验证数据展示
经过测试的应用
| Positive WB detected in | Jurkat cells, HeLa cells |
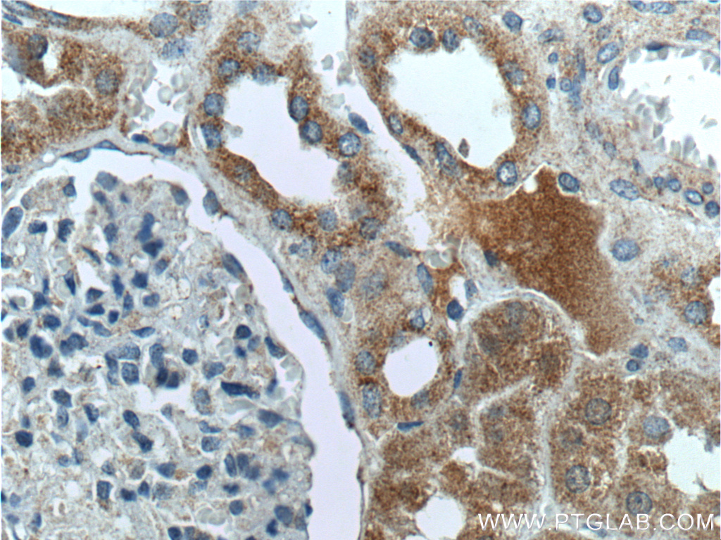
| Positive IHC detected in | human liver cancer tissue, human kidney tissue Note: suggested antigen retrieval with TE buffer pH 9.0; (*) Alternatively, antigen retrieval may be performed with citrate buffer pH 6.0 |
| Positive IF/ICC detected in | HepG2 cells, A431 cells, HeLa cells |
推荐稀释比
| 应用 | 推荐稀释比 |
|---|---|
| Western Blot (WB) | WB : 1:500-1:2000 |
| Immunohistochemistry (IHC) | IHC : 1:20-1:200 |
| Immunofluorescence (IF)/ICC | IF/ICC : 1:50-1:500 |
| It is recommended that this reagent should be titrated in each testing system to obtain optimal results. | |
| Sample-dependent, Check data in validation data gallery. | |
产品信息
13669-1-AP targets PEX1 in WB, IHC, IF/ICC, ELISA applications and shows reactivity with human, mouse, rat samples.
| 经测试应用 | WB, IHC, IF/ICC, ELISA Application Description |
| 文献引用应用 | WB, IHC, IF |
| 经测试反应性 | human, mouse, rat |
| 文献引用反应性 | human, mouse |
| 免疫原 |
CatNo: Ag4623 Product name: Recombinant human PEX1 protein Source: e coli.-derived, PGEX-4T Tag: GST Domain: 927-1283 aa of BC035575 Sequence: IRAQAAKPCILFFDEFESIAPRRGHDNTGVTDRVVNQLLTQLDGVEGLQGVYVLAATSRPDLIDPALLRPGRLDKCVYCPPPDQVSRLEILNVLSDSLPLADDVDLQHVASVTDSFTGADLKALLYNAQLEALHGMLLSSGLQDGSSSSDSDLSLSSMVFLNHSSGSDDSAGDGECGLDQSLVSLEMSEILPDESKFNMYRLYFGSSYESELGNGTSSDLSSQCLSAPSSMTQDLPGVPGKDQLFSQPPVLRTASQEGCQELTQEQRDQLRADISIIKGRYRSQSGEDESMNQPGPIKTRLAISQSHLMTALGHTRPSISEDDWKNFAELYESFQNPKRRKNQSGTMFRPGQKVTLA 种属同源性预测 |
| 宿主/亚型 | Rabbit / IgG |
| 抗体类别 | Polyclonal |
| 产品类型 | Antibody |
| 全称 | peroxisomal biogenesis factor 1 |
| 别名 | EC:3.6.4.-, Peroxin 1, Peroxin-1, Peroxisomal ATPase PEX1, Peroxisome biogenesis factor 1 |
| 计算分子量 | 1283 aa, 143 kDa |
| 观测分子量 | 143 kDa |
| GenBank蛋白编号 | BC035575 |
| 基因名称 | PEX1 |
| Gene ID (NCBI) | 5189 |
| RRID | AB_2162104 |
| 偶联类型 | Unconjugated |
| 形式 | Liquid |
| 纯化方式 | Antigen affinity purification |
| UNIPROT ID | O43933 |
| 储存缓冲液 | PBS with 0.02% sodium azide and 50% glycerol, pH 7.3. |
| 储存条件 | Store at -20°C. Stable for one year after shipment. Aliquoting is unnecessary for -20oC storage. |
背景介绍
Peroxin (PEX) proteins generate and maintain peroxisomes. The peroxin-1 (PEX1) ATPase facilitates the recycling of the peroxisome matrix protein receptor PEX5 and is the most commonly affected peroxin in human peroxisome biogenesis disorders (PMID: 28600347). PEX1 and PEX6 are the only members of the AAA family (for ATPases associated with diverse cellular) activities implicated in peroxisome biogenesis and are closely related to p97, which functions in endoplasmic reticulum-associated protein degradation to retrotranslocate endoplasmic reticulum proteins to the cytosol (PMID: 9695811; 11740563).
实验方案
| Product Specific Protocols | |
|---|---|
| IF protocol for PEX1 antibody 13669-1-AP | Download protocol |
| IHC protocol for PEX1 antibody 13669-1-AP | Download protocol |
| WB protocol for PEX1 antibody 13669-1-AP | Download protocol |
| Standard Protocols | |
|---|---|
| Click here to view our Standard Protocols |
发表文章
| Species | Application | Title |
|---|---|---|
Autophagy Export-deficient monoubiquitinated PEX5 triggers peroxisome removal in SV40 large T antigen-transformed mouse embryonic fibroblasts. | ||
EMBO J Insufficiency of ciliary cholesterol in hereditary Zellweger syndrome.
| ||
Autophagy AKT-mediated phosphorylation of ATG4B impairs mitochondrial activity and enhances the Warburg effect in hepatocellular carcinoma cells. | ||
Cell Commun Signal TFEB activation triggers pexophagy for functional adaptation during oxidative stress under calcium deficient-conditions | ||
Mol Ther Methods Clin Dev AAV-mediated PEX1 gene augmentation improves visual function in the PEX1-Gly844Asp mouse model for mild Zellweger spectrum disorder. |








