验证数据展示
经过测试的应用
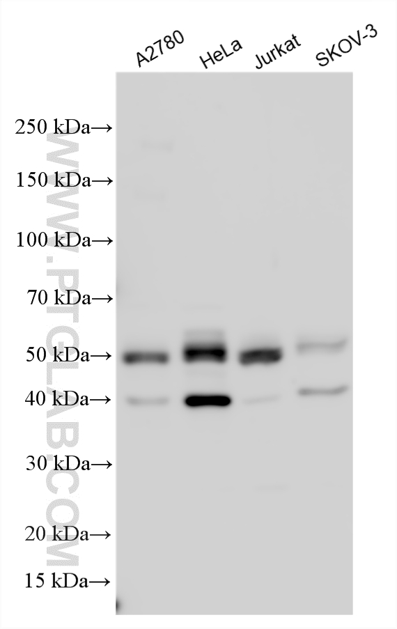
| Positive WB detected in | A2780 cells, HeLa cells, Jurkat cells, SKOV-3 cells |
| Positive IP detected in | A2780 cells |
| Positive IHC detected in | human thyroid cancer tissue, human cervical cancer tissue, mouse brain tissue, mouse kidney tissue, mouse pancreas tissue, rat brain tissue, rat kidney tissue, rat pancreas tissue Note: suggested antigen retrieval with TE buffer pH 9.0; (*) Alternatively, antigen retrieval may be performed with citrate buffer pH 6.0 |
| Positive IF/ICC detected in | HeLa cells |
推荐稀释比
| 应用 | 推荐稀释比 |
|---|---|
| Western Blot (WB) | WB : 1:1000-1:6000 |
| Immunoprecipitation (IP) | IP : 0.5-4.0 ug for 1.0-3.0 mg of total protein lysate |
| Immunohistochemistry (IHC) | IHC : 1:500-1:2000 |
| Immunofluorescence (IF)/ICC | IF/ICC : 1:20-1:200 |
| It is recommended that this reagent should be titrated in each testing system to obtain optimal results. | |
| Sample-dependent, Check data in validation data gallery. | |
产品信息
18204-1-AP targets PBX1 in WB, IHC, IF/ICC, IP, CoIP, ChIP, ELISA applications and shows reactivity with human, mouse, rat samples.
| 经测试应用 | WB, IHC, IF/ICC, IP, ELISA Application Description |
| 文献引用应用 | WB, IHC, IF, CoIP, ChIP |
| 经测试反应性 | human, mouse, rat |
| 文献引用反应性 | human, mouse, rat |
| 免疫原 |
CatNo: Ag12817 Product name: Recombinant human PBX1 protein Source: e coli.-derived, PGEX-4T Tag: GST Domain: 1-349 aa of BC101578 Sequence: MDEQPRLMHSHAGVGMAGHPGLSQHLQDGAGGTEGEGGRKQDIGDILQQIMTITDQSLDEAQARKHALNCHRMKPALFNVLCEIKEKTVLSIRGAQEEEPTDPQLMRLDNMLLAEGVAGPEKGGGSAAAAAAAAASGGAGSDNSVEHSDYRAKLSQIRQIYHTELEKYEQACNEFTTHVMNLLREQSRTRPISPKEIERMVSIIHRKFSSIQMQLKQSTCEAVMILRSRFLDARRKRRNFNKQATEILNEYFYSHLSNPYPSEEAKEELAKKCGITVSQVSNWFGNKRIRYKKNIGKFQEEANIYAAKTAVTATNVSAHGSQANSPSTPNSAGSSSSFNMSNSGDLFMS 种属同源性预测 |
| 宿主/亚型 | Rabbit / IgG |
| 抗体类别 | Polyclonal |
| 产品类型 | Antibody |
| 全称 | pre-B-cell leukemia homeobox 1 |
| 别名 | Homeobox protein PBX1, Homeobox protein PRL, pre B cell leukemia homeobox 1, Pre-B-cell leukemia transcription factor 1, PRL |
| 计算分子量 | 430 aa, 47 kDa |
| 观测分子量 | 52 kDa |
| GenBank蛋白编号 | BC101578 |
| 基因名称 | PBX1 |
| Gene ID (NCBI) | 5087 |
| RRID | AB_10951860 |
| 偶联类型 | Unconjugated |
| 形式 | Liquid |
| 纯化方式 | Antigen affinity purification |
| UNIPROT ID | P40424 |
| 储存缓冲液 | PBS with 0.02% sodium azide and 50% glycerol, pH 7.3. |
| 储存条件 | Store at -20°C. Stable for one year after shipment. Aliquoting is unnecessary for -20oC storage. |
背景介绍
PBX1, also named as Pre-B-cell leukemia transcription factor 1, is a 430 amino acid protein, which belongs to the TALE/PBX homeobox family. PBX1 is expressed in all tissues except in cells of the B and T lineage. PBX1 acts as a transcriptional activator of PF4 in complex with MEIS1. PBX1 may have a role in steroidogenesis and, subsequently, sexual development and differentiation. Isoform PBX1b as part of a PDX1:PBX1b:MEIS2b complex in pancreatic acinar cells is involved in the transcriptional activation of the ELA1 enhancer. PBX1 exists two isoforms (PBX1a and PBX1b) and molecular weight of PBX1 is 47 kDa and 38 kDa.
实验方案
| Product Specific Protocols | |
|---|---|
| IF protocol for PBX1 antibody 18204-1-AP | Download protocol |
| IHC protocol for PBX1 antibody 18204-1-AP | Download protocol |
| IP protocol for PBX1 antibody 18204-1-AP | Download protocol |
| WB protocol for PBX1 antibody 18204-1-AP | Download protocol |
| Standard Protocols | |
|---|---|
| Click here to view our Standard Protocols |
发表文章
| Species | Application | Title |
|---|---|---|
Int J Oral Sci Stromal thrombospondin 1 suppresses angiogenesis in oral submucous fibrosis | ||
J Neurochem Decreased levels of constitutive proteasomes in experimental autoimmune encephalomyelitis may be caused by a combination of subunit displacement and reduced Nfe2l1 expression. | ||
Neuroscience Neuroprotective Action of Teriflunomide in a Mouse Model of Transient Middle Cerebral Artery Occlusion. | ||
Cell Death Dis M6A-methylated circPOLR2B forms an R-loop and regulates the biological behavior of glioma stem cells through positive feedback loops | ||
Cell Mol Life Sci Loss of PBX1 function in Leydig cells causes testicular dysgenesis and male sterility |











