验证数据展示
经过测试的应用
| Positive WB detected in | A431 cells, human liver tissue, human brain tissue, NIH/3T3 cells, HeLa cells, Raji cells, Jurkat cells, mouse brain tissue, mouse heart tissue, mouse kidney tissue, rat brain tissue, rat heart tissue, rat kidney tissue |
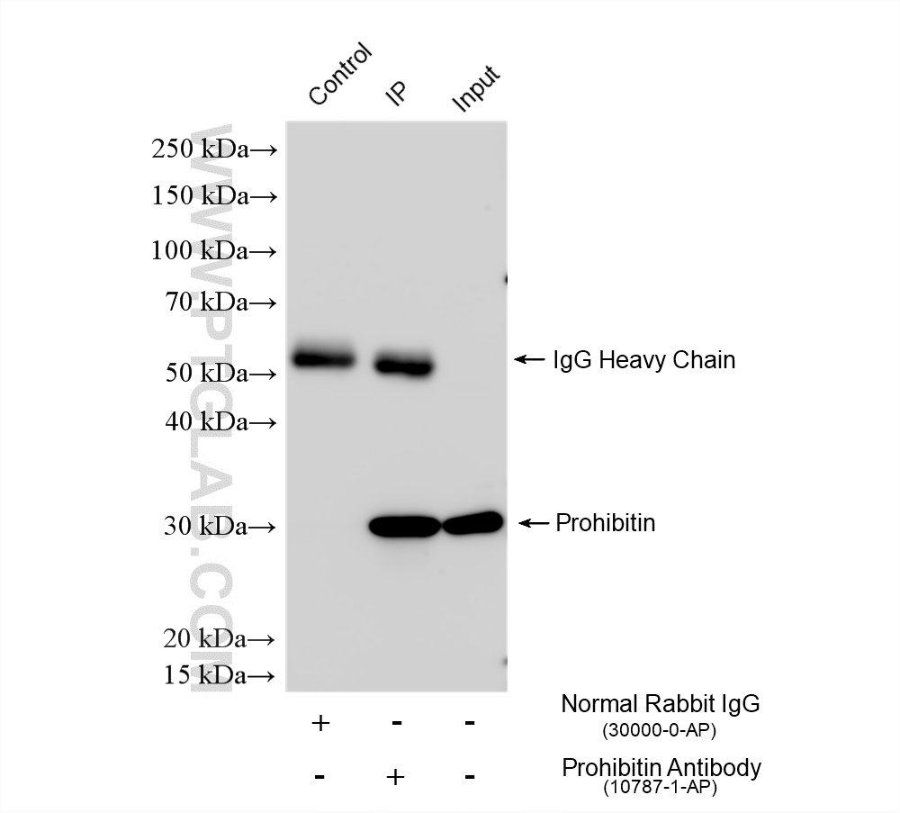
| Positive IP detected in | A431 cells |
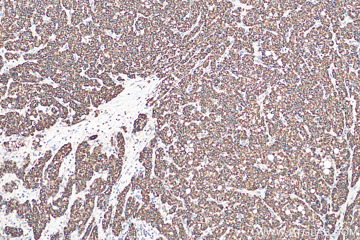
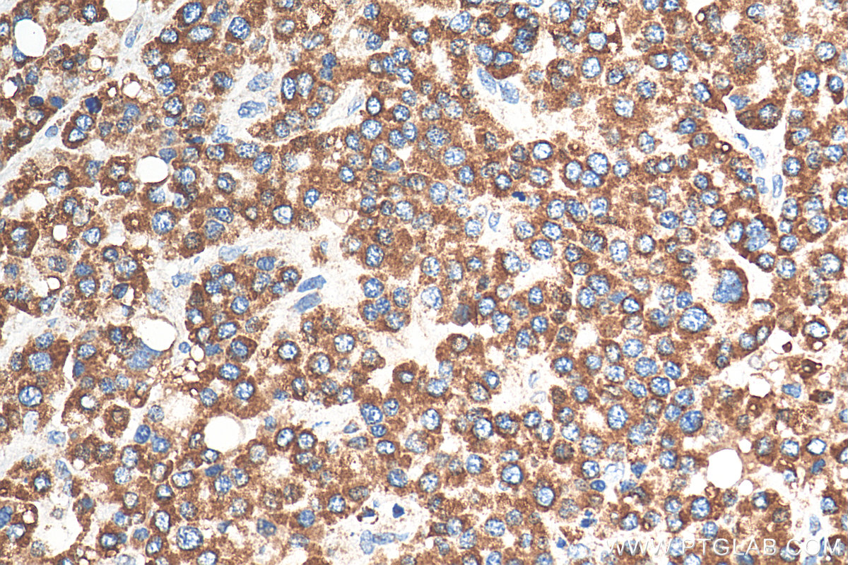
| Positive IHC detected in | human liver cancer tissue, human heart tissue Note: suggested antigen retrieval with TE buffer pH 9.0; (*) Alternatively, antigen retrieval may be performed with citrate buffer pH 6.0 |
| Positive IF/ICC detected in | HeLa cells, HepG2 cells |
推荐稀释比
| 应用 | 推荐稀释比 |
|---|---|
| Western Blot (WB) | WB : 1:2000-1:10000 |
| Immunoprecipitation (IP) | IP : 0.5-4.0 ug for 1.0-3.0 mg of total protein lysate |
| Immunohistochemistry (IHC) | IHC : 1:50-1:500 |
| Immunofluorescence (IF)/ICC | IF/ICC : 1:200-1:800 |
| It is recommended that this reagent should be titrated in each testing system to obtain optimal results. | |
| Sample-dependent, Check data in validation data gallery. | |
产品信息
10787-1-AP targets Prohibitin in WB, IHC, IF/ICC, IP, CoIP, ELISA applications and shows reactivity with human, mouse, rat samples.
| 经测试应用 | WB, IHC, IF/ICC, IP, ELISA Application Description |
| 文献引用应用 | WB, IHC, IF, IP, CoIP |
| 经测试反应性 | human, mouse, rat |
| 文献引用反应性 | human, mouse, rat |
| 免疫原 |
CatNo: Ag1240 Product name: Recombinant human Prohibitin protein Source: e coli.-derived, PGEX-4T Tag: GST Domain: 1-272 aa of BC013401 Sequence: MAAKVFESIGKFGLALAVAGGVVNSALYNVDAGHRAVIFDRFRGVQDIVVGEGTHFLIPWVQKPIIFDCRSRPRNVPVITGSKDLQNVNITLRILFRPVASQLPRIFTSIGEDYDERVLPSITTEILKSVVARFDAGELITQRELVSRQVSDDLTERAATFGLILDDVSLTHLTFGKEFTEAVEAKQVAQQEAERARFVVEKAEQQKKAAIISAEGDSKAAELIANSLATAGDGLIELRKLEAAEDIAYQLSRSRNITYLPAGQSVLLQLPQ 种属同源性预测 |
| 宿主/亚型 | Rabbit / IgG |
| 抗体类别 | Polyclonal |
| 产品类型 | Antibody |
| 全称 | prohibitin |
| 别名 | PHB, PHB1, Prohibitin 1 |
| 计算分子量 | 30 kDa |
| 观测分子量 | 30 kDa |
| GenBank蛋白编号 | BC013401 |
| 基因名称 | Prohibitin |
| Gene ID (NCBI) | 5245 |
| RRID | AB_2164476 |
| 偶联类型 | Unconjugated |
| 形式 | Liquid |
| 纯化方式 | Antigen affinity purification |
| UNIPROT ID | P35232 |
| 储存缓冲液 | PBS with 0.02% sodium azide and 50% glycerol, pH 7.3. |
| 储存条件 | Store at -20°C. Stable for one year after shipment. Aliquoting is unnecessary for -20oC storage. |
背景介绍
Prohibitin, also known as PHB, a member of the Band-7 family of proteins, is widely distributed in bacteria, plants, yeast, protozoa and mammals and is important in cell proliferation, differentiation and apoptosis (PMID: 20840588 ). This protein localizes to the inner membrane of mitochondria, where it acts as a chaperone protein, and is also found in the nucleus, where it negatively regulates transcription (PMID: 18558096). Recent study confirmed that the expression and distribution of PHB, which is a nuclear matrix protein, affect the apoptosis of HaCaT cells and its co-localization with specific gene products connected with cell apoptosis (PMID: 24402549).
实验方案
| Product Specific Protocols | |
|---|---|
| IF protocol for Prohibitin antibody 10787-1-AP | Download protocol |
| IHC protocol for Prohibitin antibody 10787-1-AP | Download protocol |
| IP protocol for Prohibitin antibody 10787-1-AP | Download protocol |
| WB protocol for Prohibitin antibody 10787-1-AP | Download protocol |
| Standard Protocols | |
|---|---|
| Click here to view our Standard Protocols |
发表文章
| Species | Application | Title |
|---|---|---|
Autophagy PHB2 (prohibitin 2) promotes PINK1-PRKN/Parkin-dependent mitophagy by the PARL-PGAM5-PINK1 axis. | ||
Cell Death Differ Mic60/Mitofilin determines MICOS assembly essential for mitochondrial dynamics and mtDNA nucleoid organization. | ||
Hum Mol Genet Disease mutations in Rab7 result in unregulated nucleotide exchange and inappropriate activation. | ||
Cell Mol Gastroenterol Hepatol DJ-1 deficiency in hepatocytes improves liver ischemia-reperfusion injury by enhancing mitophagy. | ||
Elife Defining the interactome of the human mitochondrial ribosome identifies SMIM4 and TMEM223 as respiratory chain assembly factors. |













