验证数据展示
经过测试的应用
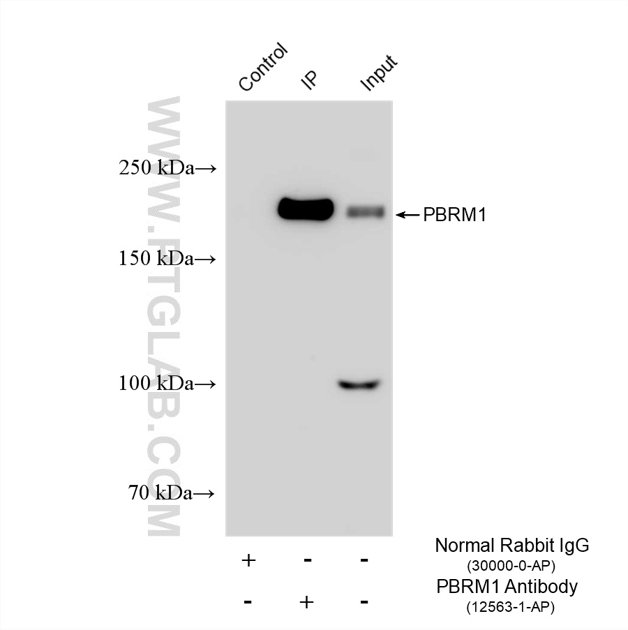
| Positive WB detected in | Jurkat cells |
| Positive IP detected in | Jurkat cells |
| Positive IHC detected in | human colon cancer tissue Note: suggested antigen retrieval with TE buffer pH 9.0; (*) Alternatively, antigen retrieval may be performed with citrate buffer pH 6.0 |
推荐稀释比
| 应用 | 推荐稀释比 |
|---|---|
| Western Blot (WB) | WB : 1:500-1:1000 |
| Immunoprecipitation (IP) | IP : 0.5-4.0 ug for 1.0-3.0 mg of total protein lysate |
| Immunohistochemistry (IHC) | IHC : 1:5000-1:20000 |
| It is recommended that this reagent should be titrated in each testing system to obtain optimal results. | |
| Sample-dependent, Check data in validation data gallery. | |
发表文章中的应用
| WB | See 3 publications below |
| IP | See 1 publications below |
产品信息
12563-1-AP targets PBRM1 in WB, IHC, IP, Dot blot, ELISA applications and shows reactivity with human, mouse, rat samples.
| 经测试应用 | WB, IHC, IP, ELISA Application Description |
| 文献引用应用 | WB, IP, Dot blot |
| 经测试反应性 | human, mouse, rat |
| 文献引用反应性 | human |
| 免疫原 |
CatNo: Ag3148 Product name: Recombinant human PBRM1 protein Source: e coli.-derived, PGEX-4T Tag: GST Domain: 1-306 aa of BC015323 Sequence: MGEEDSEVIEPPSLPQLQTPLASELDLMPYTPPQSTPKSAKGSAKKEGSKRKINMSGYILFSSEMRAVIKAQHPDYSFGELSRLVGTEWRNLETAKKAEYEGMMGGYPPGLPPLQGPVDGLVSMGSMQPLHPGGPPPHHLPPGVPGLPGIPPPGVMNQGVAPMVGTPAPGGSPYGQQVGVLGPPGQQAPPPYPGPHPAGPPVIQQPTTPMFVAPPPKTQRLLHSEAYLKYIEGLSAESNSISKWDQTLAARRRDVHLSKEQESRLPSHWLKSKGAHTTMADALWRLRDLMLRDTLNIRQAYNLENV 种属同源性预测 |
| 宿主/亚型 | Rabbit / IgG |
| 抗体类别 | Polyclonal |
| 产品类型 | Antibody |
| 全称 | polybromo 1 |
| 别名 | BAF180, BRG1-associated factor 180, hPB1, PB1, PBRM 1 |
| 计算分子量 | 180 kDa |
| 观测分子量 | 180-195 kDa, 100 kDa |
| GenBank蛋白编号 | BC015323 |
| 基因名称 | PBRM1 |
| Gene ID (NCBI) | 55193 |
| RRID | AB_2877865 |
| 偶联类型 | Unconjugated |
| 形式 | Liquid |
| 纯化方式 | Antigen affinity purification |
| UNIPROT ID | Q86U86 |
| 储存缓冲液 | PBS with 0.02% sodium azide and 50% glycerol, pH 7.3. |
| 储存条件 | Store at -20°C. Stable for one year after shipment. Aliquoting is unnecessary for -20oC storage. |
背景介绍
PBRM1, also named hPB1 BAF180 and Polybromo-1D, acts as a negative regulator of cell proliferation. PBRM1 is the second major mutated clear cell RCC cancer gene after VHL. PBRM1 loss is associated with low grade features.
实验方案
| Product Specific Protocols | |
|---|---|
| IHC protocol for PBRM1 antibody 12563-1-AP | Download protocol |
| IP protocol for PBRM1 antibody 12563-1-AP | Download protocol |
| WB protocol for PBRM1 antibody 12563-1-AP | Download protocol |
| Standard Protocols | |
|---|---|
| Click here to view our Standard Protocols |
发表文章
| Species | Application | Title |
|---|---|---|
Mol Cell A di-acetyl-decorated chromatin signature couples liquid condensation to suppress DNA end synapsis | ||
Protein Expr Purif Heterologous expression of the human polybromo-1 protein in the methylotrophic yeast Pichia pastoris. | ||
Cell Death Dis The RBPJ/DAPK3/UBE3A signaling axis induces PBRM1 degradation to modulate the sensitivity of renal cell carcinoma to CDK4/6 inhibitors. | ||
J Am Heart Assoc Aging-Associated ALKBH5-m6A Modification Exacerbates Doxorubicin-Induced Cardiomyocyte Apoptosis Via AT-Rich Interaction Domain 2 | ||



