验证数据展示
经过测试的应用
| Positive WB detected in | Human peripheral blood platelets tissue, mouse spleen tissue |
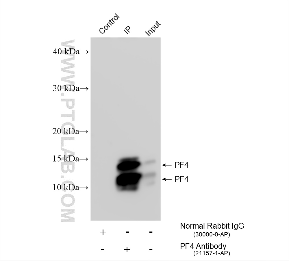
| Positive IP detected in | mouse serum |
| Positive IHC detected in | mouse spleen tissue Note: suggested antigen retrieval with TE buffer pH 9.0; (*) Alternatively, antigen retrieval may be performed with citrate buffer pH 6.0 |
| Positive IF/ICC detected in | HeLa cells |
推荐稀释比
| 应用 | 推荐稀释比 |
|---|---|
| Western Blot (WB) | WB : 1:2000-1:10000 |
| Immunoprecipitation (IP) | IP : 0.5-4.0 ug for 1.0-3.0 mg of total protein lysate |
| Immunohistochemistry (IHC) | IHC : 1:50-1:500 |
| Immunofluorescence (IF)/ICC | IF/ICC : 1:50-1:500 |
| It is recommended that this reagent should be titrated in each testing system to obtain optimal results. | |
| Sample-dependent, Check data in validation data gallery. | |
产品信息
21157-1-AP targets CXCL4/PF4 in WB, IHC, IF/ICC, IP, ELISA applications and shows reactivity with human, mouse, pig samples.
| 经测试应用 | WB, IHC, IF/ICC, IP, ELISA Application Description |
| 文献引用应用 | WB, IHC, IF |
| 经测试反应性 | human, mouse, pig |
| 文献引用反应性 | human, mouse, rat |
| 免疫原 |
CatNo: Ag12345 Product name: Recombinant human PF4 protein Source: e coli.-derived, PGEX-4T Tag: GST Domain: 1-101 aa of BC093965 Sequence: MSSAAGFCASRPGLLFLGLLLLPLVVAFASAEAEEDGDLQCLCVKTTSQVRPRHITSLEVIKAGPHCPTAQLIATLKNGRKICLDLQAPLYKKIIKKLLES 种属同源性预测 |
| 宿主/亚型 | Rabbit / IgG |
| 抗体类别 | Polyclonal |
| 产品类型 | Antibody |
| 全称 | platelet factor 4 |
| 别名 | CXCL4, PF4, SCYB4, C X C motif chemokine 4, C-X-C motif chemokine 4 |
| 计算分子量 | 101 aa, 11 kDa |
| 观测分子量 | 10 kDa |
| GenBank蛋白编号 | BC093965 |
| 基因名称 | PF4 |
| Gene ID (NCBI) | 5196 |
| RRID | AB_2878819 |
| 偶联类型 | Unconjugated |
| 形式 | Liquid |
| 纯化方式 | Antigen affinity purification |
| UNIPROT ID | P02776 |
| 储存缓冲液 | PBS with 0.02% sodium azide and 50% glycerol, pH 7.3. |
| 储存条件 | Store at -20°C. Stable for one year after shipment. Aliquoting is unnecessary for -20oC storage. |
背景介绍
The chemokine (C-X-C motif) ligand 4 (CXCL4) is also named as PF4 (Platelet factor-4) and SCYB4. The platelets, the most abundant source of CXCL4 in vivo, control profibrotic macrophage activation via CXCL4. (PMID: 36807143). Exogenous CXCL4 drove profibrotic activation of monocyte-derived dendritic cells in vitro (PMID: 33042127). Platelet factor-4 is a 70-amino acid protein that is released from the alpha-granules of activated platelets and binds with high affinity to heparin. Its major physiologic role appears to be neutralization of heparin-like molecules on the endothelial surface of blood vessels, thereby inhibiting local antithrombin III activity and promoting coagulation.
实验方案
| Product Specific Protocols | |
|---|---|
| IF protocol for CXCL4/PF4 antibody 21157-1-AP | Download protocol |
| IHC protocol for CXCL4/PF4 antibody 21157-1-AP | Download protocol |
| IP protocol for CXCL4/PF4 antibody 21157-1-AP | Download protocol |
| WB protocol for CXCL4/PF4 antibody 21157-1-AP | Download protocol |
| Standard Protocols | |
|---|---|
| Click here to view our Standard Protocols |
发表文章
| Species | Application | Title |
|---|---|---|
Int Immunopharmacol CXCL4:NLRP3-mediated pyroptosis product that regulates cardiac fibrosis | ||
Toxicol Appl Pharmacol Synergistic anticancer effects of ginsenoside CK and gefitinib against gefitinib-resistant NSCLC by regulating the balance of angiogenic factors through HIF-1α/VEGF | ||
J Virol Platelet factor 4-derived C15 peptide broadly inhibits enteroviruses by disrupting viral attachment | ||
Int J Mol Med Platelet activation stimulates macrophages to enhance ulcerative colitis through PF4/CXCR3 signaling | ||
Immun Inflamm Dis Mast Cell-Derived CXCL4: A Key Mediator of Ferroptosis and Cardiac Damage in Septic Cardiomyopathy. |




