验证数据展示
经过测试的应用
| Positive WB detected in | mouse eye tissue, A549 cells, rat eye tissue |
| Positive IP detected in | Y79 cells |
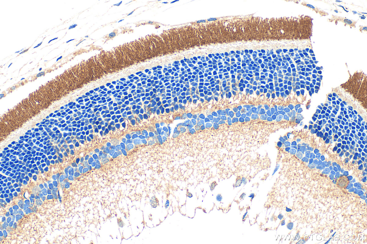
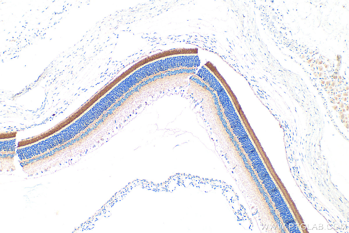
| Positive IHC detected in | rat eye tissue, mouse eye tissue Note: suggested antigen retrieval with TE buffer pH 9.0; (*) Alternatively, antigen retrieval may be performed with citrate buffer pH 6.0 |
| Positive IF-P detected in | rat eye tissue, mouse eye tissue |
推荐稀释比
| 应用 | 推荐稀释比 |
|---|---|
| Western Blot (WB) | WB : 1:2000-1:12000 |
| Immunoprecipitation (IP) | IP : 0.5-4.0 ug for 1.0-3.0 mg of total protein lysate |
| Immunohistochemistry (IHC) | IHC : 1:300-1:1200 |
| Immunofluorescence (IF)-P | IF-P : 1:50-1:500 |
| It is recommended that this reagent should be titrated in each testing system to obtain optimal results. | |
| Sample-dependent, Check data in validation data gallery. | |
产品信息
22063-1-AP targets PDE6B in WB, IHC, IF-P, IP, ELISA applications and shows reactivity with human, mouse, rat samples.
| 经测试应用 | WB, IHC, IF-P, IP, ELISA Application Description |
| 文献引用应用 | WB, IHC, IF |
| 经测试反应性 | human, mouse, rat |
| 文献引用反应性 | human, mouse, zebrafish |
| 免疫原 |
CatNo: Ag17139 Product name: Recombinant human PDE6B protein Source: e coli.-derived, PGEX-4T Tag: GST Domain: 1-88 aa of BC000249 Sequence: MSLSEEQARSFLDQNPDFARQYFGKKLSPENVAAACEDGCPPDCDSLRDLCQVEESTALLELVQDMQESINMERVVFKVLRRLCTLLQ 种属同源性预测 |
| 宿主/亚型 | Rabbit / IgG |
| 抗体类别 | Polyclonal |
| 产品类型 | Antibody |
| 全称 | phosphodiesterase 6B, cGMP-specific, rod, beta |
| 别名 | EC:3.1.4.35, GMP PDE beta, GMP-PDE beta, PDEB, Rod cGMP-specific 3',5'-cyclic phosphodiesterase subunit beta |
| 计算分子量 | 854 aa, 98 kDa |
| 观测分子量 | 98 kDa |
| GenBank蛋白编号 | BC000249 |
| 基因名称 | PDE6B |
| Gene ID (NCBI) | 5158 |
| RRID | AB_2619668 |
| 偶联类型 | Unconjugated |
| 形式 | Liquid |
| 纯化方式 | Antigen affinity purification |
| UNIPROT ID | P35913 |
| 储存缓冲液 | PBS with 0.02% sodium azide and 50% glycerol, pH 7.3. |
| 储存条件 | Store at -20°C. Stable for one year after shipment. Aliquoting is unnecessary for -20oC storage. |
背景介绍
PDE6 is a cGMP-specific PDE family and presents multicomponent enzyme complexes. The rod PDE6 enzyme is comprised of two catalytic subunits (PDE6A and PDE6B) and it is expressed in human lungs (PMID:20979602). PDE6B(Rod cGMP-specific 3',5'-cyclic phosphodiesterase subunit beta) is also named as PDEB and belongs to the cyclic nucleotide phosphodiesterase family. PDE6B also has a C-terminal CAAX motif for posttranslational processing involving lipidation, proteolysis, and carboxymethylation (PMID:8394243). Defects in PDE6B are the cause of retinitis pigmentosa type 40 (RP40)(PMID:22334370) and congenital stationary night blindness autosomal dominant type 2 (CSNBAD2) (PMID:8075643).
实验方案
| Product Specific Protocols | |
|---|---|
| IF protocol for PDE6B antibody 22063-1-AP | Download protocol |
| IHC protocol for PDE6B antibody 22063-1-AP | Download protocol |
| IP protocol for PDE6B antibody 22063-1-AP | Download protocol |
| WB protocol for PDE6B antibody 22063-1-AP | Download protocol |
| Standard Protocols | |
|---|---|
| Click here to view our Standard Protocols |
发表文章
| Species | Application | Title |
|---|---|---|
Proc Natl Acad Sci U S A Accumulation of non-outer segment proteins in the outer segment underlies photoreceptor degeneration in Bardet-Biedl syndrome. | ||
J Biol Chem Pathogenic Mutations in Retinitis Pigmentosa 2 Predominantly Result in Loss of RP2 Protein Stability in Human and Zebrafish. | ||
J Biol Chem The myosin-tail homology domain of centrosomal protein 290 is essential for protein confinement between the inner and outer segments in photoreceptors. | ||
Dev Biol Luteinizing hormone signaling phosphorylates and activates the cyclic GMP phosphodiesterase PDE5 in mouse ovarian follicles, contributing an additional component to the hormonally induced decrease in cyclic GMP that reinitiates meiosis. | ||
PLoS One Differential requirement of NPHP1 for compartmentalized protein localization during photoreceptor outer segment development and maintenance. |











