验证数据展示
经过测试的应用
| Positive WB detected in | HeLa cells, HEK-293 cells, MDA-MB-453s cells |
| Positive IP detected in | HEK-293 cells |
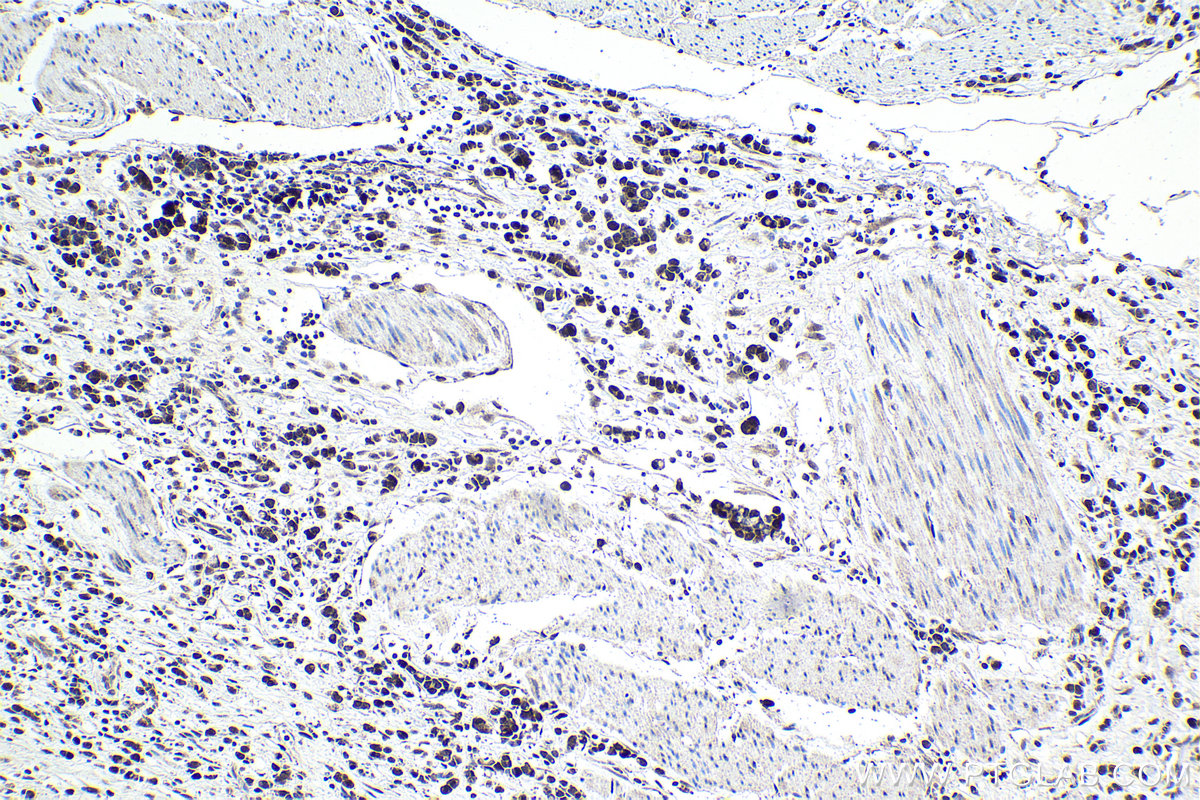
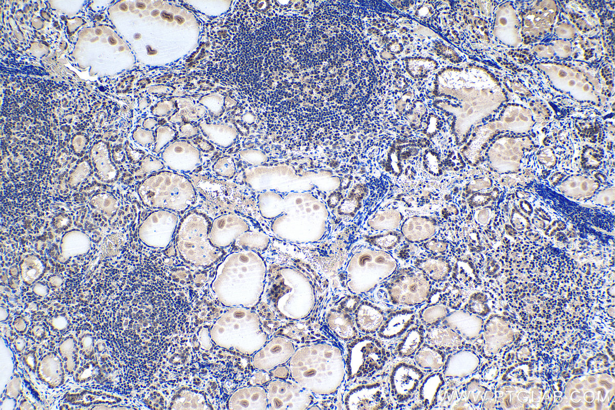
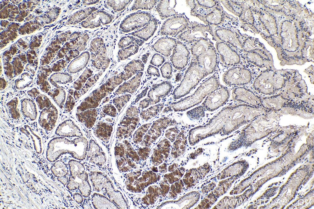
| Positive IHC detected in | human stomach cancer tissue, human thyroid cancer tissue Note: suggested antigen retrieval with TE buffer pH 9.0; (*) Alternatively, antigen retrieval may be performed with citrate buffer pH 6.0 |
推荐稀释比
| 应用 | 推荐稀释比 |
|---|---|
| Western Blot (WB) | WB : 1:500-1:2000 |
| Immunoprecipitation (IP) | IP : 0.5-4.0 ug for 1.0-3.0 mg of total protein lysate |
| Immunohistochemistry (IHC) | IHC : 1:500-1:2000 |
| It is recommended that this reagent should be titrated in each testing system to obtain optimal results. | |
| Sample-dependent, Check data in validation data gallery. | |
产品信息
24787-1-AP targets PHF14 in WB, IHC, IF, IP, CoIP, ChIP, ELISA applications and shows reactivity with human samples.
| 经测试应用 | WB, IHC, IP, ELISA Application Description |
| 文献引用应用 | WB, IHC, IF, CoIP, ChIP |
| 经测试反应性 | human |
| 文献引用反应性 | human, mouse |
| 免疫原 |
CatNo: Ag20542 Product name: Recombinant human PHF14 protein Source: e coli.-derived, PET28a Tag: 6*His Domain: 536-885 aa of BC152414 Sequence: RINARLQQYRAKAELARSTRPQAWVPREKLPRPLTSSASAIRKLMRKAELMGISTDIFPVDNSDTSSSVDGRRKHKQPALTADFVNYYFERNMRMIQIQENMAEQKNIKDKLENEQEKLHVEYNKLCESLEELQNLNGKLRSEGQGIWALLGRITGQKLNIPAILRAPKERKPSKKEGGTQKTSTLPAVLYSCGICKKNHDQHLLLLCDTCKLHYHLGCLDPPLTRMPRKTKNSYWQCSECDQAGSSDMEADMAMETLPDGTKRSRRQIKEPVKFVPQDVPPEPKKIPIRNTRTRGRKRSFVPEEEKHEERVPRERRQRQSVLQKKPKAEDLRTECATCKGTGDNENLVR 种属同源性预测 |
| 宿主/亚型 | Rabbit / IgG |
| 抗体类别 | Polyclonal |
| 产品类型 | Antibody |
| 全称 | PHD finger protein 14 |
| 别名 | KIAA0783, PHD finger protein 14 |
| 计算分子量 | 888 aa, 100 kDa |
| 观测分子量 | 140-150 kDa |
| GenBank蛋白编号 | BC152414 |
| 基因名称 | PHF14 |
| Gene ID (NCBI) | 9678 |
| RRID | AB_2879724 |
| 偶联类型 | Unconjugated |
| 形式 | Liquid |
| 纯化方式 | Antigen affinity purification |
| UNIPROT ID | O94880 |
| 储存缓冲液 | PBS with 0.02% sodium azide and 50% glycerol, pH 7.3. |
| 储存条件 | Store at -20°C. Stable for one year after shipment. Aliquoting is unnecessary for -20oC storage. |
背景介绍
PHF14 also named as KIAA0783 or PHD finger protein 14 is 888 amino acid protein, which contains 2 PHD-type znic fingers. PHF14 localizes in nucleus and may be involved in the regulation of transcription, DNA dependent. The function of PHF14 is still non-known.
实验方案
| Product Specific Protocols | |
|---|---|
| IHC protocol for PHF14 antibody 24787-1-AP | Download protocol |
| IP protocol for PHF14 antibody 24787-1-AP | Download protocol |
| WB protocol for PHF14 antibody 24787-1-AP | Download protocol |
| Standard Protocols | |
|---|---|
| Click here to view our Standard Protocols |
发表文章
| Species | Application | Title |
|---|---|---|
Nat Commun KMT2A associates with PHF5A-PHF14-HMG20A-RAI1 subcomplex in pancreatic cancer stem cells and epigenetically regulates their characteristics | ||
Elife Integrated analysis of H2A.Z isoforms function reveals a complex interplay in gene regulation. | ||
Biomed Res Int PHF14 Promotes Cell Proliferation and Migration through the AKT and ERK1/2 Pathways in Gastric Cancer Cells.
| ||
Nucleic Acids Res The high mobility group protein HMG20A cooperates with the histone reader PHF14 to modulate TGFβ and Hippo pathways
| ||
Cell Discov PHF14 enhances DNA methylation of SMAD7 gene to promote TGF-β-driven lung adenocarcinoma metastasis | ||
Mol Cancer Res SP4 facilitates esophageal squamous cell carcinoma progression by activating PHF14 transcription and Wnt/β-Catenin signaling
|







