验证数据展示
经过测试的应用
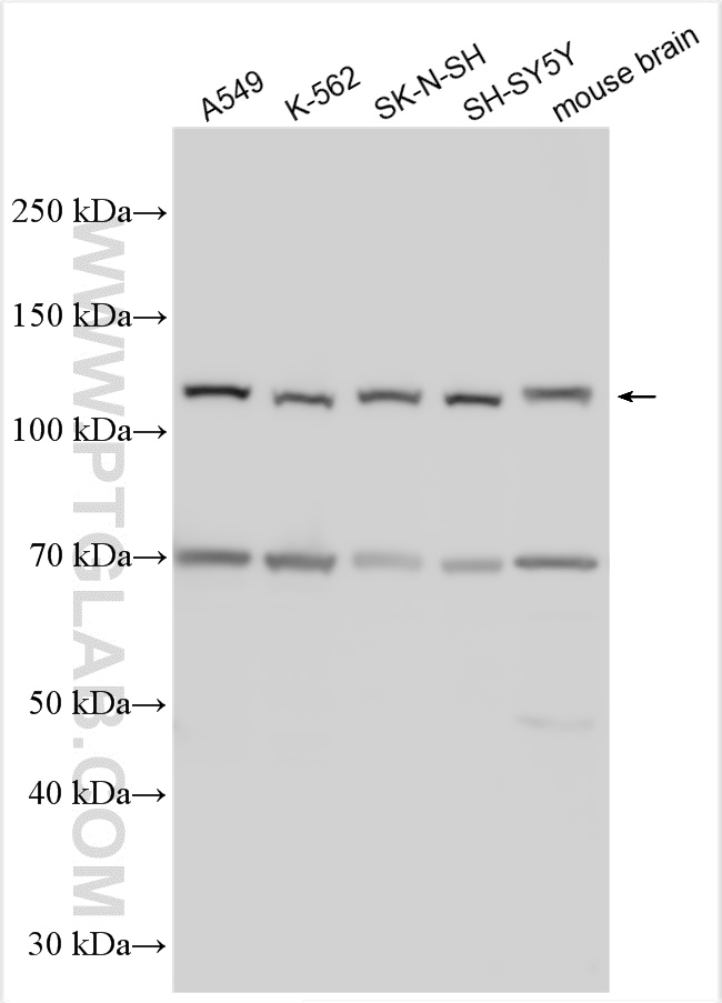
| Positive WB detected in | A549 cells, K-562 cells, SK-N-SH cells, SH-SY5Y cells, mouse brain tissue |
推荐稀释比
| 应用 | 推荐稀释比 |
|---|---|
| Western Blot (WB) | WB : 1:500-1:2000 |
| It is recommended that this reagent should be titrated in each testing system to obtain optimal results. | |
| Sample-dependent, Check data in validation data gallery. | |
产品信息
24314-1-AP targets PCDHAC1 in WB, ELISA applications and shows reactivity with human, mouse samples.
| 经测试应用 | WB, ELISA Application Description |
| 经测试反应性 | human, mouse |
| 免疫原 |
CatNo: Ag19431 Product name: Recombinant human PCDHAC1 protein Source: e coli.-derived, PGEX-4T Tag: GST Domain: 20-256 aa of BC136774 Sequence: GQLEYSVPEETERGVAVGNLSADLRLPAAAMSSRNFRFLSSHRELYFGVDLPSGNLVVREPADREQLCRAKAACVLTYDLVLEDPLELHKIRIHVLDTNDNSPLFPAGDVQLHIPEFLTPGARFTLPNAQDDDEGSNGILSYSLSPSQHFRLDMGSRVDGSEYPELVLEKALDREQRATHLLVLTARDGGLPARSGDAQVTIIVVDTNDNAPVFERSVYRTKVPETAPNGTVLFRVQ 种属同源性预测 |
| 宿主/亚型 | Rabbit / IgG |
| 抗体类别 | Polyclonal |
| 产品类型 | Antibody |
| 全称 | protocadherin alpha subfamily C, 1 |
| 别名 | PCDH ALPHA C1, PCDHAC1, Protocadherin alpha C1 |
| 计算分子量 | 818 aa, 88 kDa |
| 观测分子量 | ~110 kDa |
| GenBank蛋白编号 | BC136774 |
| 基因名称 | PCDHAC1 |
| Gene ID (NCBI) | 56135 |
| RRID | AB_3085730 |
| 偶联类型 | Unconjugated |
| 形式 | Liquid |
| 纯化方式 | Antigen affinity purification |
| UNIPROT ID | Q9H158 |
| 储存缓冲液 | PBS with 0.02% sodium azide and 50% glycerol, pH 7.3. |
| 储存条件 | Store at -20°C. Stable for one year after shipment. Aliquoting is unnecessary for -20oC storage. |
背景介绍
Protocadherins, which constitute the largest subgroup within the cadherin superfamily, are predominantly expressed in the nervous system and are probably involved in the regulation of neuronal recognition and connectivity (PMID: 17936607; 12231349; 17133224). The protocadherin subfamily can be further subdivided into three groups: the clustered protocadherins, comprising α-, β- and γ-protocadherins; δ-protocadherins; and others, many of which are solitary (PMID: 17133224). PCDHAC1 belongs to the α-protocadherin (PCDHA) cluster. The differential expression of PCDHAC1 may be related to the influence of maternal cadmium on fetal growth (PMID: 27544570).
实验方案
| Product Specific Protocols | |
|---|---|
| WB protocol for PCDHAC1 antibody 24314-1-AP | Download protocol |
| Standard Protocols | |
|---|---|
| Click here to view our Standard Protocols |
