验证数据展示
经过测试的应用
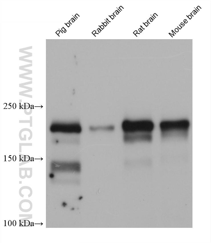
| Positive WB detected in | mouse brain tissue, HEK-293 cells, pig brain tissue, rat brain tissue, rabbit brain tissue |
推荐稀释比
| 应用 | 推荐稀释比 |
|---|---|
| Western Blot (WB) | WB : 1:1000-1:6000 |
| It is recommended that this reagent should be titrated in each testing system to obtain optimal results. | |
| Sample-dependent, Check data in validation data gallery. | |
发表文章中的应用
| WB | See 3 publications below |
产品信息
67640-1-Ig targets PHLPP1 in WB, ELISA applications and shows reactivity with human, mouse, rat, pig, rabbit samples.
| 经测试应用 | WB, ELISA Application Description |
| 文献引用应用 | WB |
| 经测试反应性 | human, mouse, rat, pig, rabbit |
| 文献引用反应性 | human, mouse, pig |
| 免疫原 |
CatNo: Ag18982 Product name: Recombinant human PHLPP protein Source: e coli.-derived, PET28a Tag: 6*His Domain: 1068-1204 aa of BC126277 Sequence: QQHLLQVPAEASDEGIVISANEDEPGLPRKADFSAVGTIGRRRANGSVAPQERSHNVIEVATDAPLRKPGGYFAAPAQPDPDDQFIIPPELEEEVKEIMKHHQEQQQQQQPPPPPQLQPQLPRHYQLDQLPDYYDTP 种属同源性预测 |
| 宿主/亚型 | Mouse / IgG2b |
| 抗体类别 | Monoclonal |
| 产品类型 | Antibody |
| 全称 | PH domain and leucine rich repeat protein phosphatase |
| 别名 | PLEKHE1, 2E8E6, EC:3.1.3.16, hSCOP, KIAA0606 |
| 计算分子量 | 185 kDa, 134 kDa |
| 观测分子量 | 185 kDa |
| GenBank蛋白编号 | BC126277 |
| 基因名称 | PHLPP |
| Gene ID (NCBI) | 23239 |
| RRID | AB_2882840 |
| 偶联类型 | Unconjugated |
| 形式 | Liquid |
| 纯化方式 | Protein A purification |
| UNIPROT ID | O60346 |
| 储存缓冲液 | PBS with 0.02% sodium azide and 50% glycerol, pH 7.3. |
| 储存条件 | Store at -20°C. Stable for one year after shipment. Aliquoting is unnecessary for -20oC storage. |
背景介绍
PHLPP (PH domain leucine-rich-repeats protein phosphatase) belongs to a novel family of Ser/Thr protein phosphatases that consists of PHLPP1 and PHLPP2 isoforms. It has been shown that PHLPP negatively regulates multiple oncogenic pathways by directly dephosphorylating and inactivating key signaling molecules, including Akt, S6K, and RAF1. Observed MW of PHLPP1 beta is 185 kDa.
实验方案
| Product Specific Protocols | |
|---|---|
| WB protocol for PHLPP1 antibody 67640-1-Ig | Download protocol |
| Standard Protocols | |
|---|---|
| Click here to view our Standard Protocols |
发表文章
| Species | Application | Title |
|---|---|---|
Oxid Med Cell Longev MicroRNA-299a-5p Protects against Spinal Cord Injury through Activating AMPK Pathway. | ||
Pediatr Res Preterm birth alters the feeding-induced activation of Akt signaling in the muscle of neonatal piglets | ||
Cell Death Dis Direct conversion of human umbilical cord mesenchymal stem cells into retinal pigment epithelial cells for treatment of retinal degeneration |




