用 | 推荐稀释比 |
|---|---|
| Western Blot (WB) | WB : 1:1000-1:6000 |
| It is recommended that this reagent should be titrated in each testing system to obtain optimal results. | |
| Sample-dependent, Check data in validation data gallery. | |
产品信息
14242-1-AP targets PIAS4 in WB, IHC, IF, ELISA applications and shows reactivity with human, mouse samples.
| 经测试应用 | WB, ELISA Application Description |
| 文献引用应用 | WB, IHC, IF |
| 经测试反应性 | human, mouse |
| 文献引用反应性 | human, mouse |
| 免疫原 |
CatNo: Ag5498 Product name: Recombinant human PIAS4 protein Source: e coli.-derived, PET28a Tag: 6*His Domain: 210-510 aa of BC029874 Sequence: PNIAVKVNHSYCSVPGYYPSNKPGVEPKRPCRPINLTHLMYLSSATNRITVTWGNYGKSYSVALYLVRQLTSSELLQRLKTIGVKHPELCKALVKEKLRLDPDSEIATTGVRVSLICPLVKMRLSVPCRAETCAHLQCFDAVFYLQMNEKKPTWMCPVCDKPAPYDQLIIDGLLSKILSECEDADEIEYLVDGSWCPIRAEKERSCSPQGAILVLGPSDANGLLPAPSVNGSGALGSTGGGGPVGSMENGKPGADVVDLTLDSSSSSEDEEEEEEEEEDEDEEGPRPKRRCPFQKGLVPAC 种属同源性预测 |
| 宿主/亚型 | Rabbit / IgG |
| 抗体类别 | Polyclonal |
| 产品类型 | Antibody |
| 全称 | protein inhibitor of activated STAT, 4 |
| 别名 | E3 SUMO-protein ligase PIAS4, EC:2.3.2.27, PIAS gamma, PIASG, PIAS-gamma |
| 计算分子量 | 57 kDa |
| 观测分子量 | 57-70 kDa |
| GenBank蛋白编号 | BC029874 |
| 基因名称 | PIAS4 |
| Gene ID (NCBI) | 51588 |
| RRID | AB_2164365 |
| 偶联类型 | Unconjugated |
| 形式 | Liquid |
| 纯化方式 | Antigen affinity purification |
| UNIPROT ID | Q8N2W9 |
| 储存缓冲液 | PBS with 0.02% sodium azide and 50% glycerol, pH 7.3. |
| 储存条件 | Store at -20°C. Stable for one year after shipment. Aliquoting is unnecessary for -20oC storage. |
背景介绍
PIAS4(protein inhibitor of activated STAT protein 4) is also named as PIASG, PIASy and belongs to the PIAS family. It enhanced the conjugation of SUMO2 to GATA2 through its E3 SUMO ligase activity. TGF-b can up-regulates PLAS4 expression in MCs to down-regulatea-SMA gene transcription by the interaction with E12 and PLAS4 predominantly acts as E3 ligases for E12 in MCs among PIAS family members (PMID:22829926). This protein can be sumoylated and Lys-35 is the main site of sumoylation(PMID:15831457).
实验方案
| Product Specific Protocols | |
|---|---|
| WB protocol for PIAS4 antibody 14242-1-AP | Download protocol |
| Standard Protocols | |
|---|---|
| Click here to view our Standard Protocols |
发表文章
| Species | Application | Title |
|---|---|---|
Nat Commun Rad18-dependent SUMOylation of human specialized DNA polymerase eta is required to prevent under-replicated DNA.
| ||
PLoS Biol DPPA2/4 and SUMO E3 ligase PIAS4 opposingly regulate zygotic transcriptional program.
| ||
PLoS One Protein inhibitor of activated STAT, PIASy regulates α-smooth muscle actin expression by interacting with E12 in mesangial cells.
| ||
Front Nutr Hengshun Aromatic Vinegar Ameliorates Vascular Endothelial Injury via Regulating PKCζ-Mediated Oxidative Stress and Apoptosis. | ||
Nat Commun Suppression of ACE2 SUMOylation protects against SARS-CoV-2 infection through TOLLIP-mediated selective autophagy
|




