验证数据展示
经过测试的应用
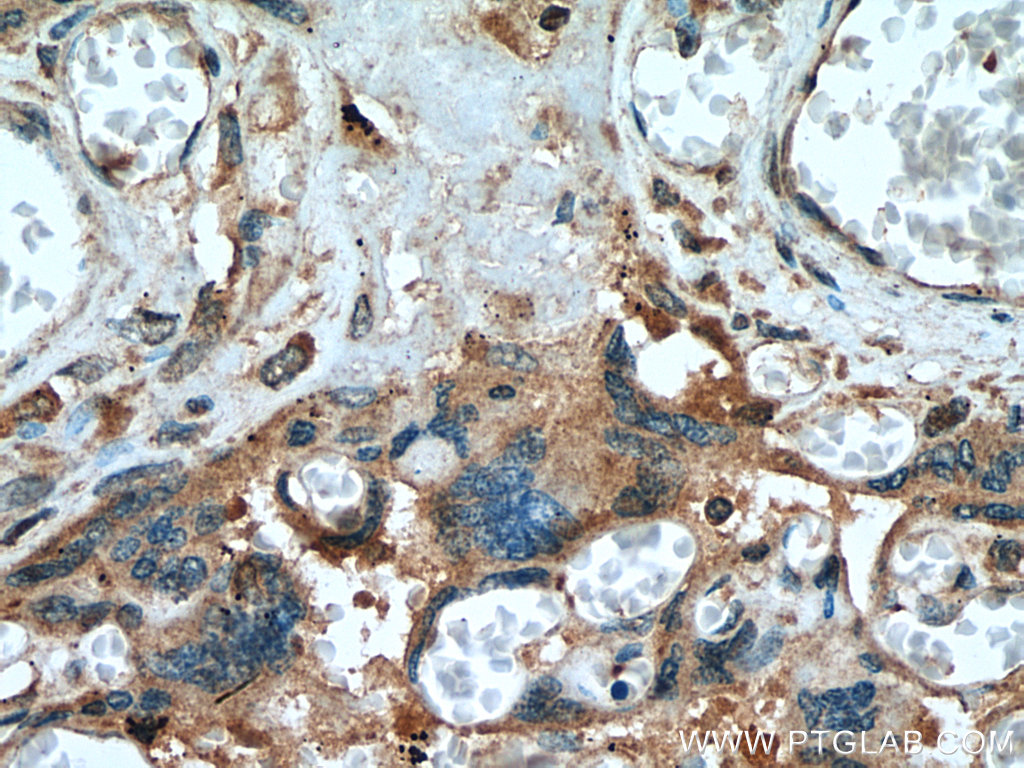
| Positive IHC detected in | human placenta tissue, human breast cancer tissue, human kidney tissue, human meningioma tissue, mouse kidney tissue Note: suggested antigen retrieval with TE buffer pH 9.0; (*) Alternatively, antigen retrieval may be performed with citrate buffer pH 6.0 |
推荐稀释比
| 应用 | 推荐稀释比 |
|---|---|
| Immunohistochemistry (IHC) | IHC : 1:200-1:800 |
| It is recommended that this reagent should be titrated in each testing system to obtain optimal results. | |
| Sample-dependent, Check data in validation data gallery. | |
产品信息
10642-1-AP targets PGF/PIGF in IHC, IF, ELISA applications and shows reactivity with human, mouse samples.
| 经测试应用 | IHC, ELISA Application Description |
| 文献引用应用 | IHC, IF |
| 经测试反应性 | human, mouse |
| 文献引用反应性 | human, mouse, rat |
| 免疫原 |
CatNo: Ag0969 Product name: Recombinant human PGF protein Source: e coli.-derived, PGEX-4T Tag: GST Domain: 1-170 aa of BC007789 Sequence: MPVMRLFPCFLQLLAGLALPAVPPQQWALSAGNGSSEVEVVPFQEVWGRSYCRALERLVDVVSEYPSEVEHMFSPSCVSLLRCTGCCGDENLHCVPVETANVTMQLLKIRSGDRPSYVELTFSQHVRCECRPLREKMKPERRRPKGRGKRRREKQRPTDCHLCGDAVPRR 种属同源性预测 |
| 宿主/亚型 | Rabbit / IgG |
| 抗体类别 | Polyclonal |
| 产品类型 | Antibody |
| 全称 | placental growth factor |
| 别名 | PGF, PGFL, PIGF, PLGF, Placenta growth factor |
| 计算分子量 | 25 kDa |
| 观测分子量 | 50 kDa |
| GenBank蛋白编号 | BC007789 |
| 基因名称 | PGF |
| Gene ID (NCBI) | 5228 |
| RRID | AB_2161061 |
| 偶联类型 | Unconjugated |
| 形式 | Liquid |
| 纯化方式 | Antigen affinity purification |
| UNIPROT ID | P49763 |
| 储存缓冲液 | PBS with 0.02% sodium azide and 50% glycerol, pH 7.3. |
| 储存条件 | Store at -20°C. Stable for one year after shipment. Aliquoting is unnecessary for -20oC storage. |
背景介绍
Placenta growth factor (PLGF) is also named as PGF and PGFL. PGF is a homodimeric glycoprotein, 46-50 kDa in size, belonging to the vascular endothelial growth factor (VEGF) sub-family. It plays an important role in pathological VEGF-driven angiogenesis. PLGF is expressed not only in placental cells but also in colon and mammary carcinomas. It acts as a primary inflammatory instigator of atherosclerotic plaque instability and thus may be useful as a risk-predicting biomarker in patients with acute coronary syndromes (ACS).
实验方案
| Product Specific Protocols | |
|---|---|
| IHC protocol for PGF/PIGF antibody 10642-1-AP | Download protocol |
| Standard Protocols | |
|---|---|
| Click here to view our Standard Protocols |
发表文章
| Species | Application | Title |
|---|---|---|
Brain. Global gene expression profiling of somatic motor neuron populations with different vulnerability identify molecules and pathways of degeneration and protection. | ||
Biomaterials Combination antitumor immunotherapy with VEGF and PIGF siRNA via systemic delivery of multi-functionalized nanoparticles to tumor-associated macrophages and breast cancer cells.
| ||
Biomed Pharmacother HIF-1α inhibitor YC-1 suppresses triple-negative breast cancer growth and angiogenesis by targeting PlGF/VEGFR1-induced macrophage polarization | ||
Cancers (Basel) Occurrence of Fibrotic Tumor Vessels in Grade I Meningiomas Is Strongly Associated with Vessel Density, Expression of VEGF, PlGF, IGFBP-3 and Tumor Recurrence. | ||
Diabetes Obes Metab Polarized macrophages promote gestational beta cell growth through extracellular signal-regulated kinase 5 signalling. | ||
Int J Mol Sci Alzheimer's Amyloid β Peptide Induces Angiogenesis in an Alzheimer's Disease Model Mouse through Placental Growth Factor and Angiopoietin 2 Expressions |









