验证数据展示
经过测试的应用
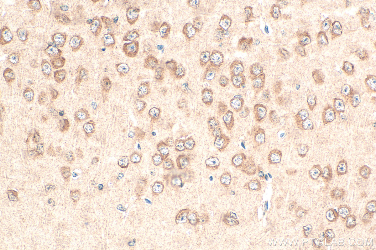
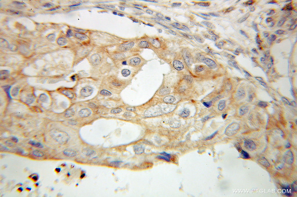
| Positive IHC detected in | mouse brain tissue, human breast cancer tissue Note: suggested antigen retrieval with TE buffer pH 9.0; (*) Alternatively, antigen retrieval may be performed with citrate buffer pH 6.0 |
| Positive IF/ICC detected in | SH-SY5Y cells |
推荐稀释比
| 应用 | 推荐稀释比 |
|---|---|
| Immunohistochemistry (IHC) | IHC : 1:200-1:800 |
| Immunofluorescence (IF)/ICC | IF/ICC : 1:200-1:800 |
| It is recommended that this reagent should be titrated in each testing system to obtain optimal results. | |
| Sample-dependent, Check data in validation data gallery. | |
产品信息
10857-1-AP targets PCDHGC3 in IHC, IF/ICC, ELISA applications and shows reactivity with human, mouse samples.
| 经测试应用 | IHC, IF/ICC, ELISA Application Description |
| 经测试反应性 | human, mouse |
| 免疫原 |
CatNo: Ag1243 Product name: Recombinant human PCDHGC3 protein Source: e coli.-derived, PGEX-4T Tag: GST Domain: 612-934 aa of BC019299 Sequence: GSPNQSLFAIGLHTGQISTARPVQDTDSPRQTLTVLIKDNGEPSLSTTATLTVSVTEDSPEARAEFPSGSAPREQKKNLTFYLLLSLILVSVGFVVTVFGVIIFKVYKWKQSRDLYRAPVSSLYRTPGPSLHADAVRGGLMSPHLYHQVYLTTDSRRSDPLLKKPGAASPLASRQNTLRSCDPVFYRQVLGAESAPPGQQAPPNTDWRFSQAQRPGTSGSQNGDDTGTWPNNQFDTEMLQAMILASASEAADGSSTLGGGAGTMGLSARYGPQFTLQHVPDYRQNVYIPGSNATLTNAAGKRDGKAPAGGNGNKKKSGKKEKK 种属同源性预测 |
| 宿主/亚型 | Rabbit / IgG |
| 抗体类别 | Polyclonal |
| 产品类型 | Antibody |
| 全称 | protocadherin gamma subfamily C, 3 |
| 别名 | PC-43, PCDH2, PCDH-gamma-C3, Protocadherin gamma-C3, Protocadherin-2 |
| 计算分子量 | 150 kDa |
| GenBank蛋白编号 | BC019299 |
| 基因名称 | PCDHGC3 |
| Gene ID (NCBI) | 5098 |
| RRID | AB_2159713 |
| 偶联类型 | Unconjugated |
| 形式 | Liquid |
| 纯化方式 | Antigen affinity purification |
| UNIPROT ID | Q9UN70 |
| 储存缓冲液 | PBS with 0.02% sodium azide and 50% glycerol, pH 7.3. |
| 储存条件 | Store at -20°C. Stable for one year after shipment. Aliquoting is unnecessary for -20oC storage. |
背景介绍
PCDHGC3, a member of the PCDHγ cluster, has been described in some studies as a tumor suppressor that promotes the apoptosis of tumor cells, as well as suppresses the Wnt- and mTOR-signaling pathways, which negatively affects the growth of various tumors such as Wilms tumors, breast cancer, or prostate cancer.
实验方案
| Product Specific Protocols | |
|---|---|
| IF protocol for PCDHGC3 antibody 10857-1-AP | Download protocol |
| IHC protocol for PCDHGC3 antibody 10857-1-AP | Download protocol |
| Standard Protocols | |
|---|---|
| Click here to view our Standard Protocols |



