验证数据展示
产品信息
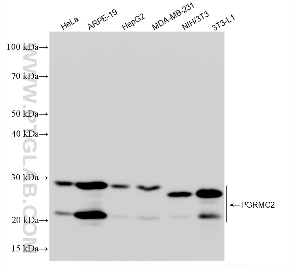
86835-1-PBS targets PGRMC2 in WB, IHC, IF/ICC, Indirect ELISA applications and shows reactivity with human, mouse samples.
| 经测试应用 | WB, IHC, IF/ICC, Indirect ELISA Application Description |
| 经测试反应性 | human, mouse |
| 免疫原 |
CatNo: Ag20077 Product name: Recombinant human PGRMC2 protein Source: e coli.-derived, PET28a Tag: 6*His Domain: 55-145 aa of BC016692 Sequence: LLNVALVALVLLGAYRLWVRWGRRGLGAGAGAGEESPATSLPRMKKRDFSLEQLRQYDGSRNPRILLAVNGKVFDVTKGSKFYGPAGPYGI 种属同源性预测 |
| 宿主/亚型 | Rabbit / IgG |
| 抗体类别 | Recombinant |
| 产品类型 | Antibody |
| 全称 | progesterone receptor membrane component 2 |
| 别名 | DG6, Membrane-associated progesterone receptor component 2, PMBP |
| 计算分子量 | 223 aa, 24 kDa |
| 观测分子量 | 24 kDa, 28 kDa |
| GenBank蛋白编号 | BC016692 |
| 基因名称 | PGRMC2 |
| Gene ID (NCBI) | 10424 |
| 偶联类型 | Unconjugated |
| 形式 | Liquid |
| 纯化方式 | Protein A purification |
| UNIPROT ID | O15173 |
| 储存缓冲液 | PBS only, pH 7.3. |
| 储存条件 | Store at -80°C. The product is shipped with ice packs. Upon receipt, store it immediately at -80°C |
背景介绍
Membrane-associated progesterone receptor component 2 (PGRMC2), also known as DG6 or PMBP, belongs to the cytochrome b5 family. This protein might play a role in cancer. The gene of PGRMC2 maps to chromosome 4q26, and encodes a 223-amino acid single-pass membrane protein with a cytochrome b5 heme-binding domain in its cytoplasmic domain. PGRMC2 has a calculated molecular weight of 24 kDa. The band of about 28 kDa detected by this antibody is unknown but may represent phosphorylated form of PGRMC2 (PMID: 28104494).



