验证数据展示
经过测试的应用
| Positive WB detected in | HepG2 cells |
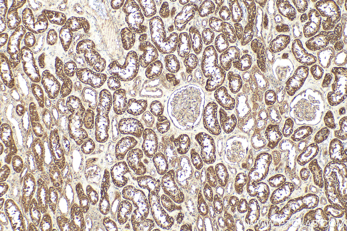
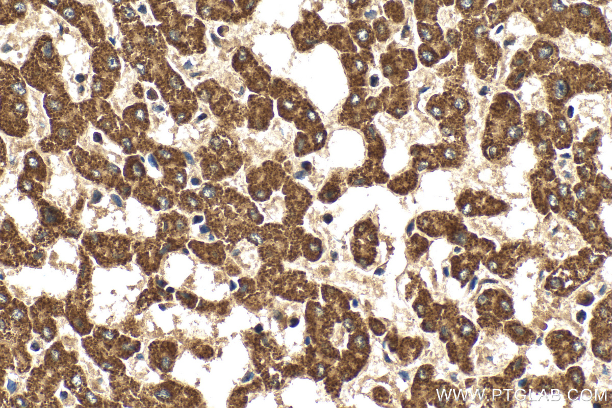
| Positive IHC detected in | human liver tissue, human kidney tissue Note: suggested antigen retrieval with TE buffer pH 9.0; (*) Alternatively, antigen retrieval may be performed with citrate buffer pH 6.0 |
推荐稀释比
| 应用 | 推荐稀释比 |
|---|---|
| Western Blot (WB) | WB : 1:500-1:3000 |
| Immunohistochemistry (IHC) | IHC : 1:50-1:500 |
| It is recommended that this reagent should be titrated in each testing system to obtain optimal results. | |
| Sample-dependent, Check data in validation data gallery. | |
产品信息
31066-1-AP targets PET117 in WB, IHC, ELISA applications and shows reactivity with human samples.
| 经测试应用 | WB, IHC, ELISA Application Description |
| 经测试反应性 | human |
| 免疫原 |
CatNo: Ag34525 Product name: Recombinant human PET117 protein Source: e coli.-derived, PGEX-4T Tag: GST Domain: 23-81 aa of NX_Q6UWS5 Sequence: VHVKQQWDQQRLRDGVIRDIERQIRKKENIRLLGEQIILTEQLEAEREKMLLAKGSQKS 种属同源性预测 |
| 宿主/亚型 | Rabbit / IgG |
| 抗体类别 | Polyclonal |
| 产品类型 | Antibody |
| 全称 | Protein PET117 homolog, mitochondrial |
| 别名 | CSRP2BP, MC4DN1, PET117 Homolog |
| 计算分子量 | 81aa, 9 kDa |
| 观测分子量 | 10kDa |
| GenBank蛋白编号 | NX_Q6UWS5 |
| 基因名称 | PET117 |
| Gene ID (NCBI) | 100303755 |
| RRID | AB_3669839 |
| 偶联类型 | Unconjugated |
| 形式 | Liquid |
| 纯化方式 | Antigen affinity Purification |
| UNIPROT ID | Q6UWS5 |
| 储存缓冲液 | PBS with 0.02% sodium azide and 50% glycerol, pH 7.3. |
| 储存条件 | Store at -20°C. Stable for one year after shipment. Aliquoting is unnecessary for -20oC storage. |
背景介绍
PET117 is a chaperone protein involved in complex IV assembly that plays a role in the regulation of mitochondria-encoded cytochrome c oxidase 1 (COX1) protein synthesis in human cells (PMID: 37247699).
实验方案
| Product Specific Protocols | |
|---|---|
| IHC protocol for PET117 antibody 31066-1-AP | Download protocol |
| WB protocol for PET117 antibody 31066-1-AP | Download protocol |
| Standard Protocols | |
|---|---|
| Click here to view our Standard Protocols |


