验证数据展示
经过测试的应用
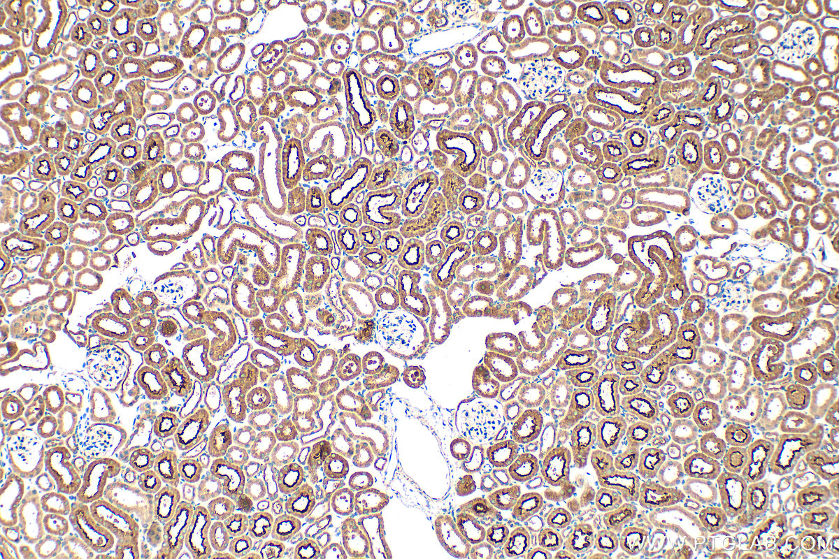
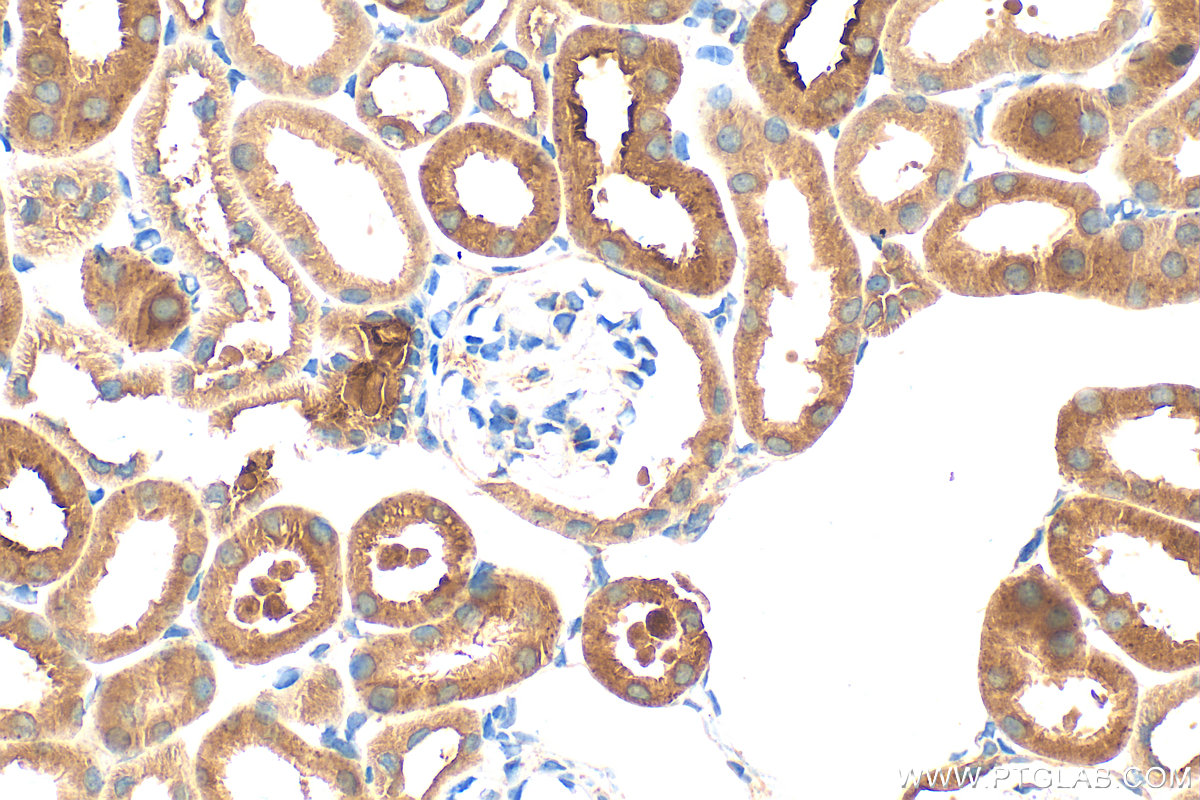
| Positive IHC detected in | mouse kidney tissue Note: suggested antigen retrieval with TE buffer pH 9.0; (*) Alternatively, antigen retrieval may be performed with citrate buffer pH 6.0 |
推荐稀释比
| 应用 | 推荐稀释比 |
|---|---|
| Immunohistochemistry (IHC) | IHC : 1:50-1:500 |
| It is recommended that this reagent should be titrated in each testing system to obtain optimal results. | |
| Sample-dependent, Check data in validation data gallery. | |
产品信息
26236-1-AP targets PDZD11 in IHC, ELISA applications and shows reactivity with human, mouse samples.
| 经测试应用 | IHC, ELISA Application Description |
| 经测试反应性 | human, mouse |
| 免疫原 |
CatNo: Ag23975 Product name: Recombinant human PDZD11 protein Source: e coli.-derived, PGEX-4T Tag: GST Domain: 69-140 aa of BC012996 Sequence: QLGIFISKVIPDSDAHRAGLQEGDQVLAVNDVDFQDIEHSKAVEILKTAREISMRVRFFPYNYHRQKERTVH 种属同源性预测 |
| 宿主/亚型 | Rabbit / IgG |
| 抗体类别 | Polyclonal |
| 产品类型 | Antibody |
| 全称 | PDZ domain containing 11 |
| 别名 | AIPP1, PDZ domain containing 11, PDZK11, PISP |
| GenBank蛋白编号 | BC012996 |
| 基因名称 | PDZD11 |
| Gene ID (NCBI) | 51248 |
| 偶联类型 | Unconjugated |
| 形式 | Liquid |
| 纯化方式 | Antigen affinity purification |
| UNIPROT ID | Q5EBL8 |
| 储存缓冲液 | PBS with 0.02% sodium azide and 50% glycerol, pH 7.3. |
| 储存条件 | Store at -20°C. Stable for one year after shipment. Aliquoting is unnecessary for -20oC storage. |
背景介绍
PDZ Domain Containing 11 (PDZD11), a small protein widely expressed in the body, is mainly comprised of a single PDZ domain. PDZD11 has often been reported to be associated with the adherens junction (AJ) of epithelial cells. PDZD11 binds nectins to the cadherin-and cytoskeleton-related protein complex by interacting with PLEKHA7 to stabilize the nexins at AJs and promotes efficient early assembly of junctions.(PMID: 38766598,PMID: 35714771)
实验方案
| Product Specific Protocols | |
|---|---|
| IHC protocol for PDZD11 antibody 26236-1-AP | Download protocol |
| Standard Protocols | |
|---|---|
| Click here to view our Standard Protocols |

