验证数据展示
经过测试的应用
| Positive WB detected in | HeLa cells, HEK293 cells, mouse brain tissue, rat brain tissue, rat kidney tissue |
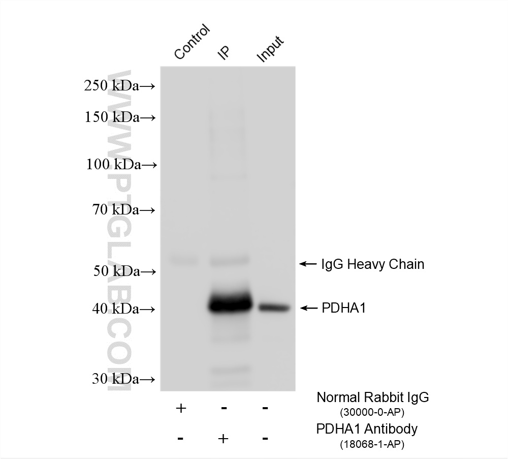
| Positive IP detected in | HeLa cells |
| Positive IHC detected in | human liver cancer tissue Note: suggested antigen retrieval with TE buffer pH 9.0; (*) Alternatively, antigen retrieval may be performed with citrate buffer pH 6.0 |
| Positive IF/ICC detected in | HepG2 cells |
推荐稀释比
| 应用 | 推荐稀释比 |
|---|---|
| Western Blot (WB) | WB : 1:5000-1:50000 |
| Immunoprecipitation (IP) | IP : 0.5-4.0 ug for 1.0-3.0 mg of total protein lysate |
| Immunohistochemistry (IHC) | IHC : 1:50-1:500 |
| Immunofluorescence (IF)/ICC | IF/ICC : 1:50-1:500 |
| It is recommended that this reagent should be titrated in each testing system to obtain optimal results. | |
| Sample-dependent, Check data in validation data gallery. | |
产品信息
18068-1-AP targets PDH E1 Alpha in WB, IHC, IF/ICC, IP, CoIP, ELISA applications and shows reactivity with human, mouse, rat samples.
| 经测试应用 | WB, IHC, IF/ICC, IP, ELISA Application Description |
| 文献引用应用 | WB, IHC, IF, IP, CoIP |
| 经测试反应性 | human, mouse, rat |
| 文献引用反应性 | human, mouse, rat, chicken, zebrafish |
| 免疫原 |
CatNo: Ag12701 Product name: Recombinant human PDHA1 protein Source: e coli.-derived, PGEX-4T Tag: GST Domain: 41-390 aa of BC002406 Sequence: CDLHRLEEGPPVTTVLTREDGLKYYRMMQTVRRMELKADQLYKQKIIRGFCHLCDGQEACCVGLEAGINPTDHLITAYRAHGFTFTRGLSVREILAELTGRKGGCAKGKGGSMHMYAKNFYGGNGIVGAQVPLGAGIALACKYNGKDEVCLTLYGDGAANQGQIFEAYNMAALWKLPCIFICENNRYGMGTSVERAAASTDYYKRGDFIPGLRVDGMDILCVREATRFAAAYCRSGKGPILMELQTYRYHGHSMSDPGVSYRTREEIQEVRSKSDPIMLLKDRMVNSNLASVEELKEIDVEVRKEIEDAAQFATADPEPPLEELGYHIYSSDPPFEVRGANQWIKFKSVS 种属同源性预测 |
| 宿主/亚型 | Rabbit / IgG |
| 抗体类别 | Polyclonal |
| 产品类型 | Antibody |
| 全称 | pyruvate dehydrogenase (lipoamide) alpha 1 |
| 别名 | PDH E1α, PDHA1, EC:1.2.4.1, PDHA, PDHA 1 |
| 计算分子量 | 43 kDa |
| 观测分子量 | 39-48 kDa |
| GenBank蛋白编号 | BC002406 |
| 基因名称 | PDHA1 |
| Gene ID (NCBI) | 5160 |
| RRID | AB_2162931 |
| 偶联类型 | Unconjugated |
| 形式 | Liquid |
| 纯化方式 | Antigen affinity purification |
| UNIPROT ID | P08559 |
| 储存缓冲液 | PBS with 0.02% sodium azide and 50% glycerol, pH 7.3. |
| 储存条件 | Store at -20°C. Stable for one year after shipment. Aliquoting is unnecessary for -20oC storage. |
背景介绍
PDHA1(Pyruvate dehydrogenase E1 component subunit alpha, somatic form, mitochondrial) is also named as PHE1A.It is one of the 3 enzymes of the pyruvate dehydrogenase complex which is a nuclear-encoded mitochondrial matrix multienzyme complex that provides the primary link between glycolysis and the tricarboxylic acid (TCA) cycle by catalyzing the irreversible conversion of pyruvate into acetyl-CoA(PMID:7853374).It has 4 isoforms produced by alternative splicing with the molecular mass of 39-48 kDa. Defects in PDHA1 are a cause of pyruvate dehydrogenase E1-alpha deficiency (PDHAD) and X-linked Leigh syndrome (X-LS).
实验方案
| Product Specific Protocols | |
|---|---|
| IF protocol for PDH E1 Alpha antibody 18068-1-AP | Download protocol |
| IHC protocol for PDH E1 Alpha antibody 18068-1-AP | Download protocol |
| IP protocol for PDH E1 Alpha antibody 18068-1-AP | Download protocol |
| WB protocol for PDH E1 Alpha antibody 18068-1-AP | Download protocol |
| Standard Protocols | |
|---|---|
| Click here to view our Standard Protocols |
发表文章
| Species | Application | Title |
|---|---|---|
Cell Res Hypoxia induces mitochondrial protein lactylation to limit oxidative phosphorylation | ||
Cell Metab Acetate enables metabolic fitness and cognitive performance during sleep disruption | ||
Nat Cell Biol RIP3 targets pyruvate dehydrogenase complex to increase aerobic respiration in TNF-induced necroptosis
| ||
Cell Stem Cell A small-molecule cocktail promotes mammalian cardiomyocyte proliferation and heart regeneration. | ||
Cell Stem Cell Mechano-oncogenic cytoskeletal remodeling drives leukemic transformation with mitochondrial vesicle-mediated STING activation |






