验证数据展示
经过测试的应用
| Positive WB detected in | human liver tissue, HEK-293 cells, human kidney tissue, Jurkat cells |
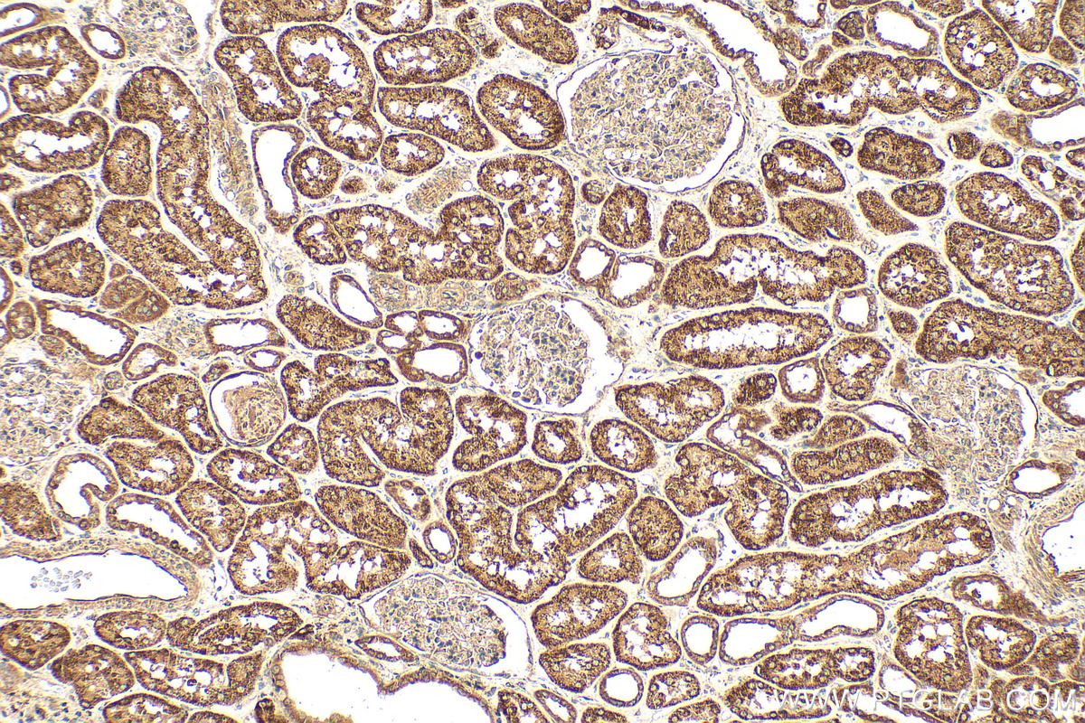
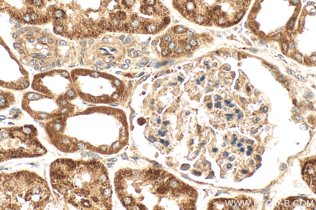
| Positive IHC detected in | human kidney tissue Note: suggested antigen retrieval with TE buffer pH 9.0; (*) Alternatively, antigen retrieval may be performed with citrate buffer pH 6.0 |
推荐稀释比
| 应用 | 推荐稀释比 |
|---|---|
| Western Blot (WB) | WB : 1:500-1:2000 |
| Immunohistochemistry (IHC) | IHC : 1:50-1:500 |
| It is recommended that this reagent should be titrated in each testing system to obtain optimal results. | |
| Sample-dependent, Check data in validation data gallery. | |
发表文章中的应用
| WB | See 6 publications below |
| IHC | See 1 publications below |
产品信息
12858-1-AP targets PHYH in WB, IHC, ELISA applications and shows reactivity with human, mouse, rat samples.
| 经测试应用 | WB, IHC, ELISA Application Description |
| 文献引用应用 | WB, IHC |
| 经测试反应性 | human, mouse, rat |
| 文献引用反应性 | mouse, rat, pig |
| 免疫原 |
CatNo: Ag3569 Product name: Recombinant human PHYH protein Source: e coli.-derived, PGEX-4T Tag: GST Domain: 1-338 aa of BC029512 Sequence: MEQLRAAARLQIVLGHLGRPSAGAVVAHPTSGTISSASFHPQQFQYTLDNNVLTLEQRKFYEENGFLVIKNLVPDADIQRFRNEFEKICRKEVKPLGLTVMRDVTISKSEYAPSEKMITKVQDFQEDKELFRYCTLPEILKYVECFTGPNIMAMHTMLINKPPDSGKKTSRHPLHQDLHYFPFRPSDLIVCAWTAMEHISRNNGCLVVLPGTHKGSLKPHDYPKWEGGVNKMFHGIQDYEENKARVHLVMEKGDTVFFHPLLIHGSGQNKTQGFRKAISCHFASADCHYIDVKGTSQENIEKEVVGIAHKFFGAENSVNLKDIWMFRARLVKGERTNL 种属同源性预测 |
| 宿主/亚型 | Rabbit / IgG |
| 抗体类别 | Polyclonal |
| 产品类型 | Antibody |
| 全称 | phytanoyl-CoA 2-hydroxylase |
| 别名 | EC:1.14.11.18, phytanoyl CoA 2 hydroxylase, Phytanoyl-CoA alpha-hydroxylase, Phytanoyl-CoA dioxygenase, peroxisomal |
| 计算分子量 | 39 kDa |
| 观测分子量 | 36 kDa, 70 kDa |
| GenBank蛋白编号 | BC029512 |
| 基因名称 | PHYH |
| Gene ID (NCBI) | 5264 |
| RRID | AB_2163745 |
| 偶联类型 | Unconjugated |
| 形式 | Liquid |
| 纯化方式 | Antigen affinity purification |
| UNIPROT ID | O14832 |
| 储存缓冲液 | PBS with 0.02% sodium azide and 50% glycerol, pH 7.3. |
| 储存条件 | Store at -20°C. Stable for one year after shipment. Aliquoting is unnecessary for -20oC storage. |
背景介绍
PHYH (Phytanoyl-CoA 2-hydroxylase), also known as Phytanic acid oxidase or Phytanoyl-CoA alpha-hydroxylase, is a peroxisomal enzyme which converts phytanoyl-CoA to 2-hydroxyphytanoyl-CoA. It catalyzes the first step in the alpha-oxidation of phytanic acid, a branched-chain fatty acid. Mutations in this gene can cause Refsum disease (RD) and deficient protein activity can cause Zellweger syndrome and rhizomelic chondrodysplasia punctata. This antibody (12858-1-AP) detects two bands: 36kd and 70kd. The 70kd band may probably be the dimeric form of PHYH.
实验方案
| Product Specific Protocols | |
|---|---|
| IHC protocol for PHYH antibody 12858-1-AP | Download protocol |
| WB protocol for PHYH antibody 12858-1-AP | Download protocol |
| Standard Protocols | |
|---|---|
| Click here to view our Standard Protocols |
发表文章
| Species | Application | Title |
|---|---|---|
PLoS Genet Tysnd1 deficiency in mice interferes with the peroxisomal localization of PTS2 enzymes, causing lipid metabolic abnormalities and male infertility. | ||
Oncotarget Proteomics and metabolomics analysis of hepatic mitochondrial metabolism in alcohol-preferring and non-preferring rats. | ||
Sci Rep Proteomics analysis reveals the effect of 1α,25(OH)2VD3-glycosides on development of early testes in piglets. | ||
J Ethnopharmacol Isobaric tags for relative and absolute quantitation (iTRAQ)-based proteomics for the investigation of the effect of Hugan Qingzhi on non-alcoholic fatty liver disease in rats. | ||
J Hepatocell Carcinoma Liver Regeneration-Related Genes of Nontumor Liver Tissues Predict the Prognosis of Patients with Hepatocellular Carcinoma | ||





