验证数据展示
经过测试的应用
| Positive WB detected in | HeLa cells, HEK-293 cells, HepG2 cells, human brain tissue, human skeletal muscle tissue, L02 cells, mouse heart tissue, rat heart tissue | 
| Positive IP detected in | mouse heart tissue, mouse liver tissue | 
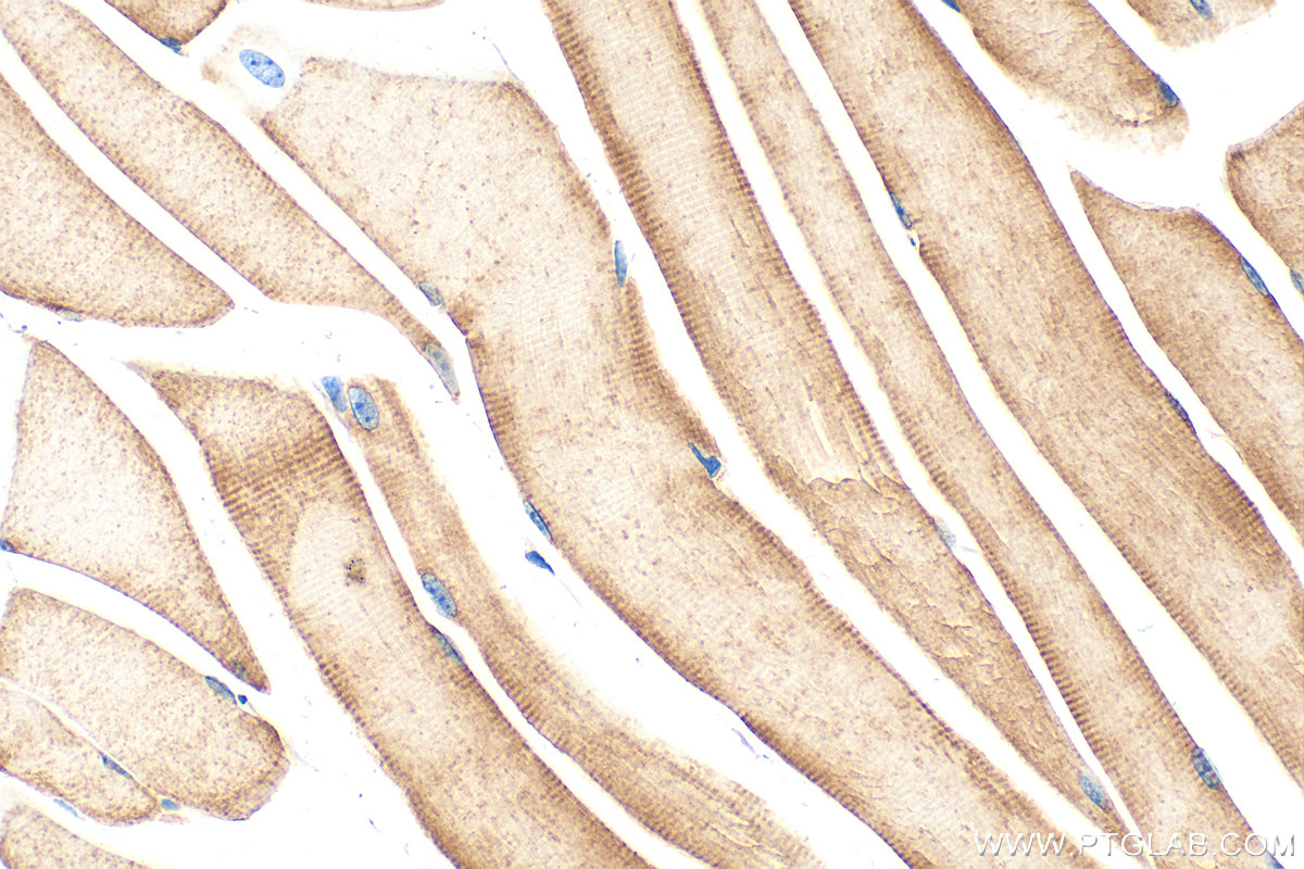
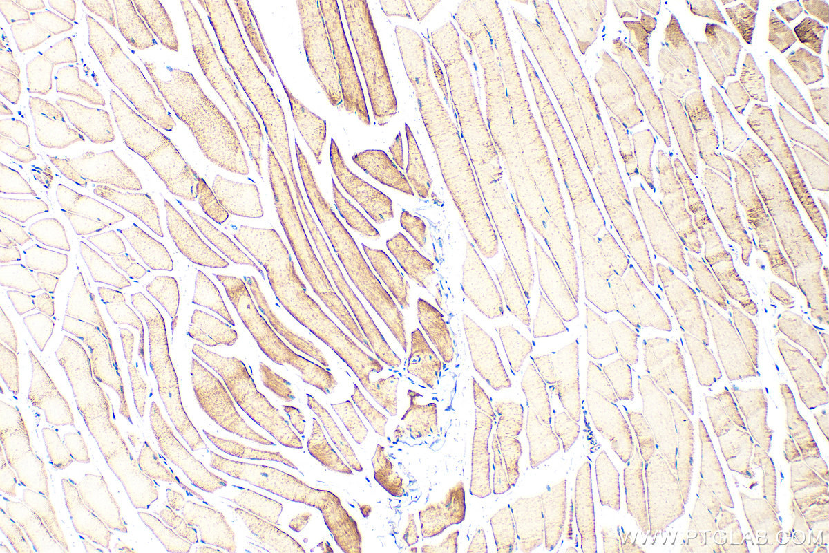
| Positive IHC detected in | mouse skeletal muscle tissue, human skeletal muscle tissue,  mouse brain tissue Note: suggested antigen retrieval with TE buffer pH 9.0; (*) Alternatively, antigen retrieval may be performed with citrate buffer pH 6.0 | 
| Positive IF/ICC detected in | HeLa cells | 
推荐稀释比
| 应用 | 推荐稀释比 | 
|---|---|
| Western Blot (WB) | WB : 1:2000-1:16000 | 
| Immunoprecipitation (IP) | IP : 0.5-4.0 ug for 1.0-3.0 mg of total protein lysate | 
| Immunohistochemistry (IHC) | IHC : 1:1000-1:4000 | 
| Immunofluorescence (IF)/ICC | IF/ICC : 1:200-1:800 | 
| It is recommended that this reagent should be titrated in each testing system to obtain optimal results. | |
| Sample-dependent, Check data in validation data gallery. | |
产品信息
55028-1-AP targets PFKM in WB, IHC, IF/ICC, IP, ELISA applications and shows reactivity with human, mouse, rat samples.
| 经测试应用 | WB, IHC, IF/ICC, IP, ELISA Application Description | 
| 文献引用应用 | WB, IHC, IF, IP | 
| 经测试反应性 | human, mouse, rat | 
| 文献引用反应性 | human, mouse, rat, pig, chicken, bovine, sheep | 
| 免疫原 | Peptide种属同源性预测 | 
| 宿主/亚型 | Rabbit / IgG | 
| 抗体类别 | Polyclonal | 
| 产品类型 | Antibody | 
| 全称 | phosphofructokinase, muscle | 
| 别名 | 6-phosphofructokinase type A, ATP-dependent 6-phosphofructokinase, muscle type, ATP-PFK, EC:2.7.1.11, PFK A | 
| 计算分子量 | 85 kDa | 
| 观测分子量 | 75-85 kDa | 
| GenBank蛋白编号 | NM_000289 | 
| 基因名称 | PFKM | 
| Gene ID (NCBI) | 5213 | 
| RRID | AB_10858390 | 
| 偶联类型 | Unconjugated | 
| 形式 | Liquid | 
| 纯化方式 | Antigen affinity purification | 
| UNIPROT ID | P08237 | 
| 储存缓冲液 | PBS with 0.02% sodium azide and 50% glycerol, pH 7.3. | 
| 储存条件 | Store at -20°C. Stable for one year after shipment. Aliquoting is unnecessary for -20oC storage. | 
背景介绍
PFKM, also named as GSD7, PFK-1, PFK-M and PFKX, belongs to the phosphofructokinase family and two domains subfamily. PFKM catalyzes the reaction: ATP + D-fructose 6-phosphate = ADP + D-fructose 1,6-bisphosphate. It is a key regulatory enzyme in glycolysis. Defects in PFKM are the cause of glycogen storage disease type 7 (GSD7). PFKM has three isoforms with molecular masses of 85, 82 and 93 kDa. The antibody is specific to PFKM.
实验方案
| Product Specific Protocols | |
|---|---|
| IF protocol for PFKM antibody 55028-1-AP | Download protocol | 
| IHC protocol for PFKM antibody 55028-1-AP | Download protocol | 
| IP protocol for PFKM antibody 55028-1-AP | Download protocol | 
| WB protocol for PFKM antibody 55028-1-AP | Download protocol | 
| Standard Protocols | |
|---|---|
| Click here to view our Standard Protocols | 
发表文章
| Species | Application | Title | 
|---|---|---|
| Cell Res Mannose antagonizes GSDME-mediated pyroptosis through AMPK activated by metabolite GlcNAc-6P | ||
| Nat Methods A large-scale targeted proteomics assay resource based on an in vitro human proteome. | ||
| Biomaterials Liver-targeted Nano-MitoPBN normalizes glucose metabolism by improving mitochondrial redox balance. | ||
| Cancer Res Disrupting Circadian Rhythm via the PER1-HK2 Axis Reverses Trastuzumab Resistance in Gastric Cancer. | 
















