验证数据展示
经过测试的应用
| Positive WB detected in | U2OS cells, HeLa cells, HEK-293 cells, Jurkat cells, RAW 264.7 cells, LNCaP cells, K-562 cells, HSC-T6 cells, PC-12 cells, NIH/3T3 cells |
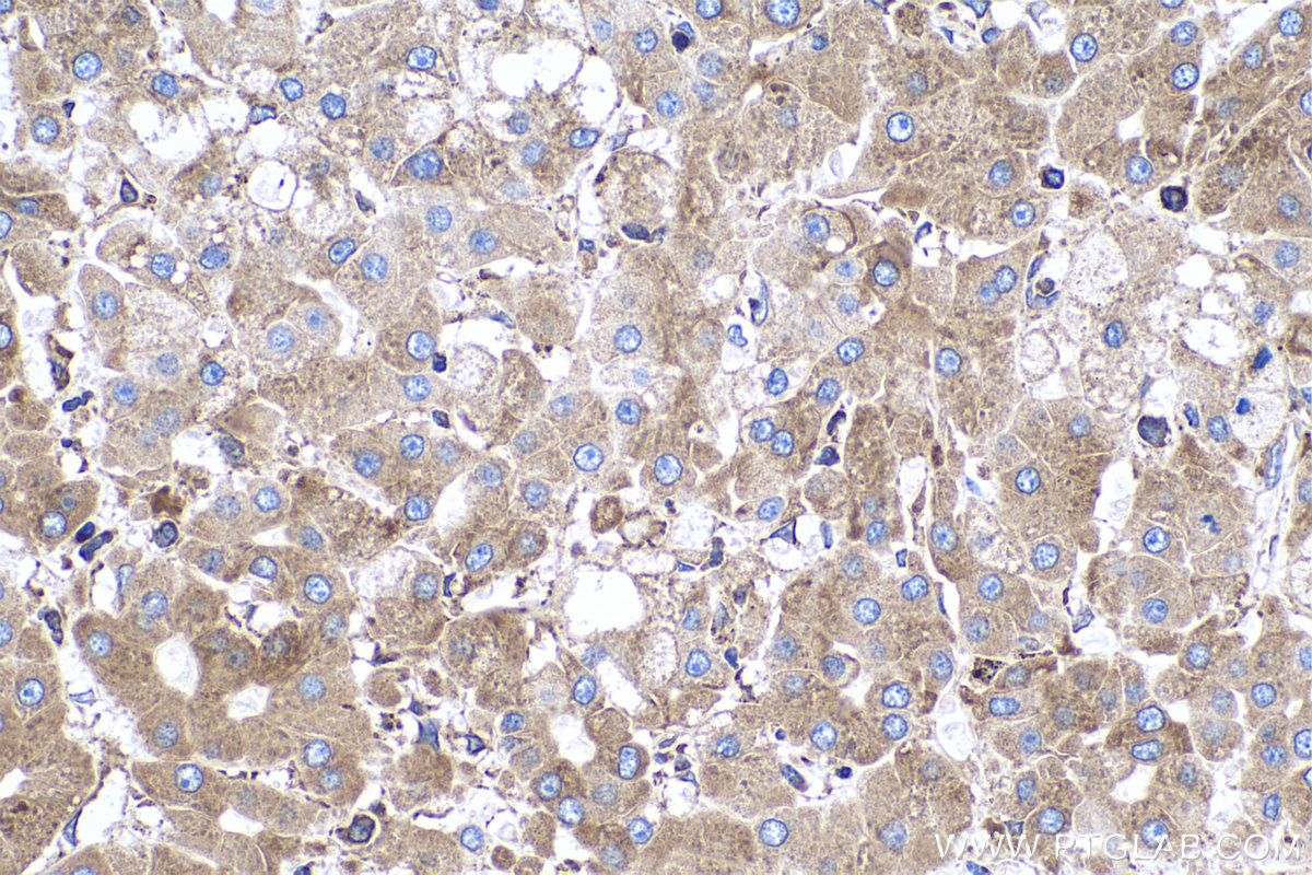
| Positive IHC detected in | human lung cancer tissue, human liver cancer tissue Note: suggested antigen retrieval with TE buffer pH 9.0; (*) Alternatively, antigen retrieval may be performed with citrate buffer pH 6.0 |
| Positive IF/ICC detected in | HepG2 cells |
推荐稀释比
| 应用 | 推荐稀释比 |
|---|---|
| Western Blot (WB) | WB : 1:2000-1:20000 |
| Immunohistochemistry (IHC) | IHC : 1:200-1:800 |
| Immunofluorescence (IF)/ICC | IF/ICC : 1:500-1:2000 |
| It is recommended that this reagent should be titrated in each testing system to obtain optimal results. | |
| Sample-dependent, Check data in validation data gallery. | |
发表文章中的应用
| KD/KO | See 1 publications below |
| CoIP | See 1 publications below |
产品信息
66423-1-Ig targets ERp57/ERp60 in WB, IHC, IF/ICC, CoIP, ELISA applications and shows reactivity with human, mouse, rat samples.
| 经测试应用 | WB, IHC, IF/ICC, ELISA Application Description |
| 文献引用应用 | CoIP |
| 经测试反应性 | human, mouse, rat |
| 文献引用反应性 | human |
| 免疫原 |
CatNo: Ag8741 Product name: Recombinant human PDIA3 protein Source: e coli.-derived, PGEX-4T Tag: GST Domain: 161-505 aa of BC014433 Sequence: DDSFSEAHSEFLKAASNLRDNYRFAHTNVESLVNEYDDNGEGIILFRPSHLTNKFEDKTVAYTEQKMTSGKIKKFIQENIFGICPHMTEDNKDLIQGKDLLIAYYDVDYEKNAKGSNYWRNRVMMVAKKFLDAGHKLNFAVASRKTFSHELSDFGLESTAGEIPVVAIRTAKGEKFVMQEEFSRDGKALERFLQDYFDGNLKRYLKSEPIPESNDGPVKVVVAENFDEIVNNENKDVLIEFYAPWCGHCKNLEPKYKELGEKLSKDPNIVIAKMDATANDVPSPYEVRGFPTIYFSPANKKLNPKKYEGGRELSDFISYLQREATNPPVIQEEKPKKKKKAQEDL 种属同源性预测 |
| 宿主/亚型 | Mouse / IgG1 |
| 抗体类别 | Monoclonal |
| 产品类型 | Antibody |
| 全称 | protein disulfide isomerase family A, member 3 |
| 别名 | ERp57, PDIA3, 3G4G7, 58 kDa glucose-regulated protein, Disulfide isomerase ER-60 |
| 计算分子量 | 505 aa, 57 kDa |
| 观测分子量 | 57 kDa, 60 kDa |
| GenBank蛋白编号 | BC014433 |
| 基因名称 | PDIA3 |
| Gene ID (NCBI) | 2923 |
| RRID | AB_2881795 |
| 偶联类型 | Unconjugated |
| 形式 | Liquid |
| 纯化方式 | Protein G purification |
| UNIPROT ID | P30101 |
| 储存缓冲液 | PBS with 0.02% sodium azide and 50% glycerol, pH 7.3. |
| 储存条件 | Store at -20°C. Stable for one year after shipment. Aliquoting is unnecessary for -20oC storage. |
背景介绍
PDIA3, also named as P58, ER60, ERp57, ERp60, ERp61, GRP57, GRP58 and PI-PLC, is a member of the PDI family, participates in the oxidation, reduction, and isomerization of disulfide bonds for correct folding of secretory proteins before modification and transport in the endoplasmic reticulum. It is associated with apoptosis or inhibition of cancer cell growth. PDIA3 was once thought to be a phospholipase; however, it has been demonstrated that this protein actually has protein disulfide isomerase activity. It is thought that complexes of lectins and PDIA3 mediate protein folding by promoting formation of disulfide bonds in their glycoprotein substrates.
实验方案
| Product Specific Protocols | |
|---|---|
| IF protocol for ERp57/ERp60 antibody 66423-1-Ig | Download protocol |
| IHC protocol for ERp57/ERp60 antibody 66423-1-Ig | Download protocol |
| WB protocol for ERp57/ERp60 antibody 66423-1-Ig | Download protocol |
| Standard Protocols | |
|---|---|
| Click here to view our Standard Protocols |









