验证数据展示
经过测试的应用
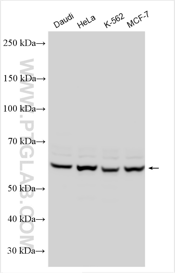
| Positive WB detected in | Daudi cells, MCF-7 cells, K-562 cells, HeLa cells |
| Positive IHC detected in | human pancreas tissue, human skeletal muscle tissue Note: suggested antigen retrieval with TE buffer pH 9.0; (*) Alternatively, antigen retrieval may be performed with citrate buffer pH 6.0 |
推荐稀释比
| 应用 | 推荐稀释比 |
|---|---|
| Western Blot (WB) | WB : 1:1000-1:5000 |
| Immunohistochemistry (IHC) | IHC : 1:20-1:200 |
| It is recommended that this reagent should be titrated in each testing system to obtain optimal results. | |
| Sample-dependent, Check data in validation data gallery. | |
发表文章中的应用
| WB | See 2 publications below |
产品信息
18793-1-AP targets Twinkle/PEO1 in WB, IHC, ELISA applications and shows reactivity with human samples.
| 经测试应用 | WB, IHC, ELISA Application Description |
| 文献引用应用 | WB |
| 经测试反应性 | human |
| 文献引用反应性 | human, mouse |
| 免疫原 |
CatNo: Ag6628 Product name: Recombinant human PEO1 protein Source: e coli.-derived, PET28a Tag: 6*His Domain: 154-506 aa of BC033762 Sequence: LVRPGDQQPRPLEALNGGFNLSRILRTALPAWHKSIVSFRQLREEVLGELSNVEQAAGLRWSRFPDLNRILKGHRKGELTVFTGPTGSGKTTFISEYALDLCSQGVNTLWGSFEISNVRLARVMLTQFAEGRLEDQLDKYDHWADRFEDLPLYFMTFHGQQSIRTVIDTMQHAVYVYDICHVIIDNLQFMMGHEQLSTDRIAAQDYIIGVFRKFATDNNCHVTLVIHPRKEDDDKELQTASIFGSAKASQEADNVLILQDRKLVTGPGKRYLQVSKNRFDGDVGVFPLEFNKNSLTFSIPPKNKARLKKIKDDTGPVAKKPSSGKKGATTQNSEICSGQAPTPDQPDTSKRSK 种属同源性预测 |
| 宿主/亚型 | Rabbit / IgG |
| 抗体类别 | Polyclonal |
| 产品类型 | Antibody |
| 全称 | chromosome 10 open reading frame 2 |
| 别名 | ATXN8, C10orf2, IOSCA, PEO, PEO1, PEOA3, SANDO, SCA8, Twinkle, Twinkle protein, mitochondrial, TWINL |
| 计算分子量 | 684 aa, 77 kDa |
| 观测分子量 | 60 kDa |
| GenBank蛋白编号 | BC033762 |
| 基因名称 | PEO1 |
| Gene ID (NCBI) | 56652 |
| RRID | AB_2066354 |
| 偶联类型 | Unconjugated |
| 形式 | Liquid |
| 纯化方式 | Antigen affinity purification |
| UNIPROT ID | Q96RR1 |
| 储存缓冲液 | PBS with 0.02% sodium azide and 50% glycerol, pH 7.3. |
| 储存条件 | Store at -20°C. Stable for one year after shipment. Aliquoting is unnecessary for -20oC storage. |
背景介绍
Twinkle, also named as Progressive external ophthalmoplegia 1 protein is a 684 amino acid protein, which involves in mitochondrial DNA (mtDNA) metabolism. The predicted full-length protein is 684 amino acids, with amolecular mass of 77 kD, whereas the splice variant mRNAencodes a 66-kD product of 582 amino acids, lacking residues 579-684 and terminating with four unique amino acids (PMID: 11431692).
实验方案
| Product Specific Protocols | |
|---|---|
| IHC protocol for Twinkle/PEO1 antibody 18793-1-AP | Download protocol |
| WB protocol for Twinkle/PEO1 antibody 18793-1-AP | Download protocol |
| Standard Protocols | |
|---|---|
| Click here to view our Standard Protocols |
发表文章
| Species | Application | Title |
|---|---|---|
Signal Transduct Target Ther Short-chain acyl-CoA dehydrogenase initiates mtDNA demethylation and leakage to fuel antitumor immunity in colorectal cancer. |




