验证数据展示
经过测试的应用
| Positive WB detected in | mouse testis tissue, mouse spleen tissue, SH-SY5Y cells | 
| Positive IP detected in | mouse testis tissue | 
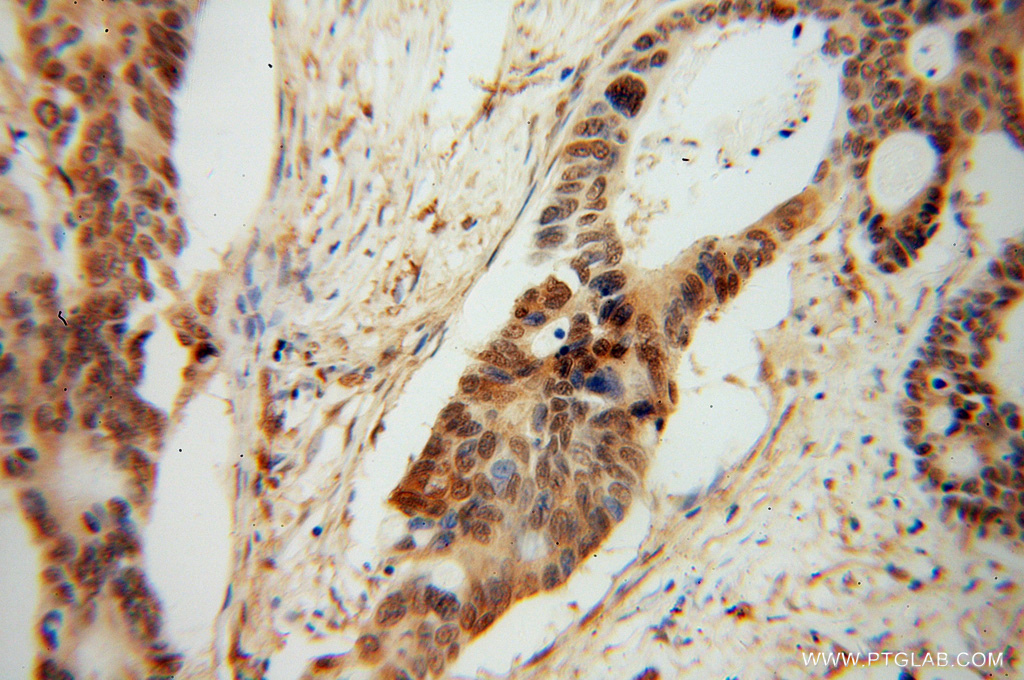
| Positive IHC detected in | human colon cancer tissue Note: suggested antigen retrieval with TE buffer pH 9.0; (*) Alternatively, antigen retrieval may be performed with citrate buffer pH 6.0  | 
推荐稀释比
| 应用 | 推荐稀释比 | 
|---|---|
| Western Blot (WB) | WB : 1:500-1:2400 | 
| Immunoprecipitation (IP) | IP : 0.5-4.0 ug for 1.0-3.0 mg of total protein lysate | 
| Immunohistochemistry (IHC) | IHC : 1:20-1:200 | 
| It is recommended that this reagent should be titrated in each testing system to obtain optimal results. | |
| Sample-dependent, Check data in validation data gallery. | |
发表文章中的应用
| WB | See 3 publications below | 
| IF | See 3 publications below | 
产品信息
13956-1-AP targets PDE8A in WB, IP, IF, IHC, ELISA applications and shows reactivity with human, mouse samples.
| 经测试应用 | WB, IP, IHC, ELISA Application Description | 
| 文献引用应用 | WB, IF | 
| 经测试反应性 | human, mouse | 
| 文献引用反应性 | human, mouse, pig | 
| 免疫原 | 
                                             CatNo: Ag5069 Product name: Recombinant human PDE8A protein Source: e coli.-derived, PGEX-4T Tag: GST Domain: 530-829 aa of BC060762 Sequence: FLHCSESTLRSWLQIIEANYHSSNPYHNSTHSADVLHATAYFLSKERIKETLDPIDEVAALIAATIHDVDHPGRTNSFLCNAGSELAILYNDTAVLESHHAALAFQLTTGDDKCNIFKNMERNDYRTLRQGIIDMVLATEMTKHFEHVNKFVNSINKPLATLEENGETDKNQEVINTMLRTPENRTLIKRMLIKCADVSNPCRPLQYCIEWAARISEEYFSQTDEEKQQGLPVVMPVFDRNTCSIPKSQISFIDYFITDMFDAWDAFVDLPDLMQHLDNNFKYWKGLDEMKLRNLRPPPE 种属同源性预测 | 
                                    
| 宿主/亚型 | Rabbit / IgG | 
| 抗体类别 | Polyclonal | 
| 产品类型 | Antibody | 
| 全称 | phosphodiesterase 8A | 
| 别名 | HsT19550, PDE8A, phosphodiesterase 8A | 
| 计算分子量 | 93 kDa | 
| 观测分子量 | 93 kDa, 88 kDa | 
| GenBank蛋白编号 | BC060762 | 
| 基因名称 | PDE8A | 
| Gene ID (NCBI) | 5151 | 
| RRID | AB_2161728 | 
| 偶联类型 | Unconjugated | 
| 形式 | Liquid | 
| 纯化方式 | Antigen affinity purification | 
| UNIPROT ID | O60658 | 
| 储存缓冲液 | PBS with 0.02% sodium azide and 50% glycerol, pH 7.3. | 
| 储存条件 | Store at -20°C. Stable for one year after shipment. Aliquoting is unnecessary for -20oC storage. | 
背景介绍
PDE8A(high affinity cAMP-specific and IBMX-insensitive 3',5'-cyclic phosphodiesterase 8A) belongs to the cyclic nucleotide phosphodiesterase family and PDE8 subfamily. PDE8A plays a critical role in the modulation of at least one compartment of cAMP and hence PKA activity during β-adrenergic receptor (βAR) activation in ventricular myocytes(PMID:20353794). The full length protein contains several sites for protein phosphorylation, N-glycosylation, N-myristoylation, and amidation. It has 5 isoforms produced by alternative splicing with the molecular mass of 93 kDa, 88 kDa, 51 kDa and the isoform 4 and 5 have the same molecular mass of 66 kDa.(PMID:11738832).
实验方案
| Product Specific Protocols | |
|---|---|
| IHC protocol for PDE8A antibody 13956-1-AP | Download protocol | 
| IP protocol for PDE8A antibody 13956-1-AP | Download protocol | 
| WB protocol for PDE8A antibody 13956-1-AP | Download protocol | 
| Standard Protocols | |
|---|---|
| Click here to view our Standard Protocols | 
发表文章
| Species | Application | Title | 
|---|---|---|
Mol Metab Inhibition of prolyl hydroxylases increases hepatic insulin and decreases glucagon sensitivity by an HIF-2α-dependent mechanism. | ||
Sci Rep Mitochondrial sub-cellular localization of cAMP-specific phosphodiesterase 8A in ovarian follicular cells. | ||
Reprod Fertil Dev Active 3'-5' cyclic nucleotide phosphodiesterases are present in detergent-resistant membranes of mural granulosa cells. | ||
Sci Rep Disruption of the pro-oncogenic c-RAF-PDE8A complex represents a differentiated approach to treating KRAS-c-RAF dependent PDAC | ||
Neurochem Res Phosphodiesterase 8 (PDE8): Distribution and Cellular Expression and Association with Alzheimer's Disease | 






