验证数据展示
经过测试的应用
| Positive WB detected in | HepG2 cells, Jurkat cells, L02 cells, J774A.1 cells, RAW 264.7 cells |
| Positive IP detected in | HepG2 cells |
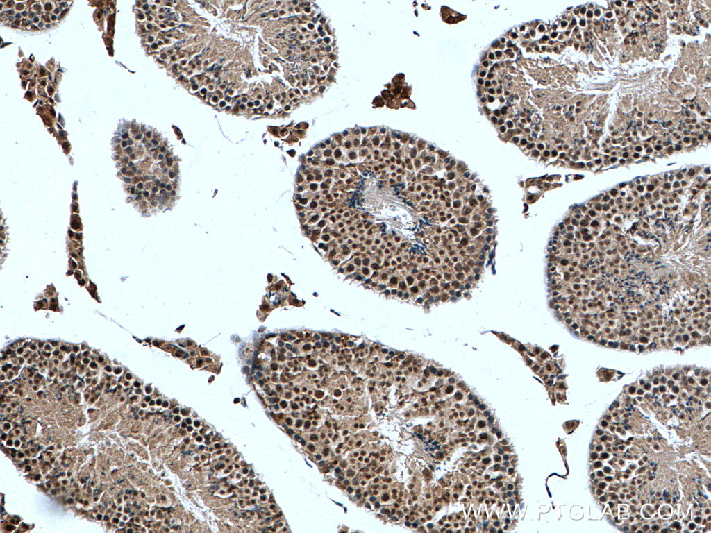
| Positive IHC detected in | mouse testis tissue Note: suggested antigen retrieval with TE buffer pH 9.0; (*) Alternatively, antigen retrieval may be performed with citrate buffer pH 6.0 |
推荐稀释比
| 应用 | 推荐稀释比 |
|---|---|
| Western Blot (WB) | WB : 1:1000-1:6000 |
| Immunoprecipitation (IP) | IP : 0.5-4.0 ug for 1.0-3.0 mg of total protein lysate |
| Immunohistochemistry (IHC) | IHC : 1:200-1:800 |
| It is recommended that this reagent should be titrated in each testing system to obtain optimal results. | |
| Sample-dependent, Check data in validation data gallery. | |
产品信息
23395-1-AP targets PIAS1 in WB, IHC, IF, IP, coIP, ChIP, ELISA applications and shows reactivity with human, mouse samples.
| 经测试应用 | WB, IHC, IP, ELISA Application Description |
| 文献引用应用 | WB, IHC, IF, coIP, ChIP |
| 经测试反应性 | human, mouse |
| 文献引用反应性 | human, mouse, rat |
| 免疫原 |
CatNo: Ag18132 Product name: Recombinant human PIAS1 protein Source: e coli.-derived, PGEX-4T Tag: GST Domain: 475-651 aa of BC121797 Sequence: PSAKRTCPSLSPTSPLNNKGILSLPHQASPVSRTPSLPAVDTSYINTSLIQDYRHPFHMTPMPYDLQGLDFFPFLSGDNQHYNTSLLAAAAAAVSDDQDLLHSSRFFPYTSSQMFLDQLSAGGSTSLPTTNGSSSGSNSSLVSSNSLRESHSHTVTNRSSTDTASIFGIIPDIISLD 种属同源性预测 |
| 宿主/亚型 | Rabbit / IgG |
| 抗体类别 | Polyclonal |
| 产品类型 | Antibody |
| 全称 | protein inhibitor of activated STAT, 1 |
| 别名 | DDXBP1, DEAD/H box-binding protein 1, E3 SUMO-protein ligase PIAS1, E3 SUMO-protein transferase PIAS1, EC:2.3.2.- |
| 计算分子量 | 651 aa, 72 kDa |
| 观测分子量 | 72 kDa |
| GenBank蛋白编号 | BC121797 |
| 基因名称 | PIAS1 |
| Gene ID (NCBI) | 8554 |
| RRID | AB_2879272 |
| 偶联类型 | Unconjugated |
| 形式 | Liquid |
| 纯化方式 | Antigen affinity purification |
| UNIPROT ID | O75925 |
| 储存缓冲液 | PBS with 0.02% sodium azide and 50% glycerol, pH 7.3. |
| 储存条件 | Store at -20°C. Stable for one year after shipment. Aliquoting is unnecessary for -20oC storage. |
实验方案
| Product Specific Protocols | |
|---|---|
| IHC protocol for PIAS1 antibody 23395-1-AP | Download protocol |
| IP protocol for PIAS1 antibody 23395-1-AP | Download protocol |
| WB protocol for PIAS1 antibody 23395-1-AP | Download protocol |
| Standard Protocols | |
|---|---|
| Click here to view our Standard Protocols |
发表文章
| Species | Application | Title |
|---|---|---|
Nat Commun CryoET reveals organelle phenotypes in huntington disease patient iPSC-derived and mouse primary neurons | ||
Nat Commun Crosstalk between SUMOylation and ubiquitylation controls DNA end resection by maintaining MRE11 homeostasis on chromatin | ||
J Hazard Mater Dual effects of JNK activation in blood-milk barrier damage induced by zinc oxide nanoparticles. | ||
PLoS Pathog PIAS1-mediated SUMOylation of influenza A virus PB2 restricts viral replication and virulence.
| ||
Mol Med Rep Role of SUMOylation of STAT1 in tubular epithelial‑mesenchymal transition induced by high glucose | ||
DNA Cell Biol miR-182-5p and miR-96-5p Target PIAS1 and Mediate the Negative Feedback Regulatory Loop between PIAS1 and STAT3 in Endometrial Cancer. |



