验证数据展示
经过测试的应用
| Positive WB detected in | HeLa cells, MCF-7 cells, K-562 cells |
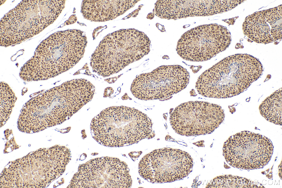
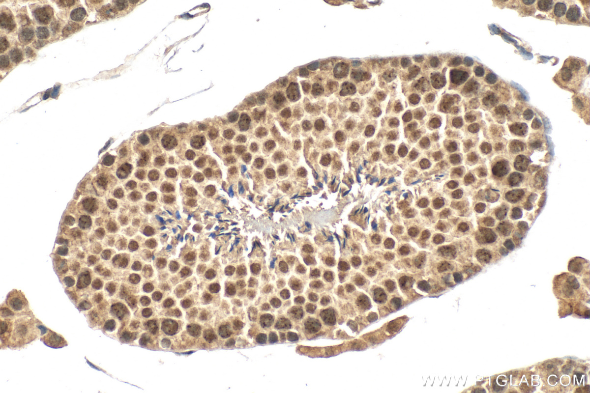
| Positive IHC detected in | mouse testis tissue Note: suggested antigen retrieval with TE buffer pH 9.0; (*) Alternatively, antigen retrieval may be performed with citrate buffer pH 6.0 |
| Positive IF/ICC detected in | MCF-7 cells |
推荐稀释比
| 应用 | 推荐稀释比 |
|---|---|
| Western Blot (WB) | WB : 1:500-1:3000 |
| Immunohistochemistry (IHC) | IHC : 1:50-1:500 |
| Immunofluorescence (IF)/ICC | IF/ICC : 1:50-1:500 |
| It is recommended that this reagent should be titrated in each testing system to obtain optimal results. | |
| Sample-dependent, Check data in validation data gallery. | |
发表文章中的应用
| WB | See 4 publications below |
| IF | See 3 publications below |
产品信息
16074-1-AP targets PIAS2 in WB, IHC, IF/ICC, ELISA applications and shows reactivity with human, mouse samples.
| 经测试应用 | WB, IHC, IF/ICC, ELISA Application Description |
| 文献引用应用 | WB, IF |
| 经测试反应性 | human, mouse |
| 文献引用反应性 | human |
| 免疫原 |
CatNo: Ag9032 Product name: Recombinant human PIAS2 protein Source: e coli.-derived, PGEX-4T Tag: GST Domain: 1-346 aa of BC015190 Sequence: MADFEELRNMVSSFRVSELQVLLGFAGRNKSGRKHDLLMRALHLLKSGCSPAVQIKIRELYRRRYPRTLEGLSDLSTIKSSVFSLDGGSSPVEPDLAVAGIHSLPSTSVTPHSPSSPVGSVLLQDTKPTFEMQQPSPPIPPVHPDVQLKNLPFYDVLDVLIKPTSLVQSSIQRFQEKFFIFALTPQQVREICISRDFLPGGRRDYTVQVQLRLCLAETSCPQEDNYPNSLCIKVNGKLFPLPGYAPPPKNGIEQKRPGRPLNITSLVRLSSAVPNQISISWASEIGKNYSMSVYLVRQLTSAMLLQRLKMKGIRNPDHSRALIKEKLTADPDSEIATTSLRVSLMC 种属同源性预测 |
| 宿主/亚型 | Rabbit / IgG |
| 抗体类别 | Polyclonal |
| 产品类型 | Antibody |
| 全称 | protein inhibitor of activated STAT, 2 |
| 别名 | Androgen receptor-interacting protein 3, ARIP3, DAB2-interacting protein, DIP, E3 SUMO-protein ligase PIAS2 |
| 计算分子量 | 63 kDa, 69 kDa |
| 观测分子量 | 68 kDa |
| GenBank蛋白编号 | BC015190 |
| 基因名称 | PIAS2 |
| Gene ID (NCBI) | 9063 |
| RRID | AB_2164208 |
| 偶联类型 | Unconjugated |
| 形式 | Liquid |
| 纯化方式 | Antigen affinity purification |
| UNIPROT ID | O75928 |
| 储存缓冲液 | PBS with 0.02% sodium azide and 50% glycerol, pH 7.3. |
| 储存条件 | Store at -20°C. Stable for one year after shipment. Aliquoting is unnecessary for -20oC storage. |
背景介绍
PIAS2 functions as an E3-type small ubiquitin-like modifier (SUMO) ligase, stabilizing the interaction between UBE2I and the substrate, and as a SUMO-tethering factor. PIAS2 also plays a crucial role as a transcriptional coregulator in various cellular pathways, including the STAT pathway, the p53 pathway and the steroid hormone signaling pathway. PIAS2 has 3 isoforms produced by alternative splicing with the MW of 68 kDa, 63 kDa and 45 kDa.
实验方案
| Product Specific Protocols | |
|---|---|
| IF protocol for PIAS2 antibody 16074-1-AP | Download protocol |
| IHC protocol for PIAS2 antibody 16074-1-AP | Download protocol |
| WB protocol for PIAS2 antibody 16074-1-AP | Download protocol |
| Standard Protocols | |
|---|---|
| Click here to view our Standard Protocols |
发表文章
| Species | Application | Title |
|---|---|---|
Biochim Biophys Acta Mol Cell Res IL-17 promotes melanoma through TRAF2 as a scaffold protein recruiting PIAS2 and ELAVL1 to induce EPHA5 | ||
J Mol Med (Berl) Hyper-SUMOylation of SMN induced by SENP2 deficiency decreases its stability and leads to spinal muscular atrophy-like pathology. | ||
Sci Rep Chromosome 8q24 amplification associated with human hepatocellular carcinoma predicts MYC/ZEB1/MIZ1 transcriptional regulation | ||
Nat Commun Human ANP32A/B are SUMOylated and utilized by avian influenza virus NS2 protein to overcome species-specific restriction |





