验证数据展示
经过测试的应用
| Positive WB detected in | human heart tissue, HeLa cells, mouse skeletal muscle tissue, NCI-H1299 cells, rat heart tissue | 
| Positive IP detected in | mouse skeletal muscle tissue | 
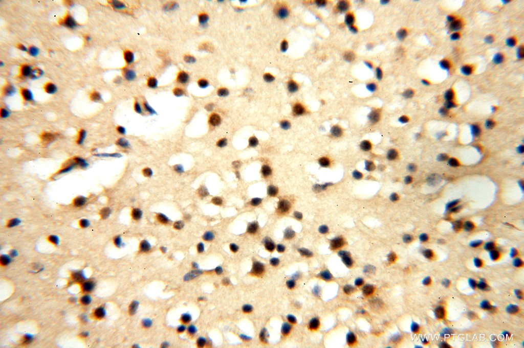
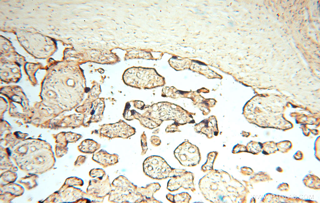
| Positive IHC detected in | mouse brain tissue, human brain tissue,  human testis tissue,  human placenta tissue,  human kidney tissue,  human heart tissue,  human liver tissue,  human skin tissue Note: suggested antigen retrieval with TE buffer pH 9.0; (*) Alternatively, antigen retrieval may be performed with citrate buffer pH 6.0 | 
推荐稀释比
| 应用 | 推荐稀释比 | 
|---|---|
| Western Blot (WB) | WB : 1:500-1:2400 | 
| Immunoprecipitation (IP) | IP : 0.5-4.0 ug for 1.0-3.0 mg of total protein lysate | 
| Immunohistochemistry (IHC) | IHC : 1:100-1:600 | 
| It is recommended that this reagent should be titrated in each testing system to obtain optimal results. | |
| Sample-dependent, Check data in validation data gallery. | |
产品信息
15647-1-AP targets PDK2 in WB, IHC, IF, IP, ELISA applications and shows reactivity with human, mouse, rat samples.
| 经测试应用 | WB, IP, IHC, ELISA Application Description | 
| 文献引用应用 | WB, IHC, IF | 
| 经测试反应性 | human, mouse, rat | 
| 文献引用反应性 | human, mouse | 
| 免疫原 | CatNo: Ag8183 Product name: Recombinant human PDK2 protein Source: e coli.-derived, PGEX-4T Tag: GST Domain: 135-407 aa of BC005811 Sequence: LEYKDTYGDDPVSNQNIQYFLDRFYLSRISIRMLINQHTLIFDGSTNPAHPKHIGSIDPNCNVSEVVKDAYDMAKLLCDKYYMASPDLEIQEINAANSKQPIHMVYVPSHLYHMLFELFKNAMRATVESHESSLILPPIKVMVALGEEDLSIKMSDRGGGVPLRKIERLFSYMYSTAPTPQPGTGGTPLAGFGYGLPISRLYAKYFQGDLQLFSMEGFGTDAVIYLKALSTDSVERLPVYNKSAWRHYQTIQEAGDWCVPSTEPKNTSTYRVS种属同源性预测 | 
| 宿主/亚型 | Rabbit / IgG | 
| 抗体类别 | Polyclonal | 
| 产品类型 | Antibody | 
| 全称 | pyruvate dehydrogenase kinase, isozyme 2 | 
| 别名 | PDHK2, PDK2 | 
| 计算分子量 | 407 aa, 46 kDa | 
| 观测分子量 | 46 kDa | 
| GenBank蛋白编号 | BC005811 | 
| 基因名称 | PDK2 | 
| Gene ID (NCBI) | 5164 | 
| RRID | AB_2268006 | 
| 偶联类型 | Unconjugated | 
| 形式 | Liquid | 
| 纯化方式 | Antigen affinity purification | 
| UNIPROT ID | Q15119 | 
| 储存缓冲液 | PBS with 0.02% sodium azide and 50% glycerol, pH 7.3. | 
| 储存条件 | Store at -20°C. Stable for one year after shipment. Aliquoting is unnecessary for -20oC storage. | 
背景介绍
PDK2([Pyruvate dehydrogenase (acetyl-transferring)] kinase isozyme 2, mitochondrial) is also named as PDHK2 and belongs to the PDK/BCKDK protein kinase family. PDK2 plays a key role in the regulation of glucose and fatty acid metabolism and homeostasis via phosphorylation of the pyruvate dehydrogenase subunits PDHA1 and PDHA2. PDK2 is also involved in the regulation of cell proliferation and in resistance to apoptosis under oxidative stress. This protein has 2 isoforms produced by alternative splicing.
实验方案
| Product Specific Protocols | |
|---|---|
| IHC protocol for PDK2 antibody 15647-1-AP | Download protocol | 
| IP protocol for PDK2 antibody 15647-1-AP | Download protocol | 
| WB protocol for PDK2 antibody 15647-1-AP | Download protocol | 
| Standard Protocols | |
|---|---|
| Click here to view our Standard Protocols | 
发表文章
| Species | Application | Title | 
|---|---|---|
| Sci Transl Med Loss of miR-31-5p drives hematopoietic stem cell malignant transformation and restoration eliminates leukemia stem cells in mice. | ||
| Hepatology Retinoic acid-related orphan receptor alpha reprograms glucose metabolism in glutamine-deficient hepatoma cells. | ||
| Oncogene Dichloroacetate restores colorectal cancer chemosensitivity through the p53/miR-149-3p/PDK2-mediated glucose metabolic pathway. | ||
| Mol Ther Oncolytics ROS/KRAS/AMPK Signaling Contributes to Gemcitabine-Induced Stem-like Cell Properties in Pancreatic Cancer. | ||
| Sci Rep Redox homeostasis protects mitochondria through accelerating ROS conversion to enhance hypoxia resistance in cancer cells. | ||
| Am J Physiol Lung Cell Mol Physiol Contribution of Fatty Acid Oxidation to the Pathogenesis of Pulmonary Hypertension. | 
























