验证数据展示
经过测试的应用
| Positive WB detected in | RAW 264.7 cells, human lymph node tissue, rat spleen tissue, mouse thymus tissue, Jurkat cells, MOLT-4 cells, THP-1 cells, CTLL-2 cells, pig thymus tissue |
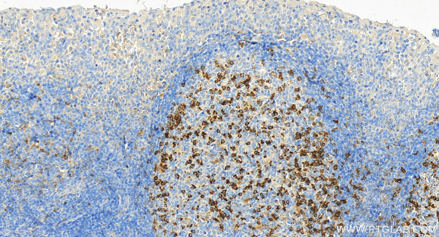
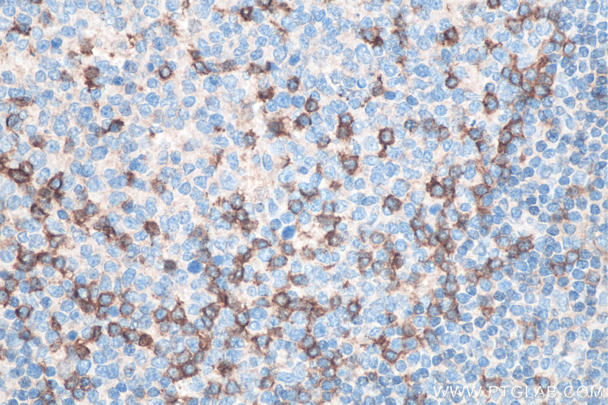
| Positive IHC detected in | human tonsillitis tissue, human lymphoma tissue Note: suggested antigen retrieval with TE buffer pH 9.0; (*) Alternatively, antigen retrieval may be performed with citrate buffer pH 6.0 |
| Positive IF-P detected in | human tonsillitis tissue, human lymphoma tissue, mouse spleen tissue, mouse thymus tissue |
推荐稀释比
| 应用 | 推荐稀释比 |
|---|---|
| Western Blot (WB) | WB : 1:5000-1:50000 |
| Immunohistochemistry (IHC) | IHC : 1:2000-1:8000 |
| Immunofluorescence (IF)-P | IF-P : 1:200-1:800 |
| It is recommended that this reagent should be titrated in each testing system to obtain optimal results. | |
| Sample-dependent, Check data in validation data gallery. | |
产品信息
66220-1-Ig targets PD-1/CD279 in WB, IHC, IF-P, IP, ELISA applications and shows reactivity with human, mouse, rat, pig samples.
| 经测试应用 | WB, IHC, IF-P, ELISA Application Description |
| 文献引用应用 | WB, IHC, IF, IP |
| 经测试反应性 | human, mouse, rat, pig |
| 文献引用反应性 | human, mouse, rat |
| 免疫原 |
CatNo: Ag12470 Product name: Recombinant human PD-1/CD279 protein Source: e coli.-derived, PET28a Tag: 6*His Domain: 1-288 aa of BC074740 Sequence: MQIPQAPWPVVWAVLQLGWRPGWFLDSPDRPWNPPTFSPALLVVTEGDNATFTCSFSNTSESFVLNWYRMSPSNQTDKLAAFPEDRSQPGQDCRFRVTQLPNGRDFHMSVVRARRNDSGTYLCGAISLAPKAQIKESLRAELRVTERRAEVPTAHPSPSPRPAGQFQTLVVGVVGGLLGSLVLLVWVLAVICSRAARGTIGARRTGQPLKEDPSAVPVFSVDYGELDFQWREKTPEPPVPCVPEQTEYATIVFPSGMGTSSPARRGSADGPRSAQPLRPEDGHCSWPL 种属同源性预测 |
| 宿主/亚型 | Mouse / IgG2b |
| 抗体类别 | Monoclonal |
| 产品类型 | Antibody |
| 全称 | programmed cell death 1 |
| 别名 | CD279, PD1, PD-1, 4H4D1, hPD 1 |
| 计算分子量 | 288 aa, 32 kDa |
| 观测分子量 | 32 kDa, 47-55 kDa |
| GenBank蛋白编号 | BC074740 |
| 基因名称 | PD-1 |
| Gene ID (NCBI) | 5133 |
| RRID | AB_2881611 |
| 偶联类型 | Unconjugated |
| 形式 | Liquid |
| 纯化方式 | Protein A purification |
| UNIPROT ID | Q15116 |
| 储存缓冲液 | PBS with 0.02% sodium azide and 50% glycerol, pH 7.3. |
| 储存条件 | Store at -20°C. Stable for one year after shipment. Aliquoting is unnecessary for -20oC storage. |
背景介绍
Programmed cell death 1 (PD-1, also known as CD279) is an immunoinhibitory receptor that belongs to the CD28/CTLA-4 subfamily of the Ig superfamily. It is a 288 amino acid (aa) type I transmembrane protein composed of one Ig superfamily domain, a stalk, a transmembrane domain, and an intracellular domain containing an immunoreceptor tyrosine-based inhibitory motif (ITIM) as well as an immunoreceptor tyrosine-based switch motif (ITSM) (PMID: 18173375). PD-1 is expressed during thymic development and is induced in a variety of hematopoietic cells in the periphery by antigen receptor signaling and cytokines (PMID: 20636820). Engagement of PD-1 by its ligands PD-L1 or PD-L2 transduces a signal that inhibits T-cell proliferation, cytokine production, and cytolytic function (PMID: 19426218). It is critical for the regulation of T cell function during immunity and tolerance. Blockade of PD-1 can overcome immune resistance and also has been shown to have antitumor activity (PMID: 22658127; 23169436). The calculated molecular weight of PD-1 is 32 kDa. It has been reported that PD-1 is heavily glycosylated and migrates with an apparent molecular mass of 47-55 kDa on SDS-PAGE (PMID: 8671665; 17640856; 17003438).
实验方案
| Product Specific Protocols | |
|---|---|
| IF protocol for PD-1/CD279 antibody 66220-1-Ig | Download protocol |
| IHC protocol for PD-1/CD279 antibody 66220-1-Ig | Download protocol |
| WB protocol for PD-1/CD279 antibody 66220-1-Ig | Download protocol |
| Standard Protocols | |
|---|---|
| Click here to view our Standard Protocols |
发表文章
| Species | Application | Title |
|---|---|---|
Nat Commun ERK and USP5 govern PD-1 homeostasis via deubiquitination to modulate tumor immunotherapy | ||
Adv Sci (Weinh) PPY-Induced iCAFs Cultivate an Immunosuppressive Microenvironment in Pancreatic Cancer | ||
Nat Commun m6A mRNA demethylase FTO regulates melanoma tumorigenicity and response to anti-PD-1 blockade. | ||
J Exp Clin Cancer Res BAP1 regulates HSF1 activity and cancer immunity in pancreatic cancer | ||
J Transl Med UBE2J1 is identified as a novel plasma cell-related gene involved in the prognosis of high-grade serous ovarian cancer | ||
Cancers (Basel) Overcoming PD-1 Inhibitor Resistance with a Monoclonal Antibody to Secreted Frizzled-Related Protein 2 in Metastatic Osteosarcoma. |




















