验证数据展示
经过测试的应用
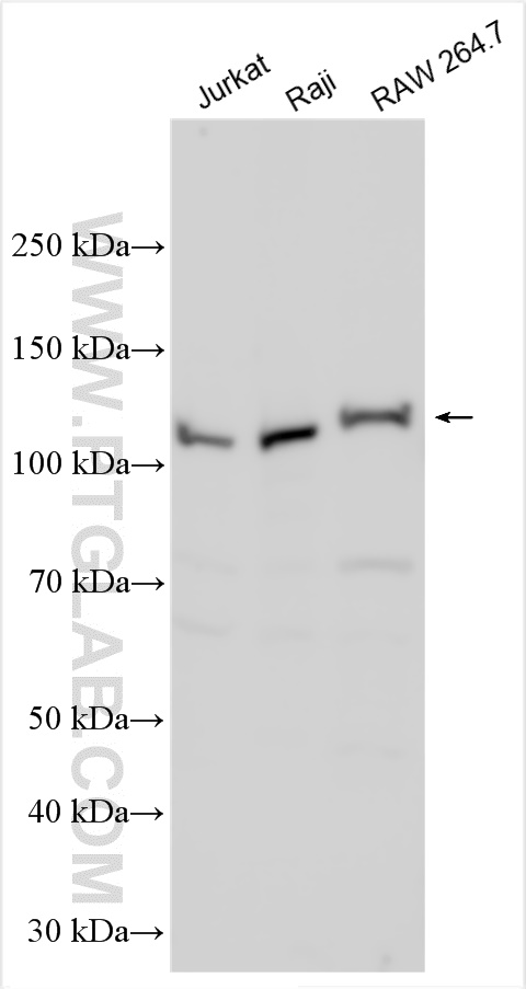
| Positive WB detected in | Jurkat cells, Raji cells, RAW 264.7 cells |
| Positive IF/ICC detected in | LNCaP cells |
推荐稀释比
| 应用 | 推荐稀释比 |
|---|---|
| Western Blot (WB) | WB : 1:500-1:2000 |
| Immunofluorescence (IF)/ICC | IF/ICC : 1:200-1:800 |
| It is recommended that this reagent should be titrated in each testing system to obtain optimal results. | |
| Sample-dependent, Check data in validation data gallery. | |
产品信息
21708-1-AP targets PI3 Kinase p110 Delta in WB, IHC, IF/ICC, ELISA applications and shows reactivity with human, mouse samples.
| 经测试应用 | WB, IF/ICC, ELISA Application Description |
| 文献引用应用 | WB, IHC, IF |
| 经测试反应性 | human, mouse |
| 文献引用反应性 | human, mouse, rat |
| 免疫原 |
CatNo: Ag16326 Product name: Recombinant human PIK3CD protein Source: e coli.-derived, PGEX-4T Tag: GST Domain: 130-381 aa of BC132919 Sequence: SLCDPEVNDFRAKMCQFCEEAAARRQQLGWEAWLQYSFPLQLEPSAQTWGPGTLRLPNRALLVNVKFEGSEESFTFQVSTKDVPLALMACALRKKATVFRQPLVEQPEDYTLQVNGRHEYLYGSYPLCQFQYICSCLHSGLTPHLTMVHSSSILAMRDEQSNPAPQVQKPRAKPPPIPAKKPSSVSLWSLEQPFRIELIQGSKVNADERMKLVVQAGLFHGNEMLCKTVSSSEVSVCSEPVWKQRLEFDINI 种属同源性预测 |
| 宿主/亚型 | Rabbit / IgG |
| 抗体类别 | Polyclonal |
| 产品类型 | Antibody |
| 全称 | phosphoinositide-3-kinase, catalytic, delta polypeptide |
| 别名 | PI3K p110(delta), PIK3CD, PI3K delta, PI3 kinase subunit delta, Phosphatidylinositol 4,5-bisphosphate 3-kinase catalytic subunit delta isoform |
| 计算分子量 | 1044 aa, 120 kDa |
| 观测分子量 | 110-130 kDa |
| GenBank蛋白编号 | BC132919 |
| 基因名称 | PIK3CD |
| Gene ID (NCBI) | 5293 |
| RRID | AB_3085666 |
| 偶联类型 | Unconjugated |
| 形式 | Liquid |
| 纯化方式 | Antigen affinity purification |
| UNIPROT ID | O00329 |
| 储存缓冲液 | PBS with 0.02% sodium azide and 50% glycerol, pH 7.3. |
| 储存条件 | Store at -20°C. Stable for one year after shipment. Aliquoting is unnecessary for -20oC storage. |
实验方案
| Product Specific Protocols | |
|---|---|
| IF protocol for PI3 Kinase p110 Delta antibody 21708-1-AP | Download protocol |
| WB protocol for PI3 Kinase p110 Delta antibody 21708-1-AP | Download protocol |
| Standard Protocols | |
|---|---|
| Click here to view our Standard Protocols |
发表文章
| Species | Application | Title |
|---|---|---|
Cell Mol Life Sci FAM76B regulates PI3K/Akt/NF-κB-mediated M1 macrophage polarization by influencing the stability of PIK3CD mRNA | ||
J Ethnopharmacol Uncovering the mechanisms of Zhubi decoction against rheumatoid arthritis through an integrated study of network pharmacology, metabolomics, and intestinal flora | ||
Heliyon Exploration of the mechanism of Lithospermum erythrorhizon oil in treating atopic dermatitis based on network pharmacology and experimental validation of the PI3K-Akt pathway regulation | ||
Bioorg Med Chem Discovery of 1H-pyrazolo[3,4-d]pyrimidin-4-ylamine derivatives as potent PI3Kδ/BTK dual-target inhibitors for the treatment of B-cell lymphoma. | ||
Environ Health (Wash) Network Toxicology and In Vivo Studies Reveal the Toxicity and Mechanisms of Tributyl Citrate Carried by Microplastics in Promoting Colitis-to-Tumorigenesis Transformation. |

