验证数据展示
经过测试的应用
| Positive WB detected in | HeLa cells, mouse embryo tissue, Y79 cells, mouse retina tissue, rat brain tissue |
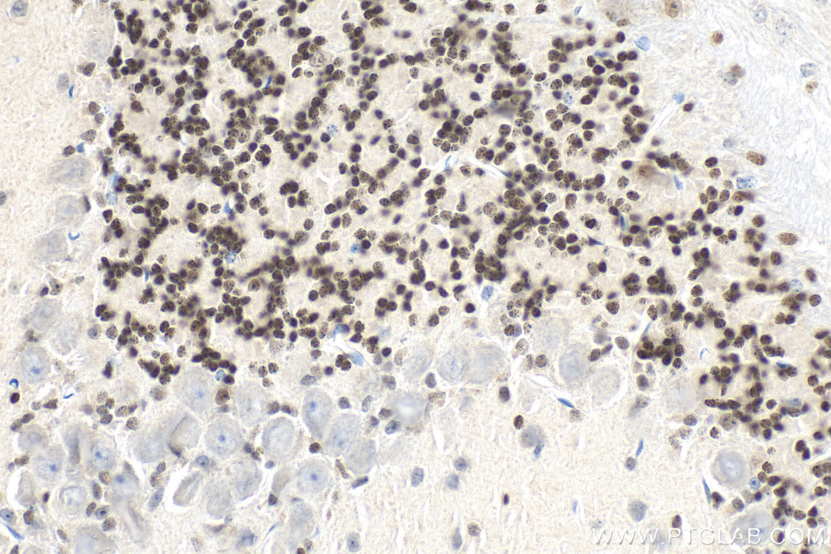
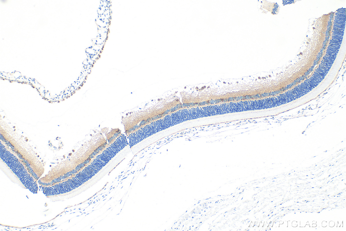
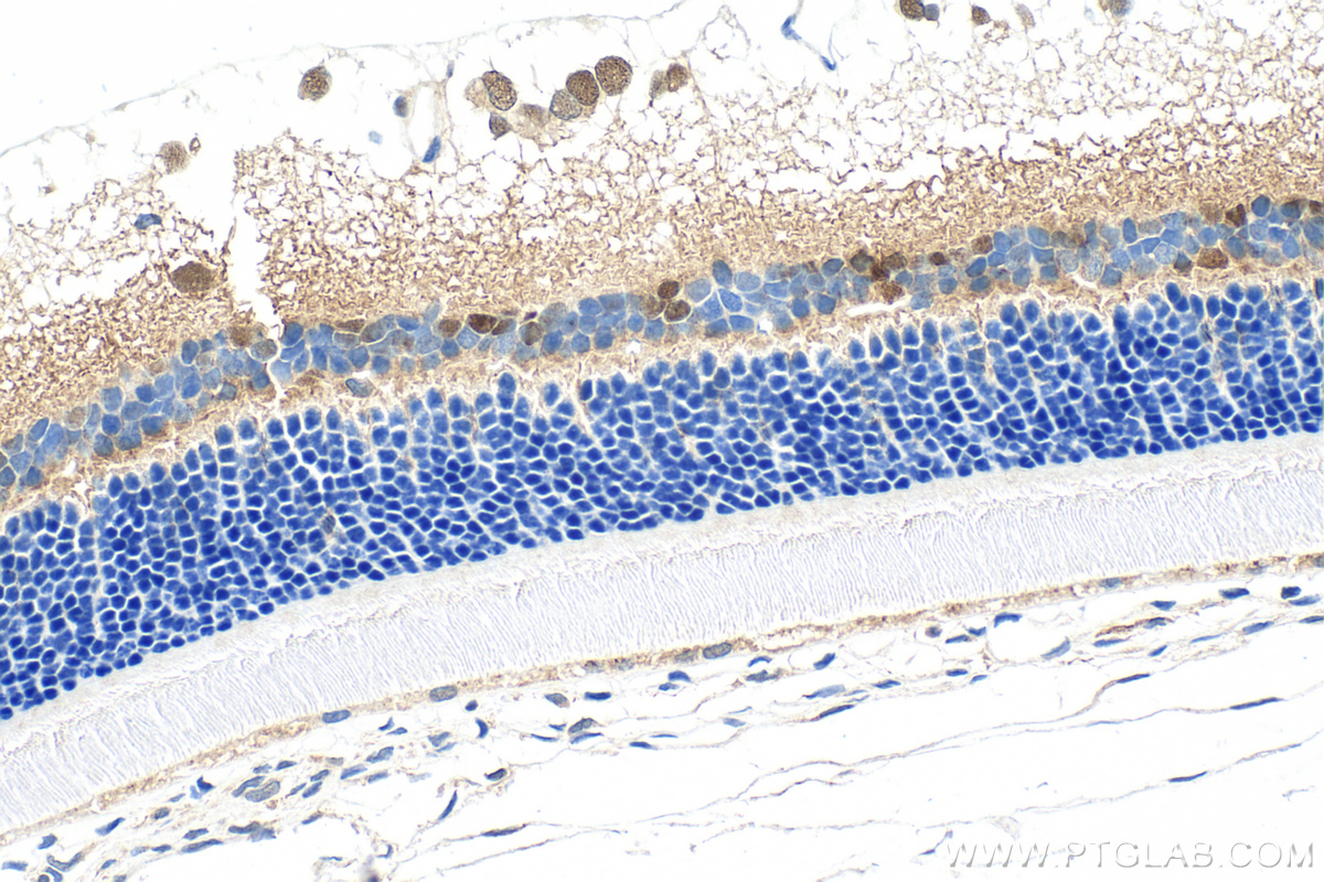
| Positive IHC detected in | rat eye tissue, human retinoblastoma tissue, mouse brain tissue, mouse cerebellum tissue, mouse embryo tissue, mouse eye tissue Note: suggested antigen retrieval with TE buffer pH 9.0; (*) Alternatively, antigen retrieval may be performed with citrate buffer pH 6.0 |
| Positive IF-P detected in | mouse eye tissue, rat eye tissue |
| Positive IF detected in | Retinal organoids, iPS cells |
| Positive FC (Intra) detected in | SH-SY5Y cells |
推荐稀释比
| 应用 | 推荐稀释比 |
|---|---|
| Western Blot (WB) | WB : 1:5000-1:50000 |
| Immunohistochemistry (IHC) | IHC : 1:1000-1:4000 |
| Immunofluorescence (IF)-P | IF-P : 1:50-1:500 |
| Immunofluorescence (IF) | IF : 1:10-1:100 |
| Flow Cytometry (FC) (INTRA) | FC (INTRA) : 0.40 ug per 10^6 cells in a 100 µl suspension |
| It is recommended that this reagent should be titrated in each testing system to obtain optimal results. | |
| Sample-dependent, Check data in validation data gallery. | |
产品信息
12323-1-AP targets PAX6 in WB, IHC, IF, IF-P, FC (Intra), ELISA applications and shows reactivity with human, mouse, rat samples.
| 经测试应用 | WB, IHC, IF, IF-P, FC (Intra), ELISA Application Description |
| 文献引用应用 | WB, IHC, IF |
| 经测试反应性 | human, mouse, rat |
| 文献引用反应性 | human, mouse, rat, monkey, zebrafish |
| 免疫原 |
CatNo: Ag2984 Product name: Recombinant human PAX6 protein Source: e coli.-derived, PGEX-4T Tag: GST Domain: 1-330 aa of BC011953 Sequence: MQNSHSGVNQLGGVFVNGRPLPDSTRQKIVELAHSGARPCDISRILQVSNGCVSKILGRYYETGSIRPRAIGGSKPRVATPEVVSKIAQYKRECPSIFAWEIRDRLLSEGVCTNDNIPSVSSINRVLRNLASEKQQMGADGMYDKLRMLNGQTGSWGTRPGWYPGTSVPGQPTQDGCQQQEGGGENTNSISSNGEDSDEAQMRLQLKRKLQRNRTSFTQEQIEALEKEFERTHYPDVFARERLAAKIDLPEARIQVWFSNRRAKWRREEKLRNQRRQASNTPSHIPISSSFSTSVYQPIPQPTTPVSSFTSGSMLGRTDTALTNTYSALP 种属同源性预测 |
| 宿主/亚型 | Rabbit / IgG |
| 抗体类别 | Polyclonal |
| 产品类型 | Antibody |
| 全称 | paired box 6 |
| 别名 | paired box 6, Paired box protein Pax 6, Paired box protein Pax-6, PAX 6, Pax-6 |
| 计算分子量 | 47 kDa |
| 观测分子量 | 47 kDa |
| GenBank蛋白编号 | BC011953 |
| 基因名称 | PAX6 |
| Gene ID (NCBI) | 5080 |
| RRID | AB_2159695 |
| 偶联类型 | Unconjugated |
| 形式 | Liquid |
| 纯化方式 | Antigen affinity purification |
| UNIPROT ID | P26367 |
| 储存缓冲液 | PBS with 0.02% sodium azide and 50% glycerol, pH 7.3. |
| 储存条件 | Store at -20°C. Stable for one year after shipment. Aliquoting is unnecessary for -20oC storage. |
背景介绍
Background
Paired-box 6 (Pax6) is a highly conserved nuclear transcription factor that is key in neural tissue development, particularly eye morphogenesis.
What is the molecular weight of Pax6?
46.6 kDa. Pax6 is composed of 422 amino acids and contains a paired domain and a homeodomain.
What is the role of Pax6 in development?
In embryos, Pax6 is expressed in the developing central nervous system (CNS), eye, nose, and also in the pancreas. As a transcription factor, Pax6 is one of the earliest genes expressed in the eye and regulates the expression of many genes required for retinal and olfactory development (PMID: 10461206). The broad expression of Pax6 in the neuroectoderm, which develops to the CNS, makes it a useful marker for neural stem cells (PMID: 20621053).
The homology of Pax6 to the Drosophila gene eyeless and the mouse gene Small eye highlights its importance across a wide spectrum of organisms. In model organisms such as flies or mice, a dramatic phenotype can be seen. Mutations in eyeless lead to ectopic eye development and mice with heterozygote small eye mutations do not develop eyes or nasal cavities, and homozygote small eye mice do not survive (PMID: 7892602; PMID 8875254).
What is the role of Pax6 in eye disease?
Due to its key role as a master regulator in eye development, mutations in Pax6 have been associated with many different eye diseases. In humans, premature stop signals that lead to the production of a truncated protein have been found to cause aniridia, the absence of an iris (PMID: 19898691). Single amino acid mutations in Pax6 may lead to Peters' anomaly, which causes thinning and clouding of the cornea (PMID: 8162071).
实验方案
| Product Specific Protocols | |
|---|---|
| FC protocol for PAX6 antibody 12323-1-AP | Download protocol |
| IF protocol for PAX6 antibody 12323-1-AP | Download protocol |
| IHC protocol for PAX6 antibody 12323-1-AP | Download protocol |
| WB protocol for PAX6 antibody 12323-1-AP | Download protocol |
| Standard Protocols | |
|---|---|
| Click here to view our Standard Protocols |
发表文章
| Species | Application | Title |
|---|---|---|
Cell Stem Cell Engineering Genetic Predisposition in Human Neuroepithelial Stem Cells Recapitulates Medulloblastoma Tumorigenesis. | ||
Cell Stem Cell Chemical-induced chromatin remodeling reprograms mouse ESCs to totipotent-like stem cells. | ||
Cell Metab Mitochondrial Dynamics Is Critical for the Full Pluripotency and Embryonic Developmental Potential of Pluripotent Stem Cells. | ||
Nat Commun Reliability of high-quantity human brain organoids for modeling microcephaly, glioma invasion and drug screening | ||
Cell Rep Med End binding-3 inhibitor activates regenerative program in age-related macular degeneration | ||


























