验证数据展示
经过测试的应用
| Positive WB detected in | THP-1 cells |
| Positive IP detected in | SH-SY5Y cells |
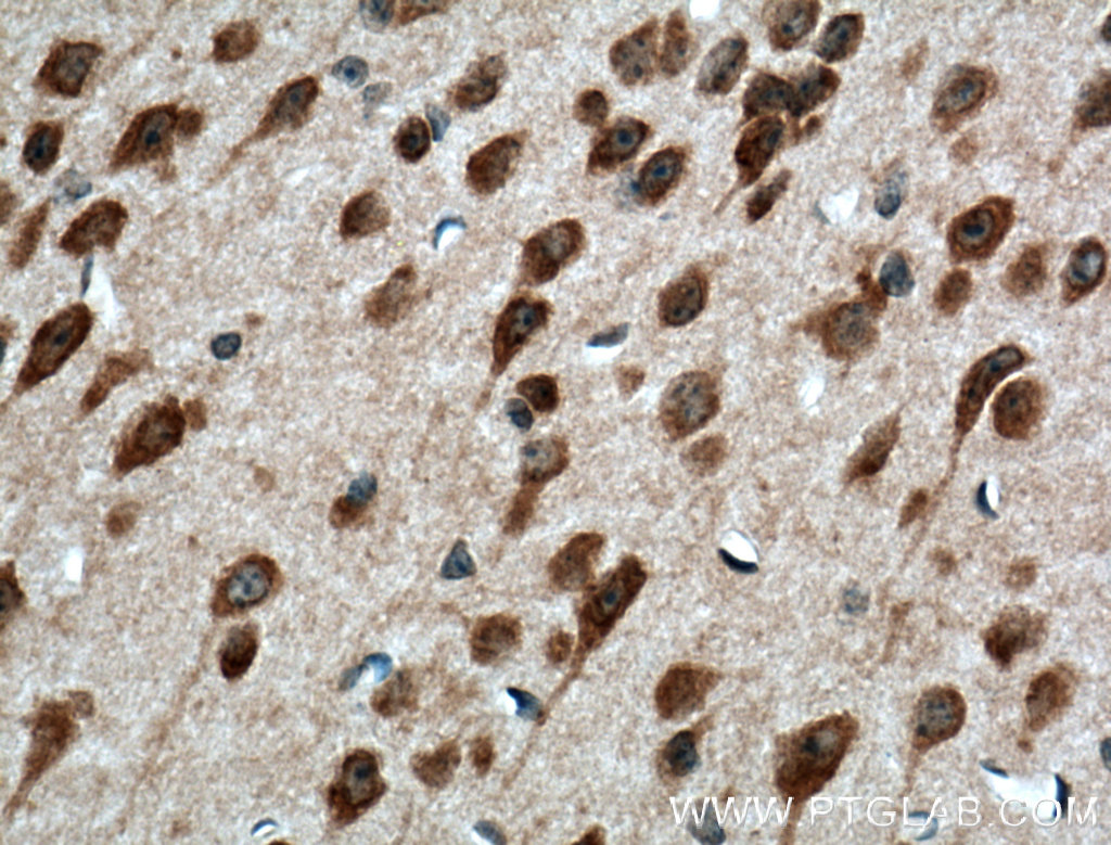
| Positive IHC detected in | mouse brain tissue Note: suggested antigen retrieval with TE buffer pH 9.0; (*) Alternatively, antigen retrieval may be performed with citrate buffer pH 6.0 |
推荐稀释比
| 应用 | 推荐稀释比 |
|---|---|
| Western Blot (WB) | WB : 1:500-1:1000 |
| Immunoprecipitation (IP) | IP : 0.5-4.0 ug for 1.0-3.0 mg of total protein lysate |
| Immunohistochemistry (IHC) | IHC : 1:50-1:500 |
| It is recommended that this reagent should be titrated in each testing system to obtain optimal results. | |
| Sample-dependent, Check data in validation data gallery. | |
发表文章中的应用
| KD/KO | See 2 publications below |
| WB | See 6 publications below |
| IHC | See 2 publications below |
产品信息
12053-1-AP targets PELI1 in WB, IHC, IP, ELISA applications and shows reactivity with human, mouse, rat samples.
| 经测试应用 | WB, IHC, IP, ELISA Application Description |
| 文献引用应用 | WB, IHC |
| 经测试反应性 | human, mouse, rat |
| 文献引用反应性 | human, mouse |
| 免疫原 |
CatNo: Ag2683 Product name: Recombinant human PELI1 protein Source: e coli.-derived, PGEX-4T Tag: GST Domain: 294-418 aa of BC011419 Sequence: MKRKDVVDEKQPWVYLNCGHVHGYHNWGNKEERDGKDRECPMCRSVGPYVPLWLGCEAGFYVDAGPPTHAFSPCGHVCSEKTTAYWSQIPLPHGTHTFHAACPFCAHQLAGEQGYIRLIFQGPLD 种属同源性预测 |
| 宿主/亚型 | Rabbit / IgG |
| 抗体类别 | Polyclonal |
| 产品类型 | Antibody |
| 全称 | pellino homolog 1 (Drosophila) |
| 别名 | E3 ubiquitin-protein ligase pellino homolog 1, EC:2.3.2.27, Pellino 1, Pellino-1, Pellino-related intracellular-signaling molecule |
| 计算分子量 | 418 aa, 46 kDa |
| 观测分子量 | 46-53 kDa |
| GenBank蛋白编号 | BC011419 |
| 基因名称 | PELI1 |
| Gene ID (NCBI) | 57162 |
| RRID | AB_2161180 |
| 偶联类型 | Unconjugated |
| 形式 | Liquid |
| 纯化方式 | Antigen affinity purification |
| UNIPROT ID | Q96FA3 |
| 储存缓冲液 | PBS with 0.02% sodium azide and 50% glycerol, pH 7.3. |
| 储存条件 | Store at -20°C. Stable for one year after shipment. Aliquoting is unnecessary for -20oC storage. |
背景介绍
PELI1 encodes pellino-1, an E3 ubiquitin-protein ligase pellino homolog. E3 ubiquitin ligase functions by catalyzing the covalent attachment of ubiquitin moieties onto substrate proteins. Pellino-1 is involved in the TLR and IL-1 signaling pathways via interaction with the complex containing IRAK kinases and TRAF6. Pellino-1 can mediate 'Lys-63'-linked polyubiquitination of IRAK1 allowing subsequent NF-kappa-B activation thus playing a role in cellular inflammation. This antibody may cross react with Pellino-3.
实验方案
| Product Specific Protocols | |
|---|---|
| IHC protocol for PELI1 antibody 12053-1-AP | Download protocol |
| IP protocol for PELI1 antibody 12053-1-AP | Download protocol |
| WB protocol for PELI1 antibody 12053-1-AP | Download protocol |
| Standard Protocols | |
|---|---|
| Click here to view our Standard Protocols |
发表文章
| Species | Application | Title |
|---|---|---|
PLoS Biol Peli1 impairs microglial Aβ phagocytosis through promoting C/EBPβ degradation.
| ||
J Transl Med MiR-30c-5p loss-induced PELI1 accumulation regulates cell proliferation and migration via activating PI3K/AKT pathway in papillary thyroid carcinoma. | ||
Autoimmunity MiR-153-3p induces immune dysregulation by inhibiting PELI1 expression in umbilical cord-derived mesenchymal stem cells in patients with systemic lupus erythematosus. | ||
Lab Invest Regulatory T Cells Overexpressing Peli1 Show Better Efficacy in Repairing Ovarian Endocrine Function in Autoimmune Premature Ovarian Insufficiency | ||
Cell Signal PELI1 overexpression contributes to pancreatic cancer progression through upregulating ubiquitination-mediated INPP5J degradation | ||
Cell Death Dis Cathepsin D promotes acute myeloid leukemia progression through stabilization of the anti-apoptotic proteins |



