验证数据展示
经过测试的应用
| Positive WB detected in | human heart tissue |
| Positive IP detected in | mouse heart tissue |
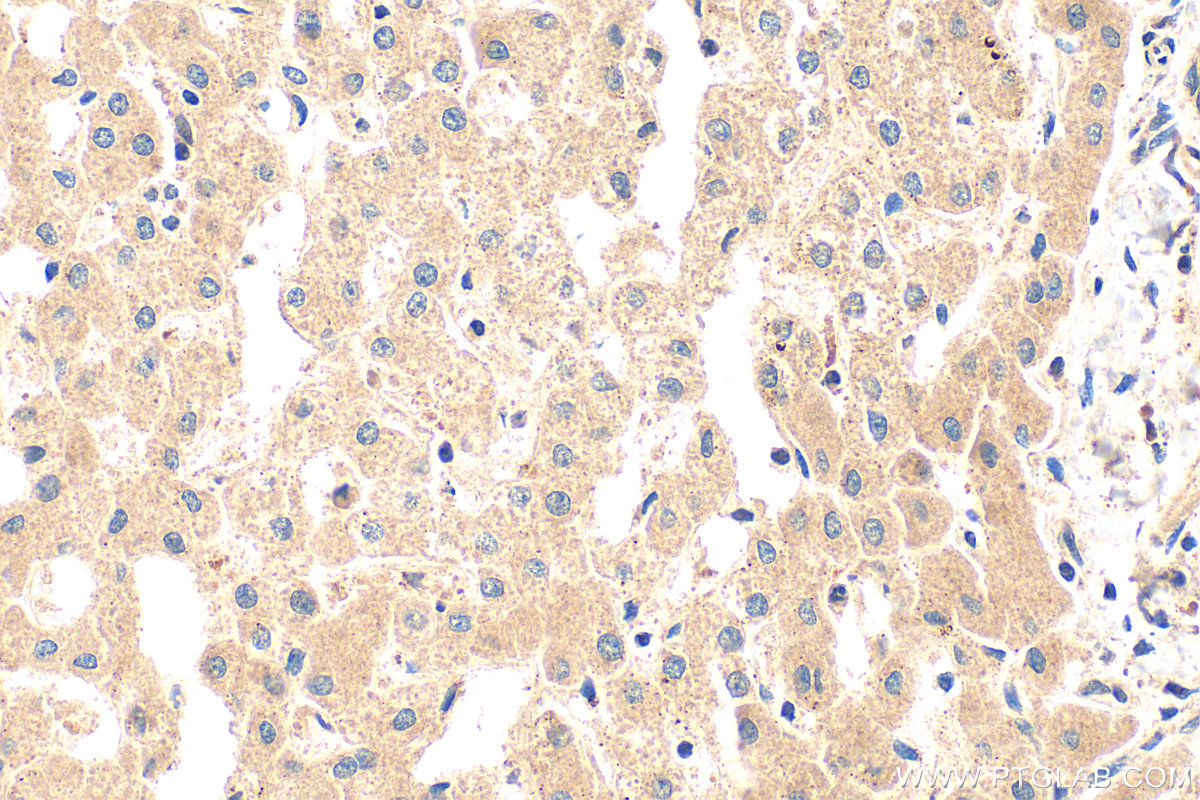
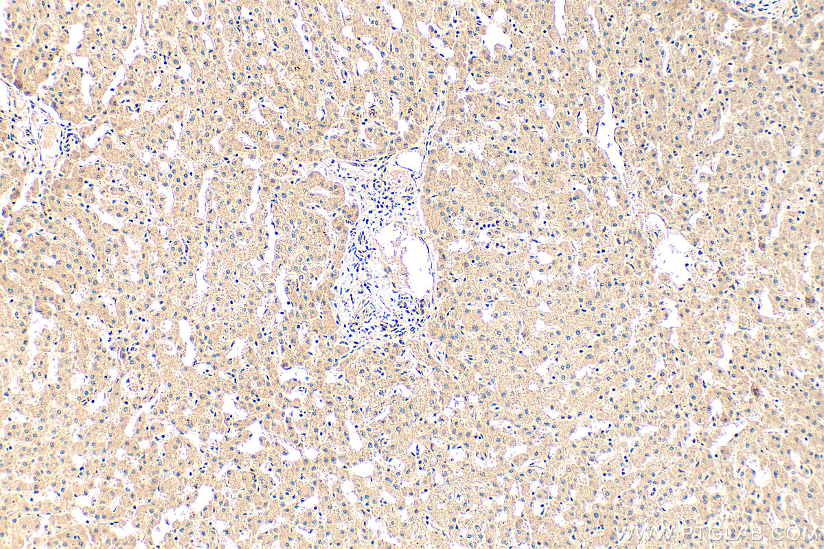
| Positive IHC detected in | human liver tissue Note: suggested antigen retrieval with TE buffer pH 9.0; (*) Alternatively, antigen retrieval may be performed with citrate buffer pH 6.0 |
推荐稀释比
| 应用 | 推荐稀释比 |
|---|---|
| Western Blot (WB) | WB : 1:500-1:2000 |
| Immunoprecipitation (IP) | IP : 0.5-4.0 ug for 1.0-3.0 mg of total protein lysate |
| Immunohistochemistry (IHC) | IHC : 1:50-1:500 |
| It is recommended that this reagent should be titrated in each testing system to obtain optimal results. | |
| Sample-dependent, Check data in validation data gallery. | |
发表文章中的应用
| WB | See 2 publications below |
| IF | See 1 publications below |
产品信息
13785-1-AP targets PDE1C in WB, IHC, IF, IP, ELISA applications and shows reactivity with human, mouse samples.
| 经测试应用 | WB, IHC, IP, ELISA Application Description |
| 文献引用应用 | WB, IF |
| 经测试反应性 | human, mouse |
| 文献引用反应性 | mouse, rat |
| 免疫原 |
CatNo: Ag4798 Product name: Recombinant human PDE1C protein Source: e coli.-derived, PGEX-4T Tag: GST Domain: 284-634 aa of BC022525 Sequence: RSDPAILYNDRSVLENHHLSAAYRLLQDDEEMNILINLSKDDWREFRTLVIEMVMATDMSCHFQQIKAMKTALQQPEAIEKPKALSLMLHTADISHPAKAWDLHHRWTMSLLEEFFRQGDREAELGLPFSPLCDRKSTMVAQSQVGFIDFIVEPTFTVLTDMTEKIVSPLIDETSQTGGTGQRRSSLNSISSSDAKRSGVKTSGSEGSAPINNSVISVDYKSFKATWTEVVHINRERWRAKVPKEEKAKKEAEEKARMAAEEQQKEMEAKSQAEEGASGKAEKKTSGETKNQVNGTRANKSDNPRGKNSKAEKSSGEQQQNGDFKDGKNKTDKKDHSNIGNDSKKTDDSQE 种属同源性预测 |
| 宿主/亚型 | Rabbit / IgG |
| 抗体类别 | Polyclonal |
| 产品类型 | Antibody |
| 全称 | phosphodiesterase 1C, calmodulin-dependent 70kDa |
| 别名 | Cam PDE 1C, Cam-PDE 1C, Dual specificity calcium/calmodulin-dependent 3',5'-cyclic nucleotide phosphodiesterase 1C, EC:3.1.4.17, hCam 3 |
| 计算分子量 | 634 aa, 72 kDa |
| 观测分子量 | 68 kDa |
| GenBank蛋白编号 | BC022525 |
| 基因名称 | PDE1C |
| Gene ID (NCBI) | 5137 |
| RRID | AB_2268145 |
| 偶联类型 | Unconjugated |
| 形式 | Liquid |
| 纯化方式 | Antigen affinity purification |
| UNIPROT ID | Q14123 |
| 储存缓冲液 | PBS with 0.02% sodium azide and 50% glycerol, pH 7.3. |
| 储存条件 | Store at -20°C. Stable for one year after shipment. Aliquoting is unnecessary for -20oC storage. |
背景介绍
Cyclic nucleotide phosphodiesterases (PDEs) catalyze hydrolysis of the cyclic nucleotides cAMP and cGMP to the corresponding nucleoside 5-prime-monophosphates. PDE1C, is calmodulin-dependent PDEs (CaM-PDEs) that are stimulated by a calcium-calmodulin complex. Expression of PDE1C may be an important component in signal transduction pathways mediated by calcium that permit cell cycle traverse and proliferation(PMID:9366577). It has 2 isoforms produced by alternative splicing.
实验方案
| Product Specific Protocols | |
|---|---|
| IHC protocol for PDE1C antibody 13785-1-AP | Download protocol |
| IP protocol for PDE1C antibody 13785-1-AP | Download protocol |
| WB protocol for PDE1C antibody 13785-1-AP | Download protocol |
| Standard Protocols | |
|---|---|
| Click here to view our Standard Protocols |
发表文章
| Species | Application | Title |
|---|---|---|
Sci Adv RasGRP1 is a causal factor in the development of l-DOPA-induced dyskinesia in Parkinson's disease. | ||
Free Radic Biol Med Poly (I:C) impairs NO donor-induced relaxation by overexposure to NO via the NF-kappa B/iNOS pathway in rat superior mesenteric arteries. | ||
Nat Commun Pericytes promote metastasis by regulating tumor local vascular tone and hemodynamics |



