验证数据展示
经过测试的应用
| Positive WB detected in | A549 cells, human testis tissue, HuH-7 cells, Raji cells, MOLT-4 cells, pig heart tissue, rat heart tissue |
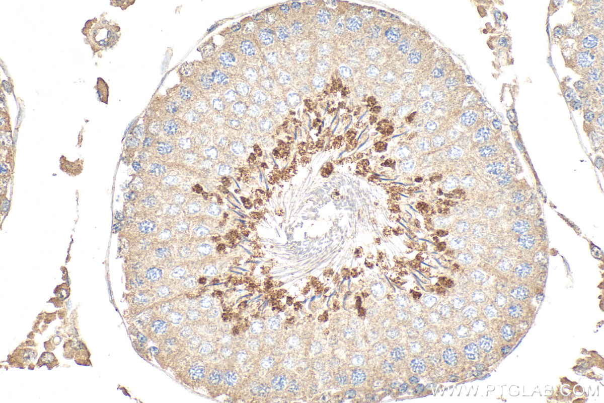
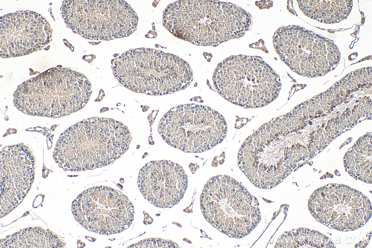
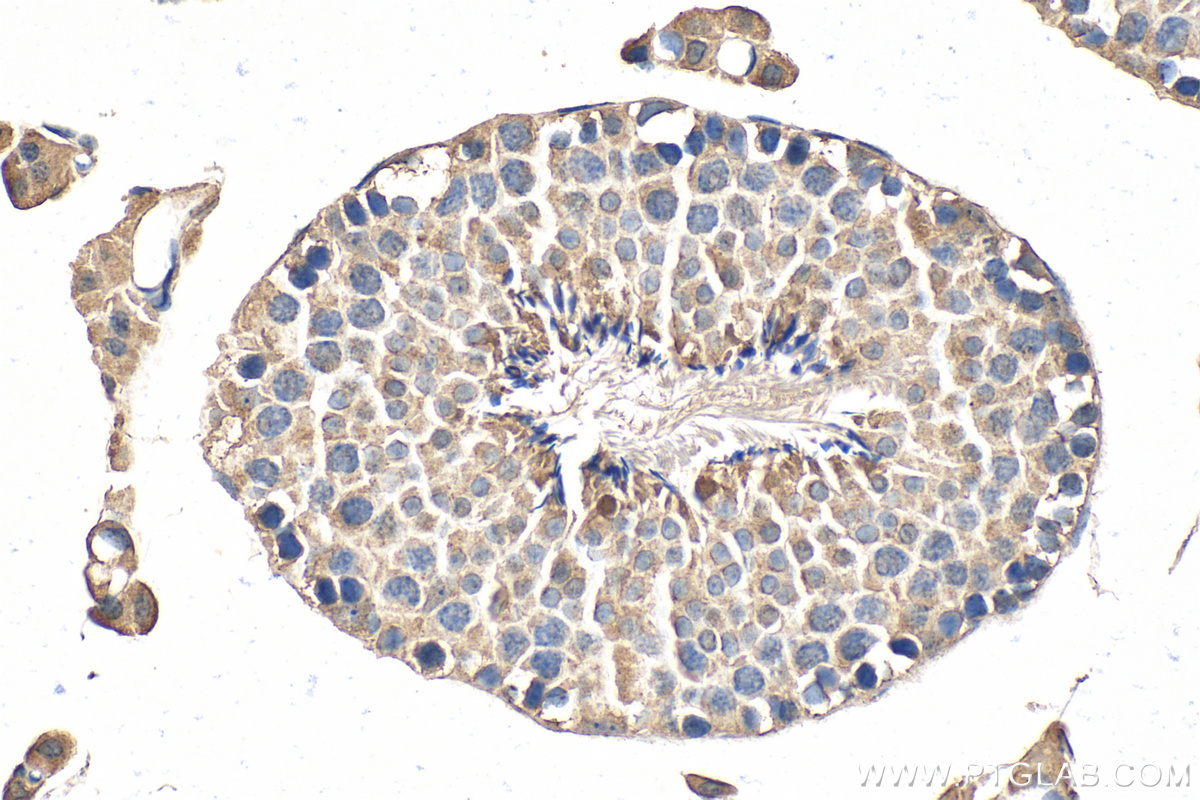
| Positive IHC detected in | rat testis tissue, mouse testis tissue Note: suggested antigen retrieval with TE buffer pH 9.0; (*) Alternatively, antigen retrieval may be performed with citrate buffer pH 6.0 |
| Positive IF-P detected in | mouse testis tissue |
| Positive FC (Intra) detected in | A549 cells |
推荐稀释比
| 应用 | 推荐稀释比 |
|---|---|
| Western Blot (WB) | WB : 1:2000-1:10000 |
| Immunohistochemistry (IHC) | IHC : 1:250-1:1000 |
| Immunofluorescence (IF)-P | IF-P : 1:250-1:1000 |
| Flow Cytometry (FC) (INTRA) | FC (INTRA) : 0.40 ug per 10^6 cells in a 100 µl suspension |
| It is recommended that this reagent should be titrated in each testing system to obtain optimal results. | |
| Sample-dependent, Check data in validation data gallery. | |
产品信息
68228-1-Ig targets PGK2 in WB, IHC, IF-P, FC (Intra), ELISA applications and shows reactivity with human, mouse, rat, pig samples.
| 经测试应用 | WB, IHC, IF-P, FC (Intra), ELISA Application Description |
| 经测试反应性 | human, mouse, rat, pig |
| 免疫原 |
CatNo: Ag20631 Product name: Recombinant human PGK2 protein Source: e coli.-derived, PET28a Tag: 6*His Domain: 242-360 aa of BC038843 Sequence: YTFLKVLNNMEIGASLFDEEGAKIVKDIMAKAQKNGVRITFPVDFVTGDKFDENAQVGKATVASGISPGWMGLDCGPESNKNHAQVVAQARLIVWNGPLGVFEWDAFAKGTKALMDEIV 种属同源性预测 |
| 宿主/亚型 | Mouse / IgG1 |
| 抗体类别 | Monoclonal |
| 产品类型 | Antibody |
| 全称 | phosphoglycerate kinase 2 |
| 别名 | 3D4F2, EC:2.7.2.3, PGKB, PGKPS |
| 计算分子量 | 417 aa, 45 kDa |
| 观测分子量 | 45 kDa |
| GenBank蛋白编号 | BC038843 |
| 基因名称 | PGK2 |
| Gene ID (NCBI) | 5232 |
| RRID | AB_2935316 |
| 偶联类型 | Unconjugated |
| 形式 | Liquid |
| 纯化方式 | Protein G purification |
| UNIPROT ID | P07205 |
| 储存缓冲液 | PBS with 0.02% sodium azide and 50% glycerol, pH 7.3. |
| 储存条件 | Store at -20°C. Stable for one year after shipment. Aliquoting is unnecessary for -20oC storage. |
背景介绍
PGK2, phosphoglycerate kinase 2, which belongs to the phosphoglycerate kinase superfamily. It catalyzes the first ATP-generating step in the central metabolic pathway of glycolysis, converting 1,3-bisphosphoglycerate and ADP to 3-phosphoglycerate and ATP.
实验方案
| Product Specific Protocols | |
|---|---|
| FC protocol for PGK2 antibody 68228-1-Ig | Download protocol |
| IF protocol for PGK2 antibody 68228-1-Ig | Download protocol |
| IHC protocol for PGK2 antibody 68228-1-Ig | Download protocol |
| WB protocol for PGK2 antibody 68228-1-Ig | Download protocol |
| Standard Protocols | |
|---|---|
| Click here to view our Standard Protocols |








