验证数据展示
产品信息
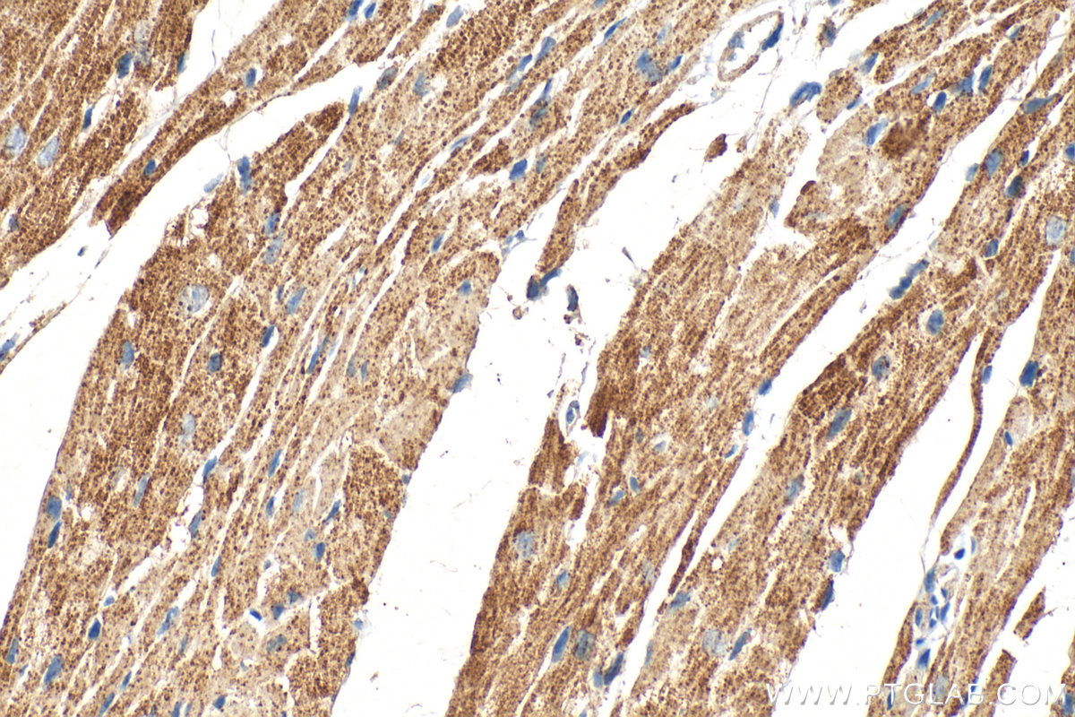
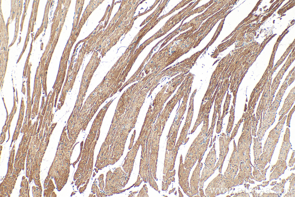
68238-1-PBS targets PDHB in WB, IHC, IF/ICC, Indirect ELISA applications and shows reactivity with human, mouse, rat, pig, rabbit samples.
| 经测试应用 | WB, IHC, IF/ICC, Indirect ELISA Application Description |
| 经测试反应性 | human, mouse, rat, pig, rabbit |
| 免疫原 |
CatNo: Ag6857 Product name: Recombinant human PDHB protein Source: e coli.-derived, PET28a Tag: 6*His Domain: 1-359 aa of BC000439 Sequence: MAAVSGLVRRPLREVSGLLKRRFHWTAPAALQVTVRDAINQGMDEELERDEKVFLLGEEVAQYDGAYKVSRGLWKKYGDKRIIDTPISEMGFAGIAVGAAMAGLRPICEFMTFNFSMQAIDQVINSAAKTYYMSGGLQPVPIVFRGPNGASAGVAAQHSQCFAAWYGHCPGLKVVSPWNSEDAKGLIKSAIRDNNPVVVLENELMYGVPFEFPPEAQSKDFLIPIGKAKIERQGTHITVVSHSRPVGHCLEAAAVLSKEGVECEVINMRTIRPMDMETIEASVMKTNHLVTVEGGWPQFGVGAEICARIMEGPAFNFLDAPAVRVTGADVPMPYAKILEDNSIPQVKDIIFAIKKTLNI 种属同源性预测 |
| 宿主/亚型 | Mouse / IgG1 |
| 抗体类别 | Monoclonal |
| 产品类型 | Antibody |
| 全称 | pyruvate dehydrogenase (lipoamide) beta |
| 别名 | 2A7C10, EC:1.2.4.1, PDHE1B, PDHE1-B, PHE1B |
| 计算分子量 | 39 kDa |
| 观测分子量 | 34 kDa |
| GenBank蛋白编号 | BC000439 |
| 基因名称 | PDHB |
| Gene ID (NCBI) | 5162 |
| RRID | AB_2935325 |
| 偶联类型 | Unconjugated |
| 形式 | Liquid |
| 纯化方式 | Protein G purification |
| UNIPROT ID | P11177 |
| 储存缓冲液 | PBS only, pH 7.3. |
| 储存条件 | Store at -80°C. The product is shipped with ice packs. Upon receipt, store it immediately at -80°C |
背景介绍
PDHB (Pyruvate dehydrogenase E1 component subunit beta, mitochondrial) is also named PHE1B. The enzyme, which is found in mitochondria, is one of the component enzymes of the pyruvate dehydrogenase multienzyme complex (PDH). It catalyzes the first reaction of an oxidative decarboxylation sequence converting pyruvate to acetyl-CoA and CO(2)(PMID:3422424). Defects in PDHB are the cause of pyruvate dehydrogenase E1-beta deficiency (PDHBD)(PMID:15138885).











