验证数据展示
经过测试的应用
| Positive WB detected in | K-562 cells, HeLa cells |
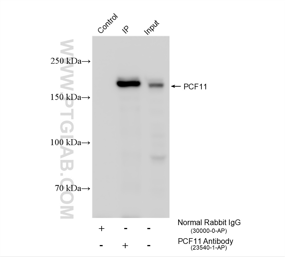
| Positive IP detected in | Jurkat cells |
| Positive IHC detected in | human intrahepatic cholangiocarcinoma tissue Note: suggested antigen retrieval with TE buffer pH 9.0; (*) Alternatively, antigen retrieval may be performed with citrate buffer pH 6.0 |
推荐稀释比
| 应用 | 推荐稀释比 |
|---|---|
| Western Blot (WB) | WB : 1:500-1:2000 |
| Immunoprecipitation (IP) | IP : 0.5-4.0 ug for 1.0-3.0 mg of total protein lysate |
| Immunohistochemistry (IHC) | IHC : 1:200-1:800 |
| It is recommended that this reagent should be titrated in each testing system to obtain optimal results. | |
| Sample-dependent, Check data in validation data gallery. | |
产品信息
23540-1-AP targets PCF11 in WB, IHC, IF, IP, ELISA applications and shows reactivity with human samples.
| 经测试应用 | WB, IHC, IP, ELISA Application Description |
| 文献引用应用 | WB, IF |
| 经测试反应性 | human |
| 文献引用反应性 | human, mouse |
| 免疫原 |
CatNo: Ag20263 Product name: Recombinant human PCF11 protein Source: e coli.-derived, PET28a Tag: 6*His Domain: 1206-1555 aa of BC146778 Sequence: IPAPMTVGNIQASQQVLSGVAQPVAFGQGQQFLPVHPQNPGFVQNPSGALPKAYPDNHLSQVDVNELFSKLLKTGILKLSQTDSATTQVSEVTAQPPPEEEEDQNEDQDVPDLTNFTVEELKQRYDSVINRLYTGIQCYSCGMRFTTSQTDVYADHLDWHYRQNRTEKDVSRKVTHRRWYYSLTDWIEFEEIADLEERAKSQFFEKVHEEVVLKTQEAAKEKEFQSVPAGPAGAVESCEICQEQFEQYWDEEEEEWHLKNAIRVDGKIYHPSCYEDYQNTSSFDCTPSPSKTPVENPLNIMLNIVKNELQEPCDSPKVKEERIDTPPACTEESIATPSEIKTENDTVESV 种属同源性预测 |
| 宿主/亚型 | Rabbit / IgG |
| 抗体类别 | Polyclonal |
| 产品类型 | Antibody |
| 全称 | PCF11, cleavage and polyadenylation factor subunit, homolog (S. cerevisiae) |
| 别名 | KIAA0824, Pre-mRNA cleavage complex 2 protein Pcf11, Pre-mRNA cleavage complex II protein Pcf11 |
| 计算分子量 | 1555 aa, 173 kDa |
| 观测分子量 | 173 kDa |
| GenBank蛋白编号 | BC146778 |
| 基因名称 | PCF11 |
| Gene ID (NCBI) | 51585 |
| RRID | AB_2879293 |
| 偶联类型 | Unconjugated |
| 形式 | Liquid |
| 纯化方式 | Antigen Affinity purified |
| UNIPROT ID | O94913 |
| 储存缓冲液 | PBS with 0.02% sodium azide and 50% glycerol, pH 7.3. |
| 储存条件 | Store at -20°C. Stable for one year after shipment. Aliquoting is unnecessary for -20oC storage. |
背景介绍
In Saccharomyces cerevisiae, the cleavage/polyadenylation factor Pcf11 is a crucial regulatory factor required for recruiting polyadenylation machinery to elongating RNA polymerase II (RNAPII), and is necessary for correct transcriptional termination. Pcf11 (PCF11, cleavage and polyadenylation factor subunit, homolog (S. cerevisiae)), is a 1,555 amino acid nuclear protein that is a component of pre-mRNA cleavage complex II. It is suggested that Pcf11 is capable of promoting the dissociation of Pol II elongation complexes from DNA. Pcf11 contains a CTD-interaction domain that binds in a phospho-dependent manner to the heptad repeats within the RNA polymerase II CTD. The gene encoding Pcf11 is located on human chromosoem 11, which houses over 1,400 genes and comprises nearly 4% of the human genome. Jervell and Lange-Nielsen syndrome, Jacobsen syndrome, Niemann-Pick disease, hereditary angioedema and Smith-Lemli-Opitz syndrome are associated with defects in genes that maps to chromosome 11. This antibody is specific to the 173kd human PCF11 protein.
实验方案
| Product Specific Protocols | |
|---|---|
| IHC protocol for PCF11 antibody 23540-1-AP | Download protocol |
| IP protocol for PCF11 antibody 23540-1-AP | Download protocol |
| WB protocol for PCF11 antibody 23540-1-AP | Download protocol |
| Standard Protocols | |
|---|---|
| Click here to view our Standard Protocols |
发表文章
| Species | Application | Title |
|---|---|---|
Mol Cell RNA Pol II preferentially regulates ribosomal protein expression by trapping disassociated subunits | ||
Neuron Suppression of premature transcription termination leads to reduced mRNA isoform diversity and neurodegeneration. | ||
Nucleic Acids Res CRISPRpas: programmable regulation of alternative polyadenylation by dCas9.
| ||
Cell Rep LINC00921 reduces lung cancer radiosensitivity by destabilizing NUDT21 and driving aberrant MED23 alternative polyadenylation | ||
Biochimie An investigation into the role of ATP in the mammalian pre-mRNA 3' cleavage reaction. | ||
Cell Rep CPSF1 inhibition promotes widespread use of intergenic polyadenylation sites and impairs glycolysis in prostate cancer cells |



