验证数据展示
经过测试的应用
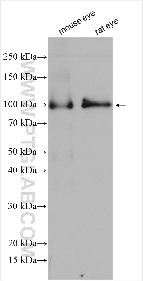
| Positive WB detected in | mouse eye tissue, human brain tissue, rat eye tissue |
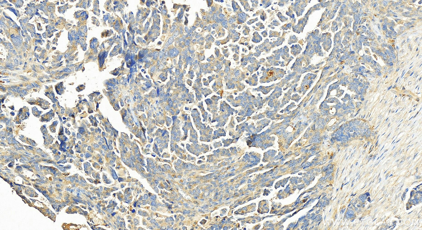
| Positive IHC detected in | mouse eye tissue, human colon cancer tissue, human ovary cancer tissue Note: suggested antigen retrieval with TE buffer pH 9.0; (*) Alternatively, antigen retrieval may be performed with citrate buffer pH 6.0 |
| Positive IF detected in | retinal tissue |
推荐稀释比
| 应用 | 推荐稀释比 |
|---|---|
| Western Blot (WB) | WB : 1:1000-1:6000 |
| Immunohistochemistry (IHC) | IHC : 1:250-1:1000 |
| Immunofluorescence (IF) | IF : 1:50-1:200 |
| It is recommended that this reagent should be titrated in each testing system to obtain optimal results. | |
| Sample-dependent, Check data in validation data gallery. | |
产品信息
21200-1-AP targets PDE6A in WB, IHC, IF, ELISA applications and shows reactivity with human, mouse, rat samples.
| 经测试应用 | WB, IHC, IF, ELISA Application Description |
| 文献引用应用 | WB, IHC, IF |
| 经测试反应性 | human, mouse, rat |
| 文献引用反应性 | mouse, rat |
| 免疫原 |
CatNo: Ag15562 Product name: Recombinant human PDE6A protein Source: e coli.-derived, PGEX-4T Tag: GST Domain: 1-90 aa of BC035909 Sequence: MGEVTAEEVEKFLDSNIGFAKQYYNLHYRAKLISDLLGAKEAAVDFSNYHSPSSMEESEIIFDLLRDFQENLQTEKCIFNVMKKLCFLLQ 种属同源性预测 |
| 宿主/亚型 | Rabbit / IgG |
| 抗体类别 | Polyclonal |
| 产品类型 | Antibody |
| 全称 | phosphodiesterase 6A, cGMP-specific, rod, alpha |
| 别名 | PDEA, PDE V-B1, PDE V B1, GMP-PDE alpha, EC:3.1.4.35 |
| 计算分子量 | 860 aa, 100 kDa |
| 观测分子量 | 100-110 kDa |
| GenBank蛋白编号 | BC035909 |
| 基因名称 | PDE6A |
| Gene ID (NCBI) | 5145 |
| RRID | AB_10733345 |
| 偶联类型 | Unconjugated |
| 形式 | Liquid |
| 纯化方式 | Antigen affinity purification |
| UNIPROT ID | P16499 |
| 储存缓冲液 | PBS with 0.02% sodium azide and 50% glycerol, pH 7.3. |
| 储存条件 | Store at -20°C. Stable for one year after shipment. Aliquoting is unnecessary for -20oC storage. |
背景介绍
PDE6A(Rod cGMP-specific 3',5'-cyclic phosphodiesterase subunit alpha) is also named as GMP-PDE alpha, PDE V-B1, PDEA and belongs to the cyclic nucleotide phosphodiesterase family. PDE6A contains an open reading frame capable of coding for a polypeptide of 859 amino acids and about 100 kDa. It is a subunit of a key phototransduction enzyme which participates in processes of transmission and amplification of the visual signal. The expression of PDE6 alpha in retina is essential for normal expression of PDE6 beta and PDE6 gama.
实验方案
| Product Specific Protocols | |
|---|---|
| IHC protocol for PDE6A antibody 21200-1-AP | Download protocol |
| WB protocol for PDE6A antibody 21200-1-AP | Download protocol |
| Standard Protocols | |
|---|---|
| Click here to view our Standard Protocols |
发表文章
| Species | Application | Title |
|---|---|---|
Proc Natl Acad Sci U S A Accumulation of non-outer segment proteins in the outer segment underlies photoreceptor degeneration in Bardet-Biedl syndrome. | ||
J Biol Chem The myosin-tail homology domain of centrosomal protein 290 is essential for protein confinement between the inner and outer segments in photoreceptors. | ||
Dev Biol Luteinizing hormone signaling phosphorylates and activates the cyclic GMP phosphodiesterase PDE5 in mouse ovarian follicles, contributing an additional component to the hormonally induced decrease in cyclic GMP that reinitiates meiosis. | ||
Exp Eye Res Characterization of lncRNA and mRNA profiles in ciliary body in experimental myopia |









