验证数据展示
经过测试的应用
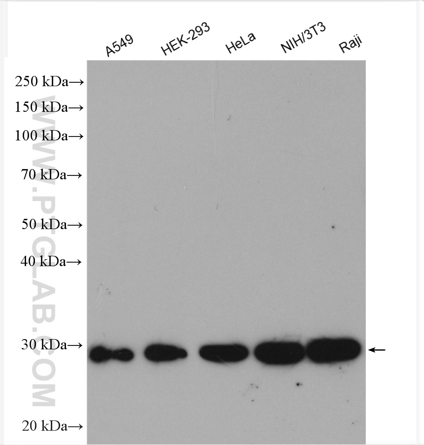
| Positive WB detected in | A549 cells, HEK-293 cells, NIH/3T3 cells, Raji cells, HeLa cells, HEK-293T cells, Jurkat cells, CHO cells |
| Positive IP detected in | HeLa cells |
| Positive IHC detected in | human normal colon, human brain tissue, human breast cancer tissue Note: suggested antigen retrieval with TE buffer pH 9.0; (*) Alternatively, antigen retrieval may be performed with citrate buffer pH 6.0 |
| Positive IF/ICC detected in | A549 cells |
推荐稀释比
| 应用 | 推荐稀释比 |
|---|---|
| Western Blot (WB) | WB : 1:2000-1:12000 |
| Immunoprecipitation (IP) | IP : 0.5-4.0 ug for 1.0-3.0 mg of total protein lysate |
| Immunohistochemistry (IHC) | IHC : 1:600-1:2400 |
| Immunofluorescence (IF)/ICC | IF/ICC : 1:200-1:800 |
| It is recommended that this reagent should be titrated in each testing system to obtain optimal results. | |
| Sample-dependent, Check data in validation data gallery. | |
产品信息
16126-1-AP targets PGAM1 in WB, IHC, IF/ICC, IP, CoIP, ELISA applications and shows reactivity with human, mouse, rat samples.
| 经测试应用 | WB, IHC, IF/ICC, IP, ELISA Application Description |
| 文献引用应用 | WB, IHC, IF, IP, CoIP |
| 经测试反应性 | human, mouse, rat |
| 文献引用反应性 | human, mouse |
| 免疫原 |
CatNo: Ag9110 Product name: Recombinant human PGAM1 protein Source: e coli.-derived, PGEX-4T Tag: GST Domain: 1-254 aa of BC011678 Sequence: MAAYKLVLIRHGESAWNLENRFSGWYDADLSPAGHEEAKRGGQALRDAGYEFDICFTSVQKRAIRTLWTVLDAIDQMWLPVVRTWRLNERHYGGLTGLNKAETAAKHGEAQVKIWRRSYDVPPPPMEPDHPFYSNISKDRRYADLTEDQLPSCESLKDTIARALPFWNEEIVPQIKEGKRVLIAAHGNSLRGIVKHLEGLSEEAIMELNLPTGIPIVYELDKNLKPIKPMQFLGDEETVRKAMEAVAAQGKAKK 种属同源性预测 |
| 宿主/亚型 | Rabbit / IgG |
| 抗体类别 | Polyclonal |
| 产品类型 | Antibody |
| 全称 | phosphoglycerate mutase 1 (brain) |
| 别名 | BPG-dependent PGAM 1, CDABP0006, EC:5.4.2.11, PGAM 1, PGAMA |
| 计算分子量 | 254 aa, 29 kDa |
| 观测分子量 | 29 kDa |
| GenBank蛋白编号 | BC011678 |
| 基因名称 | PGAM1 |
| Gene ID (NCBI) | 5223 |
| RRID | AB_2160786 |
| 偶联类型 | Unconjugated |
| 形式 | Liquid |
| 纯化方式 | Antigen affinity purification |
| UNIPROT ID | P18669 |
| 储存缓冲液 | PBS with 0.02% sodium azide and 50% glycerol, pH 7.3. |
| 储存条件 | Store at -20°C. Stable for one year after shipment. Aliquoting is unnecessary for -20oC storage. |
背景介绍
PGAM1(phosphoglycerate mutase 1) is also named as PGAMA,PGAM-B and belongs to the phosphoglycerate mutase family. Phosphoglycerate mutase is widely distributed in mammalian tissues where it catalyzes the reversible reaction of 3-phosphoglycerate (3-PGA) to 2-phosphoglycerate (2-PGA) in the glycolytic pathway. The homodimer PGAM1 is expressed mainly in liver, kidney, brain and overexpressed in a variety of human cancers, including breast carcinoma, colorectal cancer, lung cancer, prostate cancer, oral squamous cell carcinoma, esophageal squamous cell carcinomas and also associated with certain virus infection. PGAM1 could be developed as a useful diagnostic biomarker, as well as a potential therapeutic target for hepatocellular carcinoma (PMID:20403181). This antibody may also recognize PGAM2 and PGAM4 due to the high homology.
实验方案
| Product Specific Protocols | |
|---|---|
| IF protocol for PGAM1 antibody 16126-1-AP | Download protocol |
| IHC protocol for PGAM1 antibody 16126-1-AP | Download protocol |
| IP protocol for PGAM1 antibody 16126-1-AP | Download protocol |
| WB protocol for PGAM1 antibody 16126-1-AP | Download protocol |
| Standard Protocols | |
|---|---|
| Click here to view our Standard Protocols |
发表文章
| Species | Application | Title |
|---|---|---|
Mol Cell The long noncoding RNA glycoLINC assembles a lower glycolytic metabolon to promote glycolysis. | ||
Cell Res cMyc-mediated activation of serine biosynthesis pathway is critical for cancer progression under nutrient deprivation conditions. | ||
EMBO J Fatty acid synthesis is critical for stem cell pluripotency via promoting mitochondrial fission. | ||
Pharmacol Res RHBDF1 deficiency suppresses melanoma glycolysis and enhances efficacy of immunotherapy by facilitating glucose-6-phosphate isomerase degradation via TRIM32 | ||
Int J Biol Macromol Ubiquitin-conjugating enzyme E2S decreases the sensitivity of glioblastoma cells to temozolomide by upregulating PGAM1 via the interaction with OTUB2 |








